病例展示
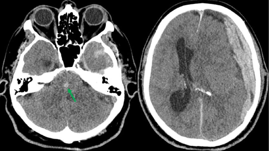
男,54 岁,头部外伤入院,2022-2-12 显示左侧额颞顶部硬膜下血肿,继发大脑镰下疝。2022-2-13 去骨瓣清除硬膜下血肿发现中脑新发出血(绿箭头)。

中脑新发出血有具体名字吗?
当然有名字,叫 Duret 出血(杜雷特出血,不是杜蕾斯哦)
Duret 出血
Duret 出血的发病机制目前仍有争议。大多数学者支持动脉源性学说,即快速进展的幕上病灶导致严重的颅内压增高,随即形成脑疝,引起上部脑干尾端的移位,脚间池内的大脑后动脉穿支动脉和来自相对固定的基底动脉的旁正中支受到牵拉、扭曲,导致 Duret 出血,但静脉阻塞曾被报道是 Duret 出血的可能病因。持续的颅内压升高会引起静脉血栓形成,可导致脑干出血。静脉比动脉更易受压,静脉缺血区域的出血转化可能是 Duret 出血的另一机制。另外,外科减压手术后的再灌注损伤可能会促发 Duret 出血(本例既是)。总之,可能不止一种机制在起作用。
病理学特点
Duret 出血在神经病理学研究中的发病率(30%~60%)远高于影像学研究结果(5%~10%)。在 132 例致命性脑外伤患者中有 37% 在尸检中发现脑干出血。然而,CT 检查脑干出血的检出率非常低,具有致命性预后的脑外伤患者中仅有一小部分发现继发性脑干出血。这种差异源于约 20% 的继发性脑干出血仅能在显微镜下发现;另一可能的原因是部分继发性脑干出血发生于首次急诊 CT 检查之后,这样就可能有部分严重脑外伤的患者来不及复查 CT 以证实诊断。

Duret 出血的大体病理切片
影像学特点
Duret 出血常位于桥脑或中脑近中线部位,可以为结节状或条片状,常伴硬膜下血肿或硬膜外血肿所致的脑疝。当时也注意并不是所有脑干出血都是 Duret 出血。鉴别诊断包括原发性外伤性脑干出血、高血压性出血和动静脉畸形破裂出血。直接撞击造成的外伤性脑干出血发生于头部侧面受到撞击时,导致脑干相对于幕的加速和减速性移位,出血好发于脑干的背外侧,临近小脑幕的部位,大多与弥漫性轴索损伤有关;相反,Duret 出血好发于中脑、脑桥上端的腹侧或旁正中部位,并且常伴硬膜下或硬膜外血肿所致的脑疝。高血压性脑干出血通常发生于脑桥的基底部,无外伤史。脑干出血也可以由动静脉畸形破裂所致,但较罕见,确诊需要 DSA。

Duret 出血,位于中脑近中线部位,左侧额颞顶部硬膜下血肿及大脑镰下疝、脑挫裂伤

Duret 出血,位于桥脑近中线部位,结节状,左侧额颞顶部硬膜下血肿及大脑镰下疝

Duret 出血,位于中脑中线部位,结节状,右侧额颞顶部硬膜下血肿清除术后
小结
Duret 出血是由脑疝所致的继发性脑干出血,通常位于中脑、脑桥上端的腹侧或旁正中部位,它的病理生理学机制仍存在争议,虽然多数学者支持动脉源性学说,但仍有许多学者倾向于静脉源性学说。具有脑疝的昏迷患者出现 Duret 出血是预后不良的征兆,几乎总是致命的。
纵隔大细胞神经内分泌癌1例CT影像
张力性纵隔气肿影像表现及严重度分级
迅速增大的肺部结节,首先考虑良性,确诊需要肺穿
肺隔离症:易误诊为肺癌的占位性病变,肺穿刺禁忌!
肺段与肺内管道应用解剖
肺转移瘤的十种不典型CT表现
肺内淋巴结的CT表现特点及与病理对照
肺实变与肺不张的CT鉴别诊断
医生现身说法,这五种忙帮不得!
北大教授:要真正让医务人员有阳光体面的收入!医
为值夜班的医生护士鼓与呼:请给我们更多关注!
广东拟取消医院用药数量限制,满足患者多样性需求
博士、硕士入职就给精装房!又有医院不惜下血本招
历时7年之久,温医生宣判无罪!
重磅!四川发文:严禁限制医生多点执业
与真人医生诊断一致性达96%:AI医生应用前景广阔