外伤性颅内出血
外伤性蛛网膜下腔出血

图1
本例为车祸导致的外伤性蛛网膜下腔出血。
图A:平扫CT显示脑沟内高密度影(长尾箭头),此外还可以看到左侧的硬膜下血肿(三角箭头)以及右顶骨处的帽状腱膜下血肿(虚线箭头)。
图B:MRI FLAIR序列同样可见脑沟内高信号,证实了蛛网膜下腔出血的存在,同时可见左侧硬膜下血肿和右侧帽状腱膜下血肿。
图C:GRE序列上,蛛网膜下腔出血和硬膜下血肿表现为低信号。
硬膜外血肿

图2
交通事故后创伤性硬膜下血肿两例。
图A、B:本例患者于意识状态低下时行影像学检查。右颞叶可见出血性脑实质挫伤(图A,三角箭头),同时左前颞叶前部可见半圆形硬膜外血肿灶(图A,长尾箭头)。骨窗影像可见硬膜外血肿附近存在非移位性颞骨骨折(图B,长尾箭头)。
图C、D:本例患者接受影像学检查时处于反应迟钝状态。平扫CT可见巨大的双凸面形硬膜外血肿(长尾箭头),并可见显著占位效应,导致左侧中线移位和大脑镰下疝(三角箭头),以及小脑幕切迹疝(虚线箭头)。
硬膜下血肿

图3
为了清楚地看到病变,CT的窗宽窗位做了一些调整。与硬膜下窗(图C、D)相比,病变在标准脑窗(图A、B)上不太明显。图中可见右前颞叶出血性挫伤和覆盖脑沟的蛛网膜下腔出血(三角箭头),骨板下可见弧形硬膜下血肿灶(长尾箭头)。

图4
本例患者由于巨大的硬膜下血肿引起了脑疝。平扫CT显示左侧巨大硬膜下血肿(长尾箭头),基底池受压消失(图A,三角箭头),大脑镰下疝形成(图B、C,三角箭头)和左侧小脑幕切迹疝(图C,虚线箭头)。
出血性脑实质挫伤

图5
本图显示了出血性脑实质挫伤随时间的演化过程。图A~C为接诊患者时进行的检查,图D~F为2小时之后的复查。患者左侧眶额叶和左前颞叶可见多发小出血灶。在后续成像中,挫伤导致的出血出现了扩大。
脑微出血

图6
本例患者接受了CT和MRI检查,以评估出血性实质性挫伤。与平扫CT(图A)相比,MRI的GRE(图B)和SWI(图C)序列显示的出血性挫伤(长尾箭头)更为显著。此外,GRE和SWI序列可见脑白质中的脑微出血(三角箭头)。

图7
本例高血压性脑出血患者具有典型的“点状征”表现。
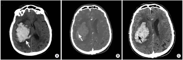
图A:CT平扫显示右侧基底节区大量脑出血(长尾箭头)。
图B:CTA扫描动脉期显示点状高密度影(长尾箭头),即“点状征”。根据“点状征”的定义,点状强化为血肿边缘与血管不相连的高密度灶。
图C:CTA扫描延迟期显示活动性出血灶中与图B相同位置的高密度影(长尾箭头)。

图8
本例患者的CT平扫(图A)、MRI的GRE(图B)和SWI(图C)序列显示右颞叶和枕叶的脑实质内出血(长尾箭头)。这种出血的典型表现是脑叶出血,并不限于动脉的供血区域。本例患者最终被诊断为脑淀粉样血管病。

图9
本图显示了两名脑淀粉样血管病患者的一系列MRI检查序列。
图A、B:本例患者的MRI的FLAIR序列中,整个脑白质区域表现出了弥漫性的高信号异常,即继发于动脉壁中淀粉状蛋白-β肽沉积的微血管病变(图A,长尾箭头)。 此外,皮层出血(图B,长尾箭头)和微出血灶(图B,三角箭头)显示为异常低信号。
图C、D:第二例患者的影像学检查中,脑白质异常不如前一例显著(图C,长尾箭头),但仍然存在数个微出血灶(图D,三角箭头)。
缺血性脑卒中后的出血性转化

图10
本组图片给出了4例患者的影像学检查,患者在接受血管内治疗完成血运重建后,出现了缺血性脑卒中后的出血性转化,这些患者的出血性转化分别属于4种类型:HI-1型、HI-2型、PH-1型、PH-2型。
HI-1型:沿梗死边缘的小的点状出血
HI-2型:梗死区内片状出血,无占位效应
脑实质出血(Parenchymal Hematoma,PH)
PH-1型:有血肿形成,占位效应轻,小于梗死面积的30%
PH-2型:血肿超过梗死面积的30%,有明显占位效应以及远离梗死区的出血

图11
本例患者左侧小脑后下动脉供血区发生脑梗死,并出现了出血性转化,此后接受了后颅窝减压手术。
图A:MRI的DWI序列显示左侧小脑后下动脉供血区弥散受限。
图B:3天后,患者脑梗死区域内出现HI-2型出血性转化(长尾箭头),脑组织肿胀,第四脑室消失(三角箭头)。
图C:患者接受去骨瓣减压术(长尾箭头)后,复查可见第四脑室(三角箭头)。
颅内动脉瘤

图12
患者由于前交通动脉的动脉瘤破裂,导致蛛网膜下腔出血的发生。
图A:平扫CT显示基底池内广泛高密度影,证实了蛛网膜下腔出血的诊断。
图B:CTA显示前交通动脉复合体处的囊状动脉瘤(长尾箭头)。
图C:经过三维重建后,前交通动脉的动脉瘤清晰可见(长尾箭头)。
脑血管畸形

图13
本例为一名儿童患者的影像学检查,由于小脑动静脉畸形破裂引起脑实质内出血。
图A:CT平扫显示右额叶高密度影,提示脑实质内出血(长尾箭头)。
图B:CTA的MIP图像显示沿着出血灶的前缘可见的血管缠结(长尾箭头)。
图C:DSA检查确定了动静脉畸形的存在(长尾箭头),并且可见一细小的早期引流皮层静脉影(三角箭头)。
硬脑膜动静脉瘘

图14
本例为继发于硬脑膜动静脉瘘破裂的脑实质内出血。
图A:CT平扫显示右侧颞叶内高密度影,提示脑实质内出血(长尾箭头)。
图B:CTA显示出血区域边缘覆盖着皮层静脉(长尾箭头)。
图C:自右侧颈外动脉注射造影剂后,动脉期可见右蝶顶窦对比欠清晰(长尾箭头。
图D:DSA延迟期,右侧蝶顶窦(长尾箭头)和皮层静脉(三角箭头)造影剂进一步逆行填充。该皮层静脉对应于CTA上显示的静脉。

图15
高凝状态的女性患者,脑实质内出血继发于上矢状窦血栓形成。
CT平扫显示多发脑实质内出血灶(图A),MRI(图B~D)则进一步显示了脑实质的低信号出血灶,病灶周围并伴有周围高信号的水肿。在图C和图D中,上矢状窦内的充盈缺损(三角箭头)为血栓,即患者发生颅内出血的原因。图D中还可见延伸至右前皮质静脉中的充盈缺损。
血管炎或血管病变

图16
中年女性,主要症状为头痛,后证实为继发于脑动脉血管炎的蛛网膜下腔出血。
图A:MRI的FLAIR成像可见右缘沟内的异常高信号(长尾箭头)。
图B:GRE序列进一步证实了脑沟内异常低信号,为蛛网膜下腔出血(长尾箭头)。
图C、D: DSA显示右侧大脑中动脉M4段(长尾箭头)和右侧大脑前动脉远端(未示出)微小的串珠样改变,与血管炎表现一致。
真菌性动脉瘤

图17
本例为继发于右侧大脑中动脉真菌性动脉瘤破裂的蛛网膜下腔出血。
图A~C:MRI的FLAIR序列及GRE序列均证实蛛网膜下腔出血(图A、B),增强扫描则显示左中央前沟沿着血管走行的圆形强化区域,即真菌性动脉瘤。
图D~F:DSA显示出位于左侧中央前动脉的分叶状真菌性动脉瘤。这种真菌性动脉瘤在横向放大视图中显示最佳。
纵隔大细胞神经内分泌癌1例CT影像
张力性纵隔气肿影像表现及严重度分级
迅速增大的肺部结节,首先考虑良性,确诊需要肺穿
肺隔离症:易误诊为肺癌的占位性病变,肺穿刺禁忌!
肺段与肺内管道应用解剖
肺转移瘤的十种不典型CT表现
肺内淋巴结的CT表现特点及与病理对照
肺实变与肺不张的CT鉴别诊断
医生现身说法,这五种忙帮不得!
北大教授:要真正让医务人员有阳光体面的收入!医
为值夜班的医生护士鼓与呼:请给我们更多关注!
广东拟取消医院用药数量限制,满足患者多样性需求
博士、硕士入职就给精装房!又有医院不惜下血本招
历时7年之久,温医生宣判无罪!
重磅!四川发文:严禁限制医生多点执业
与真人医生诊断一致性达96%:AI医生应用前景广阔