导读:
今天讲的病太嗜血,他就是传说中的克雅病,又称为人类海绵体脑病,它与食人族(福尔族)宗教性食尸习惯有关,它的罪魁祸首是朊蛋白(有人将它称为朊病毒),最早发现在食人族的脑子内。
克雅氏病 Creutzfeldt-Jakob病(CJD)
• Creutzfeldt-Jakob病(CJD) ,又称为皮质-纹状体-脊髓变性,是一种罕见的可传播的致命性中枢神经系统神经变性性疾病。神经元中朊蛋白积聚导致神经变性,患者会快速地出现进行性痴呆。以快速进行性痴呆、肌阵挛和特征性脑电图表现为特点。
• 临床上CJD分为散发型、医源型、家族型和变异型四型,80%-90%为散发;变异CJD又称疯牛病。
• 病理大体见脑海绵状变(空泡变性),神经元丢失、星形细胞增生、淀粉样斑沉积,致使皮质、基底节和脊髓萎缩性变性。
病例影像诊断分享
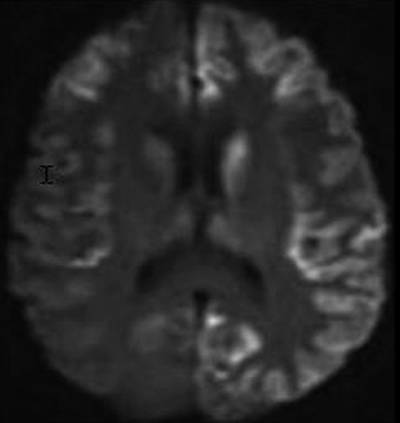
病例1:男,71岁。海绵状神经元变性,典型丘脑曲棍球征

散发型CJD
病例2:男,70岁。DWI轴位:双侧尾状核、丘脑及大脑皮层呈高信号。

变异性CJD
病例3:女,23岁。T2WI双侧丘脑后结节高信号(即“丘脑后结节征”),增强无强化。

变异性CJD
病例4:女,26岁。DWI轴位:丘脑后结节和背中心区弥散减少(曲棍球征)。双侧基底节高信号,无皮层带高信号。

Creutzfeldt-Jakob病(CJD)
影像学表现:基底核、丘脑和皮层(皮层带)出现T2WI高信号和DWI高信号影,无对比增强,病程后期出现弥散性皮质萎缩。变异性CJD的一个重要的影像表现是丘脑后结节T2WI高信号,68%-90%的变异性CJD有该改变,被认为是变异性CJD的特点,但是这个影像表现也出现在散发的CJD中。曲棍球征(丘脑后结节和背中心区对称性高信号)是变异性CJD的特点,皮层带高型号在变异性CJD中很少见到。
Creutzfeldt-Jakob病(CJD)诊断
多数于多为中老年发病,平均发病年龄为60岁,女性略多。
诊断标准:
1、在2年内发生的进行性痴呆;
2、肌阵挛、视力障碍、小脑症状、无动性缄默等四项中两项;
3、脑电图特征性周期性同步放电。
具备以上三条诊断很可能是CJD;仅具备1、2条诊断可能CJD;
病人脑组织活检发现海绵状态和PrP-rsc为确诊的CJD。
CJD处理原则
CJD患者中枢神经系统组织、眼球组织具有高度感染性,其他组织如扁桃体、脾脏、淋巴结等也具有感染性,接触上述组织时应注意防护。
无任何资料显示CJD可通过接触传染。
纵隔大细胞神经内分泌癌1例CT影像
张力性纵隔气肿影像表现及严重度分级
迅速增大的肺部结节,首先考虑良性,确诊需要肺穿
肺隔离症:易误诊为肺癌的占位性病变,肺穿刺禁忌!
肺段与肺内管道应用解剖
肺转移瘤的十种不典型CT表现
肺内淋巴结的CT表现特点及与病理对照
肺实变与肺不张的CT鉴别诊断
医生现身说法,这五种忙帮不得!
北大教授:要真正让医务人员有阳光体面的收入!医
为值夜班的医生护士鼓与呼:请给我们更多关注!
广东拟取消医院用药数量限制,满足患者多样性需求
博士、硕士入职就给精装房!又有医院不惜下血本招
历时7年之久,温医生宣判无罪!
重磅!四川发文:严禁限制医生多点执业
与真人医生诊断一致性达96%:AI医生应用前景广阔