导读:
概述:

颅内动脉瘤85%发生于前循环,其中前交通动脉(30-35%)、颈内动脉-后交通动脉(30-35%)、大脑中动脉分叉(20%);15%发生于后循环,其中基底动脉占5%,10%发生于其他后颅窝血管。

颅内动脉瘤的分类:
微小动脉瘤–直径小于2mm
小型动脉瘤–直径2-5mm
中型动脉瘤–直径6-10mm
大型动脉瘤–直径10-25mm
巨大动脉瘤–直径大于25mm
囊状动脉瘤(先天多见,好发大脑动脉环及大脑中动脉分叉,女性多见,占66-90%)
梭形动脉瘤(后天多见,多由动脉硬化所致,好发椎基底动脉,老年人,少见)

颅内动脉瘤的临床表现:
梭形动脉瘤可引起脑神经症状,或因血栓引起脑梗死。
破裂出血的动脉瘤表现为蛛网膜下腔出血、脑内血肿等相应症状。

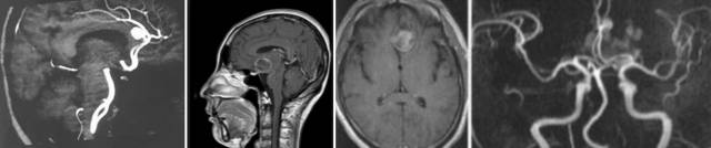
影像学检查–CT:
平扫—般为圆形、葫芦形或条形稍高密度影,动脉瘤壁有钙化时,CT易于显示。如动脉瘤破裂出血则表现为蛛网膜下腔出血,平扫是瘤体不易显示时,需要行CTA扫描。
CT增强—多数动脉瘤腔呈明显的均一强化圆形或不规则形,边缘清晰,有时增厚的动脉瘤壁亦发生强化,表现为在明显均一强化边缘有一轻度的强化环。
CTA—囊状动脉瘤表现为起自动脉的囊袋状突起,有蒂(瘤颈)与载瘤动脉相连,轮廓清晰;梭形动脉瘤表现为血管不规则迂曲扩张,无瘤颈。

影像学表现–MR:
MRI平扫:动脉瘤瘤腔内的血流呈“涡流”现象,在MRI上表现为无信号或低信号,但若动脉瘤腔内部分形成血栓,则信号改变就变得复杂化了。血栓中的正铁血红蛋白表现为高信号,若含有含铁血黄素则表现无或低信号;残留的瘤腔仍有流空效应,表现无或低信号;动脉瘤周边可有出血和水肿。
MRA:可以直接显示动脉瘤。

影像学表现–DSA:
DSA是诊断颅内动脉瘤最准确的方法,可清晰显示动脉瘤部位、大小、数量、形状。为了发现预料之外的动脉瘤,血管造影应包括所有部位的脑内血管。
造影应在出血后立刻进行,否则,出血2~3天后即发生血管痉挛,持续大约1周,此时造影,容易出现假阴性。

颅内动脉瘤的治疗:
1、直接手术,其中瘤颈夹闭是最好的方法。
2、间接手术,结扎颈部动脉,此种方法风险大。


属于介入治疗方法,采取经皮穿刺股(或颈)动脉,插入导引管,再经导引管插入微导管至动脉瘤内或载瘤动脉,经微导管送入栓塞材料(如球囊、微弹簧圈),将动脉瘤或载瘤动脉闭塞的方法。–此方法创伤小、效果佳、术后恢复快。

适用于:
①急性蛛网膜下腔出血的早期,病情的趋向不明确;
②病情严重的病例不允许作开颅手术,或手术需延迟进行;
③动脉瘤位于手术不能达到的部位;
④拒绝手术治疗或等待手术治疗的病例。
措施:
①患者应绝对卧床休息,头部可稍抬高;
②严密观察患者血压、脉搏、体温、呼吸、瞳孔及意识的变化;加强护理,预防各种并发症;用导泻剂防止便秘;
③有蛛网膜下腔出血时按蛛网膜下腔出血治疗进行;血压过高的患者适当用降压药物,必要时给予控制性低血压;
④止血剂和抗纤维蛋白酶制剂的应用;抗脑血管痉挛的治疗;防治脑积水的措施。
颅内动脉瘤转归:
2.好转:间接手术或动脉瘤未切除,临床症状明显好转,部分恢复工作。
3.未愈:动脉瘤未处理,症状无改善。
纵隔大细胞神经内分泌癌1例CT影像
张力性纵隔气肿影像表现及严重度分级
迅速增大的肺部结节,首先考虑良性,确诊需要肺穿
肺隔离症:易误诊为肺癌的占位性病变,肺穿刺禁忌!
肺段与肺内管道应用解剖
肺转移瘤的十种不典型CT表现
肺内淋巴结的CT表现特点及与病理对照
肺实变与肺不张的CT鉴别诊断
医生现身说法,这五种忙帮不得!
北大教授:要真正让医务人员有阳光体面的收入!医
为值夜班的医生护士鼓与呼:请给我们更多关注!
广东拟取消医院用药数量限制,满足患者多样性需求
博士、硕士入职就给精装房!又有医院不惜下血本招
历时7年之久,温医生宣判无罪!
重磅!四川发文:严禁限制医生多点执业
与真人医生诊断一致性达96%:AI医生应用前景广阔