喉癌 laryngeal carlinoma
为喉部主要的恶性肿瘤,占全身恶性肿瘤的1%~2%,多见于50~70岁男性,男女之比为8:1。病理上早期表现为乳头状结节,继而向黏膜下和周围组织浸润,使受累组织增厚、变形;晚期可向喉外发展,破坏喉软骨。常经淋巴管转移至颈部淋巴结,亦可经血道转移至肝、肺、肾、骨和脑等器官。
依肿瘤发生部位不同,可分为声门型(癌肿侵犯声带、前联合和后联合,该部肿瘤生长缓慢,颈部淋巴结转移少,预后好)、声门上型(指癌肿侵犯喉室及其以上喉结构者,该区喉癌易发生扩散和淋巴结转移,预后较差)、声门下型(指癌肿侵犯声带下面以下者,多数为声门型向下蔓延的结果)和全喉型(指肿瘤广泛浸润,可占据整个喉腔的全部或大部分)。喉癌的好发部位是声门区,其次是声门上区和梨状窝,声门下区最少见。
诊断要点
1.MRI检查:SE序列呈长T1、长T2信号。由于MRI软组织分辨率高于CT及可以任意角度的三维成像,因此对喉癌的显示优于CT,能清楚地显示喉软骨是否受到破坏以及与周围组织的关系。
2.主要症状为声音嘶哑,吞咽和呼吸困难,喉部不适等。
3.晚期可出现咽喉痛和痰中带血。
4.各型喉癌的症状和体征不尽相同,声门型早期即可出现声嘶症状,而声门上型和声门下型早期症状不明显,往往仅表现为喉部不适感,当癌肿侵犯声带时才出现声嘶。
5.间接喉镜检查:可见喉腔内结节状或菜花状肿块,并可侵犯周围组织。
6.X线平片:颈椎侧位片可见喉室部软组织块影,边缘模糊,可破坏附近的软骨。
CT表现
1.声门型:
1)多数位于声带前部邻近前联合处。
2)早期表现为一侧声带增厚,外形不规则。
3)喉癌较明显时表现为声带显著增厚变形,有软组织肿块(图3-5-11),声带固定在内收位,并可见杓状软骨移位和周围软组织及喉软骨的破坏。
4)会厌前间隙和喉旁间隙消失(图3-5-12)。
5)若见两侧声带明显不规则或出现小结节,可提示已侵入对侧,已失去喉部分切除机会。
2.声门上型:
1)肿瘤位于会厌、杓会厌襞、室带和喉室等处者(图3-5-13)。
2)可见肿瘤部位软组织不规则增厚和肿块,喉腔变形、狭窄(图3-5-14)。
3)会厌前间隙和喉旁间隙受侵,表现为低密度的脂肪消失。
4)喉软骨受累表现为不规则骨破坏。
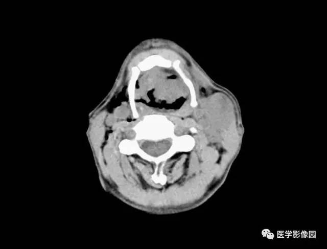
3.声门下型:CT扫描对声门下癌的显示甚为敏感,周围的黏膜厚度>1mm即可视为异常,如有结节、肿块和变形,更易发现(图3-5-15)。
4.全喉型:CT检查出现前述各型喉癌的混合表现(图3-5-16)。
5.CT喉部仿真内镜:CTVE像可表现为声门裂不对称、不规则狭窄,声带增厚或结节状隆起。头端入路的CTVE在观察病变的形态及范围上与纤维喉镜基本吻合,脚端入路CTVE还能从声带的下方观察纤维喉镜无法看到的病变,有助于临床医生术前更全面了解喉部病变情况(图3-5-17)。
6.转移途径:除上述的直接蔓延,常有颈部淋巴转移,晚期还可经血行转移至肺、骨、肝及脑等器官。
7.鉴别诊断:
1)喉水肿:黏膜弥漫增厚,边缘光滑,两侧较对称。
2)声带息肉:多数基底狭窄,可带蒂,喉内其他结构正常,喉癌隆起则为宽基底。鉴别困难时可借助活检。


图3-5-11 声门区癌
A.CT平扫见左侧声带和前联合明显增厚,
喉腔变形,声门裂变窄(↑);
B.肿瘤向上侵犯左侧杓会厌皱襞和喉前庭

图3-5-12声门区癌
CT平扫见右侧声带偏后方软组织肿块,
侵犯后联合,喉旁间隙消失

图3-5-13 声门上区癌
CT平扫见喉前庭右侧壁软组织肿块(↑)
突向喉腔其后方肌间隙模糊
图3-5-14声门上区癌
CT平扫见右侧喉腔内软组织肿块,
其内见斑点状钙化(↑),
右侧室带、杓会厌皱襞和梨状窝受侵

图3-5-15 声门下区癌
CT平扫通过环状软骨层面见声门
下区喉前壁局部软组织肿块(↑),
并突向喉腔使其变形

图3-5-16全喉型癌
A.CT平扫见左半喉内软组织肿块,
累及前、后联合,喉腔及喉旁间隙消失,
左侧甲状软骨受压推移;

图3-5-16全喉型癌
B.肿瘤向上生长,占据整个喉前庭部,
左颈部见增大淋巴肿融合成团块(↑)

图3-5-17全喉型癌
A. 右侧杓会厌皱壁不规则增厚且不均匀强化,
表面凹凸不平,
并累及喉咽及左侧杓会厌皱壁,
右侧梨状窝变形;

图3-5-17全喉型癌
B. 两侧声带不对称,右侧声带显示增厚,
表面呈结节样突起。喉咽侧壁、
前壁及后壁受侵,明显不规则增厚;

图3-5-17全喉型癌
C.冠状位MPR示右侧杓会厌皱襞不规则增厚(↑),
右侧梨状窝变窄;

图3-5-17全喉型癌
D. 鼻窦、咽、喉透明成像,
显示右侧梨状窝变形、变窄,
两侧声襞显示不对称,
声门裂变形、不规则狭窄;

图3-5-17全喉型癌
E.会厌、喉仿真内镜示右侧杓会厌皱襞不规则增厚,
表面凹凸不平,喉咽后壁结节样突起,
右侧梨状窝变形、变窄,会厌清晰显示;

图3-5-17全喉型癌
F. 喉仿真内镜示两侧声带显示不对称,
声门裂变形、不规则狭窄,
右侧喉室消失、杓会厌皱襞较左侧明显饱满隆起
纵隔大细胞神经内分泌癌1例CT影像
张力性纵隔气肿影像表现及严重度分级
迅速增大的肺部结节,首先考虑良性,确诊需要肺穿
肺隔离症:易误诊为肺癌的占位性病变,肺穿刺禁忌!
肺段与肺内管道应用解剖
肺转移瘤的十种不典型CT表现
肺内淋巴结的CT表现特点及与病理对照
肺实变与肺不张的CT鉴别诊断
医生现身说法,这五种忙帮不得!
北大教授:要真正让医务人员有阳光体面的收入!医
为值夜班的医生护士鼓与呼:请给我们更多关注!
广东拟取消医院用药数量限制,满足患者多样性需求
博士、硕士入职就给精装房!又有医院不惜下血本招
历时7年之久,温医生宣判无罪!
重磅!四川发文:严禁限制医生多点执业
与真人医生诊断一致性达96%:AI医生应用前景广阔