本文基于美国头颈学会和美国耳鼻喉科学会-头颈外科提出的命名法。
简要描述了它们的主要解剖边界、与这些淋巴结并列的正常结构,以及在这些水平上存在转移危险的主要肿瘤部位。

重要的地标是:

I级的淋巴结有从口腔、前鼻腔、面中部和颌下腺的软组织的癌症转移的风险。




II级接受来自面部、腮腺、颌下、颏下和咽后淋巴结的淋巴管。
II级也直接接收来自鼻腔、咽、喉、外耳道、中耳、舌下和颌下腺的集合淋巴管。
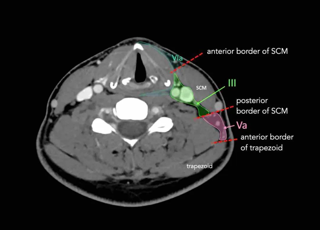
通过在颈内静脉后缘画一条线,可以将II级分为IIa级和IIb级。

IIa和IIb中的淋巴结具有来自鼻和口腔、鼻咽、口咽、下咽、喉和主要唾液腺的癌转移的风险。
IIb更可能与口咽或鼻咽的原发性肿瘤相关,而较少与口腔、喉或下咽部的肿瘤相关。







III级接受来自II级和V级的传出淋巴管,以及来自咽后、气管前和喉返淋巴结的一些传出淋巴管。
它从舌根、扁桃体、喉、下咽部和甲状腺收集淋巴管。

环状软骨的下缘是III和IVA之间的边界。
III级淋巴结有来自口腔、鼻咽、口咽、下咽和喉的癌症转移的风险。



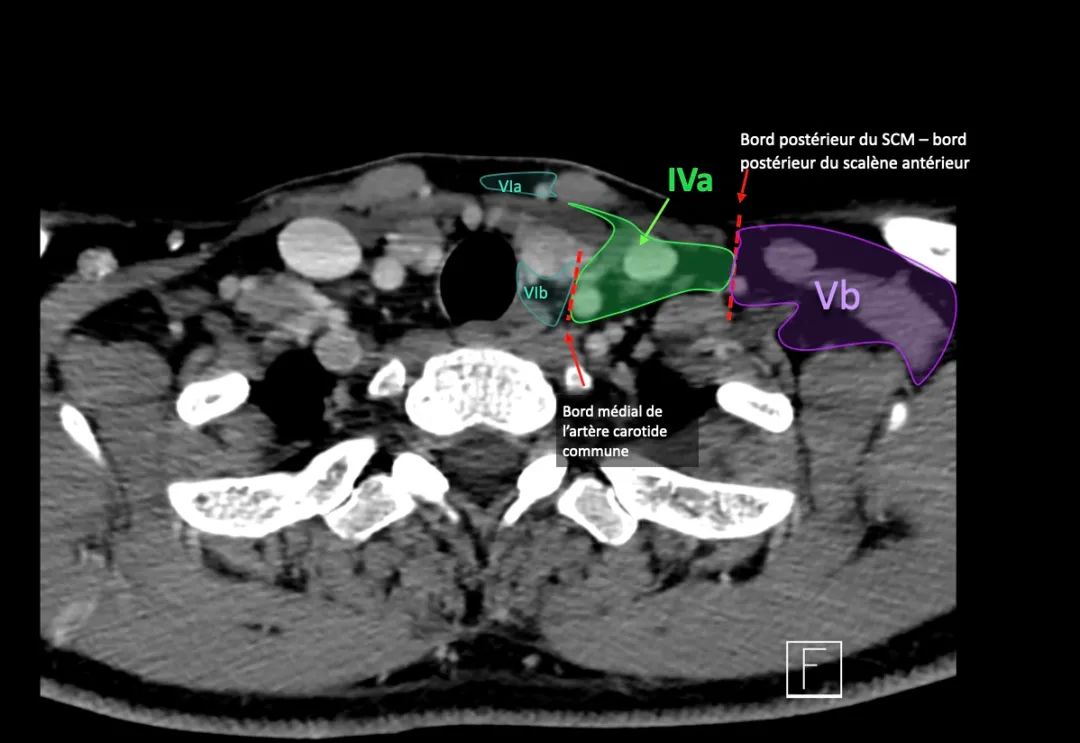
IVa和IVb水平之间的边界设置在距胸锁关节2 cm的颅侧。

IVa级
这些淋巴结有隐藏来自下咽癌、喉癌、甲状腺癌和颈段食道癌的转移的风险。
IVb级
这些淋巴结有隐藏来自下咽部、声门下喉、气管、甲状腺和颈段食管的癌症转移的风险。






第五层包含位于胸锁乳突肌后面,围绕着副神经和颈横血管的下部。
第五层的淋巴结通常与鼻咽、口咽、头皮后部的皮肤结构和甲状腺的原发癌有关。

Vc水平-锁骨上
该层面包含位于从颈横血管向下至距胸骨柄颅侧2 cm界限的淋巴结(Va和Vb层面)的延续中的锁骨上外侧淋巴结。
它部分对应于锁骨上窝的区域。
Vc级接受来自(Va级和Vb级)的传出淋巴管,通常与鼻咽肿瘤相关。
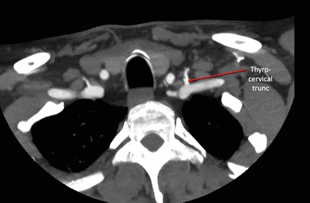
颈横动脉
滚动浏览图像,查看颈横动脉的解剖结构。














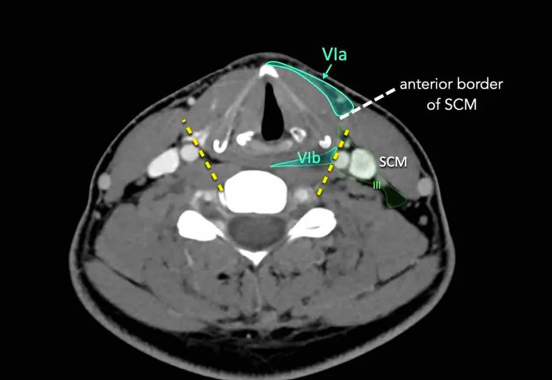
这一层包括浅表的颈前淋巴结(VIa层)和较深的喉前、气管前、气管旁和喉返神经淋巴结(VIb层)。

VIa
这一层包含表浅的颈前淋巴结。
VIb
该水平包含在颈总动脉的内侧边界之间。
该区域中的节点有:






本文来源于radiologyassistant,著设如有错误,请留言指正,谢谢!
纵隔大细胞神经内分泌癌1例CT影像
张力性纵隔气肿影像表现及严重度分级
迅速增大的肺部结节,首先考虑良性,确诊需要肺穿
肺隔离症:易误诊为肺癌的占位性病变,肺穿刺禁忌!
肺段与肺内管道应用解剖
肺转移瘤的十种不典型CT表现
肺内淋巴结的CT表现特点及与病理对照
肺实变与肺不张的CT鉴别诊断
医生现身说法,这五种忙帮不得!
北大教授:要真正让医务人员有阳光体面的收入!医
为值夜班的医生护士鼓与呼:请给我们更多关注!
广东拟取消医院用药数量限制,满足患者多样性需求
博士、硕士入职就给精装房!又有医院不惜下血本招
历时7年之久,温医生宣判无罪!
重磅!四川发文:严禁限制医生多点执业
与真人医生诊断一致性达96%:AI医生应用前景广阔