01
嗅神经(图2-5)
嗅黏膜内嗅细胞→嗅神经纤维(嗅丝)穿过筛板筛孔→嗅球→嗅束→颅中窝端脑,司嗅觉。



A.嗅神经的走行及嗅丝的分布;B.嗅神经(白箭)(解剖冠状面);C.嗅神经(白箭)(MRI冠状面)
肿瘤如嗅神经母细胞瘤侵犯嗅神经,或放射引起的嗅神经损伤均可出现部分或完全的嗅觉缺失。
02
视神经(图2-6)
视网膜→视神经→视交叉→视束→枕叶皮质视觉中枢,司视觉。
视神经全长约50mm,按部位分为眼内段、眶内段、管内段、颅内段等四段



图2-6 视交叉及视神经(MRI)
A.视交叉(白箭);B.视神经(上方白箭),视交叉(下方白箭);C.矢状面视交叉(白箭)
肿瘤侵犯、或放疗产生的视神经损伤可出现患侧视力下降、或完全失明,如视交叉累及则为双眼的视力下降或失明。
03
动眼神经(图2-7)
含有躯体运动和内脏运动两种纤维。
躯体运动纤维起于中脑动眼神经核:
中脑动眼神经核→动眼神经→脚间窝出脑→紧贴小脑幕切迹缘和蝶鞍后床突侧方前行→穿行于海绵窦外侧壁上部→眶上裂入眶→分为上、下支。
上支支配上直肌和上睑提肌。
下支支配下直肌、内直肌和下斜肌。
一般内脏运动纤维起于动眼神经副核。
动眼神经中的一般内脏运动纤维分布于睫状肌和瞳孔括约肌,参与视物的调节反射和瞳孔对光反射。
动眼神经损伤,可导致上睑提肌、上、下、内直肌及下斜肌瘫痪,患者表现为上睑下垂,眼外斜视(瞳孔斜向外下方)及瞳孔扩大、对光反射消失等症状。



A.动眼神经解剖走行(白箭);B. MRI显示的双侧动眼神经(白箭);C. MRI矢状面显示动眼神经的走行及与视神经的关系(下方白箭为动眼神经,上方白箭为视交叉)
04
滑车神经(图2-8)
最为细小,是脑神经中唯一一对从脑干背面出脑的脑神经。
中脑背面下丘下方出脑→绕过大脑脚外侧前行→穿经海绵窦外侧壁向前→眶上裂入眶后→越过上直肌和上睑提肌,向前内侧走行→支配上斜肌。
滑车神经为肿瘤侵犯,多表现为眼球外下运动障碍,下视时出现复视。
滑车神经损伤很少单独出现,多与动眼神经、展神经损伤同时出现。



图2-8 滑车神经
A.滑车神经的走行(白箭);B. MRI矢状面滑车神经走向示意(白线4)(数字为相关神经核所在部位,虚线为脑干中穿行途径,实线为脑干前方的走行);C.MRI显示滑车神经(白箭)
05
三叉神经(图2-9)
三叉神经为最大的脑神经,属混合性神经、由一个小的运动神经根和位于其内侧较大的感觉神经根组成。
由脑桥基底部与小脑中脚交界处出脑→Meckel腔→海绵窦→分为三支:
眼神经:穿海绵窦外侧壁(位于伴行的动眼神经、滑车神经的下方),经眶上裂入眶,管理眼裂以上额部、鼻背部的皮肤及鼻腔和眶内黏膜的一般感觉。
上颌神经:穿海绵窦外侧壁,经圆孔出颅,进入翼腭窝处上部,经眶下裂入眶,并延续为眶下神经。
上颌神经主要分布于眼裂与口裂之间的皮肤,上颌、牙、齿龈、鼻腭咽部黏膜和腭扁桃体,司一般感觉。
下颌神经:穿海绵窦外侧壁,经卵圆孔出颅,进入翼内外肌并分为5个分支(耳颞神经、颊神经、舌神经、下牙槽神经、咀嚼肌神经)。
感觉支分布于口裂以下,颊部、颞部及耳廓皮肤及下颌牙、牙龈、颏部、舌前2/3黏膜的一般感觉。
运功支支配咀嚼肌、下颌舌骨肌和二腹肌前腹的运动。
三叉神经支配眼裂以上、眼裂和口裂之间、口裂以下的皮肤及黏膜的一般感觉、咀嚼肌的运动。
一侧三叉神经损伤表现为相关区域皮肤和黏膜一般感觉丧失、角膜反射消失,患侧咀嚼肌瘫痪,张口时下颌偏向患侧。




A.三叉神经解剖示意图及支配区域;B.三叉神经解剖走行(白箭);C. MRI横断面显示三叉神经(白箭);D. MRI三维层面显示的三叉神经
06
展神经(图2-10)
脑桥延髓沟中线两侧出脑→前行至颞骨岩部尖端→自后壁穿入海绵窦→在窦内沿颈内动脉外下方前行→经眶上裂入眶→支配外直肌。
展神经受损时,患侧眼球不能向外转动,表现为内斜视。



A.展神经(MRI横断面,白箭);B.展神经起始部(MRI矢状面,白箭);C.展神经与面神经、前庭蜗神经的毗邻位置关系(MRI横断面,上方白箭为展神经,下方白箭为面神经、前庭蜗神经)
07
面神经(图2-11,图2-12)
脑桥小脑三角处、脑桥延髓沟外侧部出脑→内耳门→内耳道→面神经管→茎乳孔出颅→向前穿过腮腺浅、深部之间达面部,并分出5个分支,自上而下分别为颞支、颧支、颊支、下颌缘支和颈支。

图2-11 面神经出颅后的5个分支的体表投影
面神经为混合性神经,由感觉、运动和副交感神经纤维组成,分别管理面部表情肌运动、舌前2/3的味觉,以及支配舌下腺、下颌下腺和泪腺的分泌。
MRI可清晰显示面神经,自桥小脑角指向乳突,在前者为面神经,其后并行者为前庭蜗神经(图2-12)。


A. MRI显示的面神经(上方白箭)、前庭蜗神经(下方白箭);B. MRI显示的面神经(右侧上方白箭)、前庭蜗神经(右侧下方白箭),以及与展神经(左侧白箭)的位置毗邻关系
一般而言,听神经较面神经略粗大,二者自延髓脑桥沟水平发出后相互紧密伴行,并向前外水平走行进入脑桥小脑角池,走行过程中二者间隙逐渐增大,展神经位于二者前方,后方的小脑绒球为横断面识别面神经与前庭蜗神经的一个重要解剖标志。两侧的颞骨前部由内向外分别为耳蜗和乳突小房。
头颈部肿瘤引起的面神经损伤主要为周围性面瘫、角膜反射消失。
08
前庭蜗(位听)神经(图2-13)
前庭蜗神经:又称位听神经,包括蜗神经和前庭神经组成。
前庭神经传导平衡觉,蜗神经传导听觉。
前庭神经损伤表现为眩晕、眼球震颤;蜗神经损伤表现为听觉障碍。

图2-13 面神经、前庭蜗神经(MRI横断面)
09
舌咽神经(图2-14)
自延髓橄榄后沟上部出脑,与迷走神经、副神经同穿颈静脉孔前部出颅→在颈内动、静脉之间下降→越过颈内动脉外侧弓形向前→经舌骨舌肌内侧至舌根。
在颈静脉孔中,舌咽神经位于迷走神经和副神经的前方并被神经鞘(舌咽神经管)包裹。
舌咽神经司咽喉部黏膜的一般感觉、部分唾液腺的分泌和舌后1/3的黏膜的一般感觉和味觉,与迷走神经共同控制咽喉部肌肉的运动。
因此一侧舌咽神经损伤表现为舌后1/3味觉消失,舌根及咽部痛温觉消失,同侧咽肌收缩无力。


图2-14 舌咽神经的解剖及影像
A.舌咽神经的解剖位置及走行(右下方白箭);B.舌咽神经(MRI横断面)
10
迷走神经(图2-15,图2-16)
迷走神经根包括延髓两侧及后外侧沟的两个神经根。
自延髓橄榄后沟中部出脑→在舌咽神经偏后方经颈静脉孔出颅→下行于颈动脉鞘内,位于颈内静脉与颈内动脉或颈总动脉之间的后方至颈根部→经胸廓上口入胸腔。

图2-15 迷走神经(MRI横断面)
左右迷走神经走行不同。
左迷走神经在左颈总动脉与左锁骨下动脉之间下行、越过主动脉弓的左前方,经肺根后方下行至食管前面,并分出若干分支。
右迷走神经经右锁骨下动、静脉之间,沿气管右侧下行,于右肺根后方达食管后面,并分出若干分支。
迷走神经的主要分支有咽支、喉上神经、喉返神经、心支、迷走前干、迷走后干等。
迷走神经支配呼吸、消化两大系统的绝大部分器官以及心脏感觉、运动以及腺体的分泌。
对头颈部而言,一侧迷走神经的损伤主要表现为声音嘶哑;若两侧喉返神经同时受损,可引起失声、呼吸困难,甚至窒息。

图2-16 左右迷走神经及喉返神经的走行(后面观)
11
副神经(图2-17)
副神经由脑根和脊髓根组成。
脑根自延髓橄榄后沟下部,迷走神经根下方出脑,与脊髓根同行→经颈静脉孔出颅→加入迷走神经→随其分支支配咽喉部肌。
脊髓根自脊髓前后根之间出脊髓后,在椎管内上行→经枕骨大孔入颅腔→再与脑根一起经颈静脉孔出颅→此后又与脑根分开→绕颈内静脉行向外下方→经胸锁乳突肌深面分出1支入该肌后→终支进入斜方肌→支配胸锁乳突肌和斜方肌。
汇合的神经根通过颈静脉孔出颅后、在舌咽神经和迷走神经后方走行。
副神经支配胸锁乳突肌和斜方肌,因此一侧副神经损伤表现为耸肩困难,转头无力的症状。

图2-17 副神经(白箭)
12
舌下神经(图2-18~图2-20)
自延髓前外侧沟出脑→向外侧经舌下神经管出颅→颈内动、静脉之间弓形向前下走行→达舌骨舌肌浅面→在舌神经和下颌下腺管下方穿颏舌肌入舌内→支配全部舌内肌和大部舌外肌。
舌下神经主要支配舌肌的运动,因此一侧舌下神经完全损伤时,患侧舌肌瘫痪,伸舌时舌尖偏向患侧,患侧舌肌早期饱满,后期萎缩。
后四对脑神经出颅后走行参见图2-21。

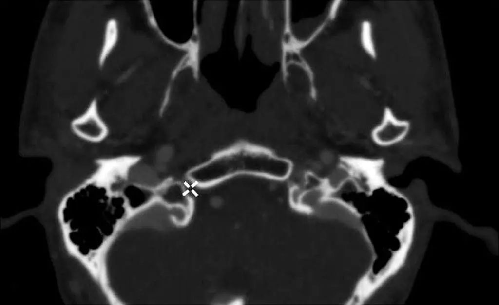
图2-18 舌下神经管(CT骨窗,白色+字)
2-21。

图2-18 舌下神经管(CT骨窗,白色+字)

图2-19 舌下神经管及舌下神经出颅走行(MRI)

图2-20 舌下神经与颈静脉窝、椎体、乳突等周围结构的关系(CT冠状面)


图2-21 后四对脑神经出颅后的走行及支配的肌肉
纵隔大细胞神经内分泌癌1例CT影像
张力性纵隔气肿影像表现及严重度分级
迅速增大的肺部结节,首先考虑良性,确诊需要肺穿
肺隔离症:易误诊为肺癌的占位性病变,肺穿刺禁忌!
肺段与肺内管道应用解剖
肺转移瘤的十种不典型CT表现
肺内淋巴结的CT表现特点及与病理对照
肺实变与肺不张的CT鉴别诊断
医生现身说法,这五种忙帮不得!
北大教授:要真正让医务人员有阳光体面的收入!医
为值夜班的医生护士鼓与呼:请给我们更多关注!
广东拟取消医院用药数量限制,满足患者多样性需求
博士、硕士入职就给精装房!又有医院不惜下血本招
历时7年之久,温医生宣判无罪!
重磅!四川发文:严禁限制医生多点执业
与真人医生诊断一致性达96%:AI医生应用前景广阔