No.1 甲状腺概述
1. 大体位置、结构

2. 主要功能
内分泌器官:人体最大内分泌腺体;合成、贮存、分泌甲状腺激素
对能量代谢、物质代谢至关重要:增高人体代谢;促进蛋白质、脂肪等的分解

No.2 辅助检查方法
1、高分辨率超声(US)
甲状腺结节的首选辅助检查
对甲状腺癌深部组织浸润、组淋巴结转移灵敏度、检出率低
2. CT 检查
高分辨率,组织关系明确
具有电离辐射及含碘对比剂问题
用于甲状腺检查受限
3、核素显像
分辨率低,易漏诊直径较小的甲状腺结节
在结节良恶性鉴别方面价值有限
4、细针抽吸活检(FNAB)
甲状腺疾病检查的主要手段
术前诊断敏感性 83%,特异性 72%
有创性检查,有一定的假阴性,且对滤泡型肿瘤鉴别困难
(1)CT 检查
•扫描参数
•平扫 增强:动脉期 静脉期
•单期增强(减少辐射量)
•扫描范围及层厚;颈部-上纵隔,层厚<5 mm,1 mm 重建 •优势: •钙化大小、形态、数目显示较清楚 •病变与周围组织的关系 •累及胸骨后甲状腺肿瘤 •不足:辐射剂量、敏感性。 CASE 1 环状钙化的 CT 表现 
左侧甲状腺结甲环状钙化
A 超声横切见弧形钙化,钙化后方声衰显著,相应结构显示不清;
B CT平扫见环形钙化,壁厚薄较均匀;
C 增强后环内无强化,相对平扫,甲状腺与环内密度差扩大。
CASE 2
粗钙化的 CT 表现

右侧甲状腺乳头状癌:无伪影
右侧结节性甲状腺肿:伪影明显
(2)MR 检查
a.MR 扫描序列

b.MR 优势及进展
•多参数、多序列、多平面成像
•软组织分辨率高,为病变提供更多信息;为甲状腺癌的分期与预后提供参考信息
•对比剂为钆剂,对甲状腺功能影响小
•功能成像有助于定性诊断
•ADC 值可为良、恶性病变的鉴别诊断提供重要依据
•DCE 有助于肿瘤诊断
•MRS、SWI 等在甲状腺病变方面价值还不明确

c.DCE 扫描序列

No.3 甲状腺结节的影像表现
1. 病变分类

2、常见甲状腺结节
(一)结节性甲状腺肿
•亦称为结节状增生
•主要病因为缺碘
•因增生和胶质储存伴甲状腺激素不正常分泌产生
•导致垂体 TSH 分泌增多
•分为地方性和散发性
•甲状腺功能及基础代谢率大多正常
CASE 3
结节性甲状腺肿,增强后边界变清晰

CASE 4
结节性甲状腺肿,弥漫性肿大伴粗颗粒钙化

1. 结节性甲状腺肿的发展三个阶段

2. 病理过程
•长期处于缺碘,甲状腺滤泡增生,甲状腺肿大
•滤泡上皮增生复旧不一致,部分区域出现退变,滤泡内充满胶质(静止期又称胶质贮积期)
•长期增生和退行性病变反复交替,腺体内出不同发展阶段的结节
3. 结节性甲状腺肿 CT 表现
•单发或多发,多发结节常见
•平扫轮廓呈波浪状或结节状;密度降低且不均匀;常继发出血、钙化、囊性变
•斑片状、弧形、环形钙化多见;腺体边缘线连续,无破坏及中断
•增强后强化方式多样;病变边界显示较平扫清楚;与腺外结构之脂肪间隙存在
CASE 5
双侧甲状腺多发低密度结节,边缘模糊;增强后双侧多发结节较平扫清晰

CASE 6
甲状腺左叶低密度病灶,周边见条片状钙化;病灶均匀轻度强化,强化程度低于正常甲状腺

4. 结节性甲状腺肿 MRI 表现
•单发或多发(多发常见)
•TIWI 信号多样;高信号多提示结节性甲状腺肿;T2WI 高信号和混杂高信号
•DWI、ADC 为等或高信号;ADC 值>1.5 ×10-3 mm2/s(b = 800)
•增强后强化方式多样化;但结节强化后边缘规则,边界清晰
CASE 7
女性,24 岁,甲状腺右叶结节性甲状腺肿囊变出血、部分腺瘤样增生。

CASE 8
患者女性,62 岁,MRI 平扫甲状腺体积增大,信号异常,T1WI 稍高信号,T2WI 高信号,信号欠均(图 A-C), 增强扫描病灶明显强化(横断面及冠状面,图 D、E),动态增强呈流出型(3 型,图 F、G)。病理:双侧结节性甲状腺肿。

(二)甲状腺滤泡性腺瘤
1.CT 表现
•单发多见,边界清晰;可为囊性、实性或囊实性
•平扫类圆形低密度影
•增强后明显强化,有完整强化环;早期明显强化,可高于正常甲状腺
•具有乳头状结构有较大恶性倾向;囊变区不强化,实性部分岛状强化
CASE 9
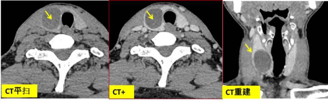
甲状腺左侧叶类圆形低密度影,边界清楚;增强后明显强化,强化程度高于甲状腺组织。

CASE 10
男,40 岁,体检发现右颈部肿块,病理:甲状腺右叶腺瘤

CT 平扫示类圆形低密度结节,密度均匀,边界清楚;增强显示瘤组织周围完整强化环,中心囊性部分不强化
2. 甲状腺滤泡性腺瘤 MRI 表现
•单发多见,边界清晰
•T1WI 等或低信号,信号均匀;T2WI 高信号,信号均匀
•ADC 值>1.5 ×10-3 mm2/s
•增强后早期明显强化,富血供,有包膜
CASE 11
男,25 岁,甲状腺左叶腺瘤

CASE 12
女性,54 岁,甲状腺左叶腺瘤囊变出血

(三)甲状腺癌

乳头状癌
1. CT 表现
•形态多不规则,包膜多不连续
•轮廓显示略模糊;细小砂粒状钙化
•强化形式多样
不均匀强化
乳头状结节中度强化
边界较平扫模糊
•预后好,可有淋巴结转移;远处转移较少
CASE 13

CASE 14

CASE 15

CASE 16

2. 乳头状癌 MRI 表现
•T1WI 等或低信号;T2WI 高信号;DWI 高信号,ADC 值较低;ADC<1.5 ×10-3 mm2/s
•强化形式多样:增强早期中等强化为主;花纹延迟期边缘不规则强化环;病灶中央造影剂流出多见
•淋巴结转移,周围邻近器官侵犯
CASE 17
36 岁,甲状腺右叶乳头状癌

CASE 18
女性,33 岁,甲状腺左叶乳头状癌

CASE 19
患者女性,32 岁,MRI 平扫右侧甲状腺及峡部信号异常,T2WI 可见囊性信号影(冠状面,图 C),增强扫描病灶呈不规则、不均匀强化(横断面,图 A、B)。动态曲线表现为平台型(2 型,G-F)。病理:右叶甲状腺及峡部乳头状癌。

滤泡性癌
1. 滤泡状癌 CT 表现
•形态欠规则,多单发
•平扫等或低密度, 边界清或不清;包膜有侵犯,可伴钙化
•增强后大多明显强化
•易发生血行转移,淋巴结转移较晚
CASE 20

2. 滤泡性癌 MRI 表现
•T1WI 低信号、等信号,边界清晰;T2WI 高信号,DWI 上高信号,ADC 值降低
•ADC<1.5×10-3 mm2/s
•增强后强化明显,快速流出,均匀强化
CASE 21

CASE 22

CASE 23
患者女性,35 岁,MRI 平扫右侧甲状腺占位,病灶光整,T1WI 等低信号,T2WI 高信号影为主(横断面及冠状面,图 A-C),增强扫描病灶明显强化(横断面及冠状面,图 D、E)。动态曲线呈平台型(图 F、G)。病理:右叶甲状腺滤泡样癌。

髓样癌
1. 髓样癌 CT 表现
•起源于甲状腺滤泡旁细胞即 C 细胞;血供较丰富,不易坏死
•平扫密度不均匀 ;与周围组织分界不清,淋巴结肿大
•增强后中等程度强化;边界较平扫模糊
•淋巴结强化程度与癌肿相仿
CASE 24
甲状腺右叶髓样癌伴两侧肾上腺嗜铬细胞瘤,降钙素、CEA 升高

CASE 25
甲状腺左侧叶髓样癌,平扫边界清晰,增强后边界模糊

2. 髓样癌 MRI 表现
•起源于甲状腺滤泡旁细胞即 C 细胞;血供较丰富,不易坏死
•T1WI 等低信号、T2WI 略高信号;DWI 高信号;ADC 低信号 ADC<1.5×10-3 mm2/s
•增强后中等、均匀强化
•降钙素升高(90% 以上)
CASE 26

No.4 总结
良恶性甲状腺肿瘤鉴别

纵隔大细胞神经内分泌癌1例CT影像
张力性纵隔气肿影像表现及严重度分级
迅速增大的肺部结节,首先考虑良性,确诊需要肺穿
肺隔离症:易误诊为肺癌的占位性病变,肺穿刺禁忌!
肺段与肺内管道应用解剖
肺转移瘤的十种不典型CT表现
肺内淋巴结的CT表现特点及与病理对照
肺实变与肺不张的CT鉴别诊断
医生现身说法,这五种忙帮不得!
北大教授:要真正让医务人员有阳光体面的收入!医
为值夜班的医生护士鼓与呼:请给我们更多关注!
广东拟取消医院用药数量限制,满足患者多样性需求
博士、硕士入职就给精装房!又有医院不惜下血本招
历时7年之久,温医生宣判无罪!
重磅!四川发文:严禁限制医生多点执业
与真人医生诊断一致性达96%:AI医生应用前景广阔