
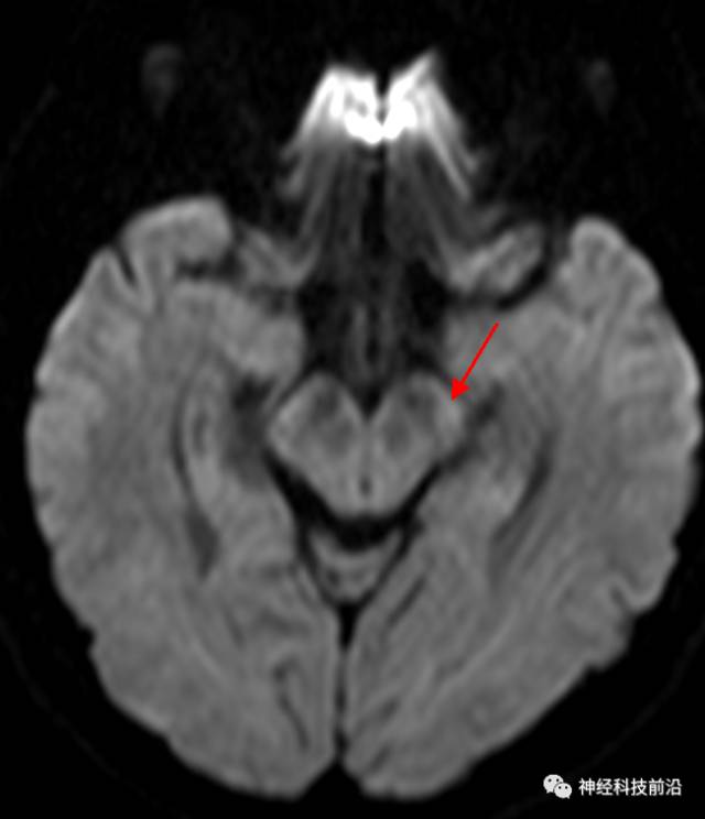
DWI脑干和内囊后肢经常显示为高信号,它是什么纤维束呢?皮质脊髓束?














DTI原始图像





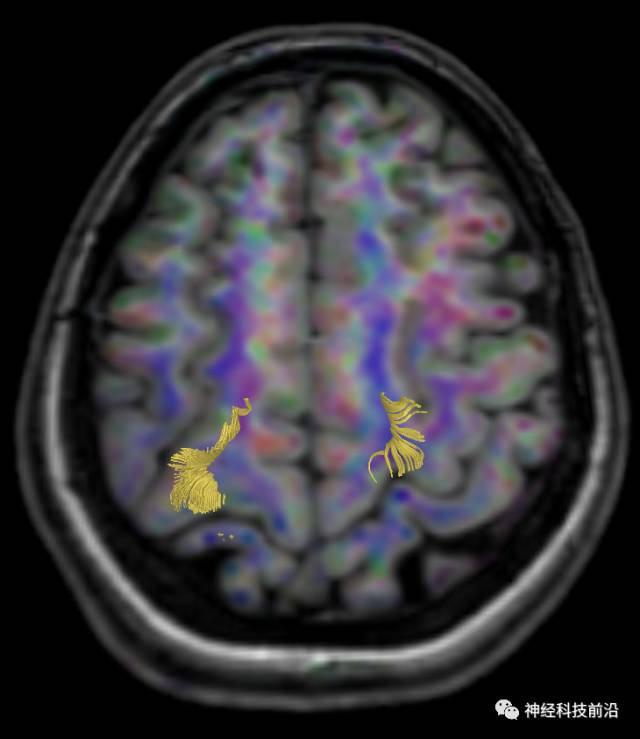
DTI原始图像与T1融合图像




下面为皮质脊髓束的走形及位置







下面为皮质脑桥束的走形方位











皮质脑桥束与脑干高信号(黄色)纤维束





皮质脊髓束与皮质脑桥束的关系毗邻






脑干内高信号为一近环形纤维束,其作用尚待研究。












上述纤维束与小脑中脚的位置毗邻












终上所述:脑干高信号为一近环形纤维束,内囊后肢高信号为皮质脑桥束,皮质脊髓束在中脑位置略靠后。高信号位于中脑前缘,是皮质脑桥束的位置所在,另外有部分桥连纤维。

纵隔大细胞神经内分泌癌1例CT影像
张力性纵隔气肿影像表现及严重度分级
迅速增大的肺部结节,首先考虑良性,确诊需要肺穿
肺隔离症:易误诊为肺癌的占位性病变,肺穿刺禁忌!
肺段与肺内管道应用解剖
肺转移瘤的十种不典型CT表现
肺内淋巴结的CT表现特点及与病理对照
肺实变与肺不张的CT鉴别诊断
医生现身说法,这五种忙帮不得!
北大教授:要真正让医务人员有阳光体面的收入!医
为值夜班的医生护士鼓与呼:请给我们更多关注!
广东拟取消医院用药数量限制,满足患者多样性需求
博士、硕士入职就给精装房!又有医院不惜下血本招
历时7年之久,温医生宣判无罪!
重磅!四川发文:严禁限制医生多点执业
与真人医生诊断一致性达96%:AI医生应用前景广阔