胚胎发育不良性神经上皮肿瘤(dysembryoplastic neuroepithelial tumor,DNET)是一种少见的良性脑肿瘤,2016 版 WHO 中枢神经系统肿瘤分类将其归入神经元-混合神经元肿瘤,WHO I 级,生长缓慢,临床上以复杂的、难治性癫痫为主要特点,手术治疗是其有效的治疗手段,预后良好,极少有恶变或复发,术后一般不必行放、化疗辅助治疗,因此术前正确的诊断对治疗方案的选择及术后相关治疗具有重要的指导意义。
DNET 多发生于幕上,是一种混合性的神经胶质、神经元肿瘤,以多结节结构为主,主要位于脑皮层及皮层下,其发生可能与大脑皮层发育异常有关,病灶的好发部位在颞叶,其次为额叶、顶叶、枕叶,幕下极少见,好发于儿童和青少年,多在 4、5 岁之前,大多数患者在 20 岁前发病,男性略多于女性。
DNET 在组织学上主要由少突胶质细胞样细胞、神经元、星型细胞三种成分按不同比例、分布及排列方式混合而成,根据组织学成分变化分为两型:
(1)简单型:肿瘤由单一胶质神经元成分构成;
(2)复杂型:肿瘤由多结节状的胶质结节伴特异性胶质神经元成分和/或发育不良的皮层结构构成。
大体标本多成灰白、灰褐色,质地较软,部分病灶表面附着少量胶冻样物质;免疫组化显示 Neu-N、NSE、Syn、S-100 及 GFAP 阳性表达,Ki-67 肿瘤细胞核阳性率较低。
DNET 术前正确合理的诊断主要依靠影像学检查,其中 CT 和 MRI 为主要检查手段,现将其影像表现总结如下:
CT
CT:主要表现为大脑皮层和皮层下边界清楚的低密度灶,少部分病灶为等低混杂密度,钙化及出血少见,多无瘤周水肿或较轻,临近骨质可受压变薄。

MRI
MRI:多位于大脑皮层,可为三角形、脑回状、椭圆形、不规则分叶状形态,多囊分隔或单囊改变;信号较灰质比较,T2WI 呈高信号,Flair 呈等/高信号,T1WI 呈低信号;DWI 呈略低信号,ADC 值图呈高信号,与 DNET 富含黏液基质,肿瘤细胞胞浆较空有关;无瘤周水肿或轻度,无占位效应。
「倒三角征」
「倒三角征」:主要表现为 MRI 冠状位肿瘤的底部朝向大脑表面,尖端指向大脑深部,形态似楔形或倒三角形改变,相关文献提出该征象是诊断 DNET 的重要征象。

「瘤内分隔」
「瘤内分隔」:反映了其结构上的多发结节改变,为正常皮质、细胞密集的胶质结节与疏松的胶质神经元成分之间的分界,该征象是诊断 DNET 的另一重要征象。

Flair「环形征」
Flair「环形征」:即肿瘤周边环形高信号,Parmar 等研究表明该征象诊断 DNET 的敏感性和特异性达到 82% 和 90%,有助于术前正确的诊断。

PET-CT
PET-CT:病灶部位放射性浓聚较对侧正常部位减低,呈低代谢。

增强扫描
增强扫描:病灶多无明显强化,少数病灶可见点状、边缘强化或分隔状强化。

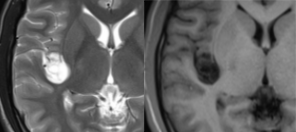
case 1:8Y/F,右侧顶叶癫痫病灶切除标本:免疫组化支持胚胎发育不良性神经上皮性肿瘤(WHOⅠ级)。


CT:右侧顶叶皮层低密度灶。MRI:T2WI 高信号,T1WI 低信号,DWI 呈低信号,Flair 高信号,增强扫描未见明显强化,「倒三角征」。
case 2:10Y/M,左额顶叶肿瘤切除标本:免疫组化支持胚胎发育不良性神经上皮性肿瘤,WHOⅠ级。


左侧额叶皮层及皮层下异常信号,边界清楚,T1WI 呈低信号,T2WI 呈高信号,DWI 低信号,ADC 值图高信号,增强扫描未见明显异常强化,「倒三角征」。
case 3:12Y/M,右额叶肿物:免疫组化支持胚胎发育不良性神经上皮肿瘤,WHOⅠ级。

右侧额叶皮层下见囊状异常信号,边界清楚,T1WI 低信号,T2WI 高信号,FLAIR「环形征」,DWI 低信号,ADC 值图高信号,增强扫描病灶内部斑点状强化;CT 低密度,PET 呈低代谢。
case 4:23Y/F,右岛叶占位:胚胎发育不良性神经上皮肿瘤,WHOⅠ级。


MRI:右侧岛叶多房囊状异常信号,边缘清楚,「瘤内分隔」,T1WI 低信号,T2WI 高信号,Flair「环形征」;PET-CT:低密度灶,低代谢。
case 5:2Y/M,左枕叶肿物切除标本:胚胎发育不良性神经上皮性肿瘤(WHOⅠ级),局部细胞生长活跃,注意随访。


左枕叶异常信号影,边界清楚,形态尚规则,脑回状,T2WI 高信号,T1WI 低信号,Flair「环形征」,DWI 略低信号,增强扫描未见明显强化。
DNET 的影像学表现有一定的特征性,但仍需与神经上皮囊肿、少枝胶质细胞瘤、神经节细胞胶质瘤相鉴别。
神经上皮囊肿:单房或多房囊性病变,T2WI 呈高信号,T1WI 呈低信号,Flair 呈低信号,增强扫描无强化。


右侧额叶囊状异常信号,边界清楚,长 T1 长 T2 改变,Flair 低信号,无瘤周水肿及占位效应,增强扫描无强化。
少枝胶质细胞瘤:最常见于额叶,好发年龄在 30-40 岁,生长缓慢,病程较长,90% 肿瘤可见弯曲条带状钙化(典型征象),瘤周水肿较轻微,增强扫描呈明显强化。

44Y/F,左侧额叶少突胶质细胞瘤(WHOⅡ级)。
神经节细胞胶质瘤:多见于儿童及青年,以癫痫为主要症状,囊实性、实性多见,囊性部分不强化,实性部分有明显强化,钙化常见。

21Y/M,左侧顶叶神经节细胞胶质瘤(WHOⅠ级)伴大量微小钙化及血管畸形。
小结:DNET 是一种好发于幕上皮层及皮层下的良性肿瘤,多见于儿童和青少年,临床上比较少见,多以复杂、难治性癫痫为特点,CT 上以低密度病灶为主要表现,钙化少见,PET 代谢显像呈低代谢,MRI 上呈长 T2 长 T1 信号,DWI 低信号,ADC 值图呈高信号,瘤周水肿无或较轻微,增强扫描无强化,部分病灶可见点状、边缘强化或分隔状强化,典型病例常可见「倒三角征」、「瘤内分隔」和 Flair「环形征」,综合以上特点、征象,常可作出正确、合理的影像诊断。
作者 | 歳鈅如歌
参考文献
[1] Stanescu Cosson R,Varlet P,Beuvon F,et al.Dysembryoplastc neuroepithelial tumors:CT,MR findings and imaging follow up:A study of 53 cases [J].J Neuroradiol,2001,28(4):230-240.
[2] Parmar HA,Haw kins C,Ozelame R,et al.Fluid-attenuated inversiou recovery ring sign as a marker of dysembryoplastic neuroepithelial tumors[J].J Comput Assist Tomogr,2007,31(3):348-353.
[3] 王辅林, 乔广宇, 桂秋萍, 等. 胚胎发育不良性神经上皮瘤的影像学表现与病理特征 [J]. 中华放射学杂志,2006,40(1):42-44.
[4] 肖俊强,李苏建,卢光明. 胚胎发育不良性神经上皮瘤的 MRI 表现特征 [J]. 中华放射学杂志,2006,40(5):467-469.
[5] 吕晶,陈琼霞,刘丽江,等. 胚胎发育不良性神经上皮瘤的临床病理特征(附 1 例报告)[J]. 临床神经病学杂志,2013,26(1):22-24.
[6] 刘红艳, 张雪林, 陈燕萍, 等. 胚胎发育不良性神经上皮肿瘤的影像学表现 [J]. 放射学实践,2009,24(4):376-380.
[7] 刘军,耿道颖,张福林,等. 胚胎发育不良性神经上皮瘤影像学表现 [J]. 中国神经肿瘤杂志, 2003,1(4):215-218.
[8] 陈自谦, 钟群, 肖慧. 临床医师影像读片指南系列图谱神经系统分册 [M]. 北京:军事医学科学出版社.
纵隔大细胞神经内分泌癌1例CT影像
张力性纵隔气肿影像表现及严重度分级
迅速增大的肺部结节,首先考虑良性,确诊需要肺穿
肺隔离症:易误诊为肺癌的占位性病变,肺穿刺禁忌!
肺段与肺内管道应用解剖
肺转移瘤的十种不典型CT表现
肺内淋巴结的CT表现特点及与病理对照
肺实变与肺不张的CT鉴别诊断
医生现身说法,这五种忙帮不得!
北大教授:要真正让医务人员有阳光体面的收入!医
为值夜班的医生护士鼓与呼:请给我们更多关注!
广东拟取消医院用药数量限制,满足患者多样性需求
博士、硕士入职就给精装房!又有医院不惜下血本招
历时7年之久,温医生宣判无罪!
重磅!四川发文:严禁限制医生多点执业
与真人医生诊断一致性达96%:AI医生应用前景广阔