颅内少见肿瘤,约占颅内肿瘤的1%~2%,幕下肿瘤的7%,血管母细胞瘤又称血管网状细胞瘤,是真性血管性肿瘤,一般认为是胚胎早期来自中胚层的细胞在形成原始血管过程中发育障碍,残余的胚胎细胞形成肿瘤。好发于青壮年,男性多于女性。
分型
根据大体病理及MRI表现分为:大囊小结节型、单纯囊型、实质型。
MRI表现
1. 大囊小结节型:血管母细胞瘤最常见典型表现,大囊小结节征,囊腔张力高,境界清楚,边缘光整,少数可见分隔,壁结节小,附于一侧囊壁。壁结节内及瘤周可见异常血管流空影。壁结节在T1WI与脑实质相似或稍低,在T2WI与脑实质相似。
增强扫描壁结节显著强化,囊液、囊壁多不强化,部分在瘤周可同时有显著强化结节。瘤周多无明显水肿。部分囊液在T1WI及T2WI均始终高于脑脊液信号,主要原因是囊液中含有较多的蛋白成分。
2. 单纯囊型:少见,MRI平扫未见壁结节,增强扫描部分囊壁可有轻度强化,瘤周可见异常强化结节。这种强化结节在病理上与壁结节相同,是确诊的重要依据。
3. 实质型:该型MRI表现不典型,诊断较困难。主要特点是:肿瘤外形规则、边界清楚,呈圆形或类圆形,血供丰富。T1WI呈略低或等信号,T2WI均为明显高信号,少数T1WI可见点状高信号,可能瘤内亚急性出血或含较多脂基质细胞,含脂基质细胞是血管母细胞瘤特点之一。
肿瘤内或瘤周蛇形、 迂曲的条状血管流空为本病特征性表现。增强扫描后界限更清晰,呈明显强化。
鉴别诊断
毛细胞型星形细胞瘤、髓母细胞瘤、脑膜瘤、转移瘤
病例学习
Case1


图 1 小脑蚓部见不规则异常信号,T1WI呈低信号,T2WI及FLAIR呈高信号,病灶周围见轻度水肿带围绕,增强扫描呈明显不均匀强化;四脑室受压移位、变窄,幕上脑室系统扩张
Case2


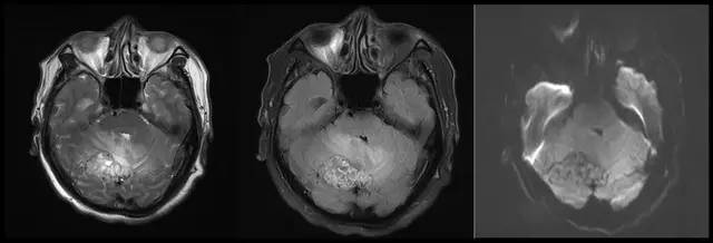
图 2 右侧小脑半球见不规则异常信号,T1WI呈低信号,T2WI及FLAIR呈稍高信号,病灶周围见紊乱迂曲血管影,增强扫描呈明显强化;四脑室受压移位、变窄,幕上脑室系统扩张
Case3


图 3 左侧小脑半球见囊实性异常信号,T1WI呈等及低信号,T2WI及FLAIR呈高及稍高信号,病灶周围水肿部明显,增强扫描壁结节呈明显强化,囊壁及囊腔未见明显强化;邻近四脑室受压,幕上脑室系统扩张
纵隔大细胞神经内分泌癌1例CT影像
张力性纵隔气肿影像表现及严重度分级
迅速增大的肺部结节,首先考虑良性,确诊需要肺穿
肺隔离症:易误诊为肺癌的占位性病变,肺穿刺禁忌!
肺段与肺内管道应用解剖
肺转移瘤的十种不典型CT表现
肺内淋巴结的CT表现特点及与病理对照
肺实变与肺不张的CT鉴别诊断
医生现身说法,这五种忙帮不得!
北大教授:要真正让医务人员有阳光体面的收入!医
为值夜班的医生护士鼓与呼:请给我们更多关注!
广东拟取消医院用药数量限制,满足患者多样性需求
博士、硕士入职就给精装房!又有医院不惜下血本招
历时7年之久,温医生宣判无罪!
重磅!四川发文:严禁限制医生多点执业
与真人医生诊断一致性达96%:AI医生应用前景广阔