鼻窦炎影像诊断
CT检查目的
● 显示解剖及变异
● 确定有无病变
● 确定病变部位
● 确定病变范围及程度
● 确定病变性质
适应症
疑鼻窦炎均应行CT检查
急性鼻窦炎
◆ 以鼻堵、脓涕、脓涕倒流及面部疼痛为特征
◆ 疼痛或头痛的分布有助病变定位
◆ 额窦炎头痛向前额部放射,整个头痛
◆ 上颌窦炎疼痛从內眦部向面颊或齿槽区部放射
◆ 筛窦炎疼痛位于鼻根和內眦后部,周期发作,晨起重
◆ 蝶窦炎一般缺少特性,枕部或球后部疼痛
◆ 疼痛在窦口完全阻塞和脓性分泌物潴留时更为严重
◆ 发展致骨壁破坏溶解,引起眶内或颅内并发症
平片及CT检查表现
Water氏位:窦腔混浊,液平面
CT:
鼻窦密度增高
骨壁破坏
脓肿
并发症
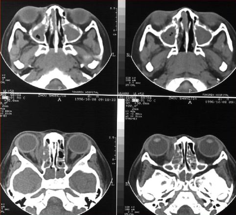
急性鼻窦炎

急性鼻窦炎

急性鼻窦炎

筛窦异物伴急性感染

慢性鼻窦炎—临床表现
● 症状多,平常较轻,有鼻堵、流涕、嗅觉障碍、鼻衄及头痛
● 慢性鼻窦炎急性发作与急性鼻窦炎相似
鼻窦炎临床分期标准
Gikich Metson分类:
● 0期:正常(窦黏膜的厚度在2mm以下)
● Ⅰ期:单侧阴影,或解剖异常
● Ⅱ期:双筛窦或(和上颌窦的局限性病变
● Ⅲ期:双侧额窦或(和)蝶窦的病变
● Ⅳ期:全组副鼻窦病变
慢性鼻窦炎、鼻息肉临床分型
◆ Ⅰ型:单纯型鼻窦炎
Ⅰ期:局限性单个鼻窦慢性炎症
Ⅱ期:前组鼻窦炎和/或波及部分后组筛窦
Ⅲ期:全组鼻窦炎
◆ Ⅱ型:鼻窦炎伴有鼻息肉
Ⅰ期:局限性单个鼻窦慢性炎症伴单发息肉;
Ⅱ期:前组鼻窦炎和/或波及部分后组筛窦伴多发息肉
Ⅲ期:全组鼻窦炎伴多发息肉
◆ Ⅲ型:全组鼻窦炎伴复发、多发性息肉和/或筛窦骨质增生
慢性鼻窦炎分期与预后(1000例)
Ⅰ期治愈 延期治愈 迁延炎症
Ⅰ期(99) 80 19
Ⅱ期(210) 162 30 18
Ⅲ期(150) 88 42 20
Ⅳ期(541) 227 192 122
合计(1000) 557 283 160
CT对鼻窦炎分型分期的价值
★ 对病变程度和范围的了解必须依靠鼻窦CT扫描
★ 鼻窦CT扫描所见是鼻窦炎、鼻息肉分型分期的基础
★ 术前CT扫描对判断鼻窦炎鼻内窥镜鼻窦手术预后有重要参考价值
CT表现
● 冠状和水平位及HRCT技术
● 黏膜增厚
● 黏膜囊肿
● 骨质:吸收或硬化肥厚
● 并发症
CT筛窦炎分型
1.蜂窝型:蜂房密集数量多,骨间隔菲薄
2.空泡型:蜂房少,融合成较大空泡,间隔较薄
3.骨质增生型:蜂房多少不一,骨间隔明显増厚,
部分间隔过度增生,蜂房融合闭锁
1994年对975例患者CT分型:
空泡型297例30.5%,术后疗效好
蜂窝型356例36.5%,蜂窝型次之
骨质增生型322例33.0%,预后较差
鼻窦骨壁增生
长期慢性炎症刺激
● 儿童期致鼻窦发育不良和窦腔狭小
● 骨炎的范围与感染的次数和病史的长短有关
● 分为硬化和肥厚
● 硬化是骨的细密化,多见于蝶窦和上颌窦
● 肥厚是骨壁的增厚一般向中心性
鼻息肉
◆ 原因不清,与慢性炎症、变态反应有关
◆ 起源于筛区,最常见是筛漏斗、中鼻甲和钩
◆ 临床表现:长期鼻堵、脓涕、复发鼻窦炎和/或头痛
CT表现
★ 平片无特征,可有鼻腔、鼻窦透光度下降
★ CT:单侧或双側鼻腔、鼻窦软组织团块影,软组织密度
★ 息肉生长处骨壁吸收
★ 少数骨壁増生硬化
★ 病变轻度增强
术后CT检查
● 半年行CT复查为宜。3月内易出现假阳性,术后黏膜愈合一般在3个月内,消除黏膜肿胀和功能恢复须更长时间,CT不能作为疗效评价的唯一依据
● 开放状况:了解窦口或开窗口的程度
● 黏膜:黏膜肿胀或纤维化造成假阳性
● 了解有无残余病灶
● 并发症:前颅底、眶纸板及视神经管等
慢性鼻窦炎—平片改变

慢性鼻窦炎—黏膜改变

慢性鼻窦炎—黏膜囊肿

慢性鼻窦炎—积液

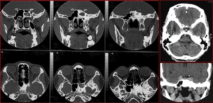
慢性多发鼻窦炎鼻息肉

慢性多发鼻窦炎鼻息肉

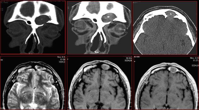
慢性多发鼻窦炎—MRI

慢性多发鼻窦炎—MRI

鼻窦炎—骨质改变

鼻窦炎—骨质改变

鼻窦炎—骨质增生

鼻窦炎—骨质增生及脑膜炎

鼻窦炎—骨质增生及脑膜炎

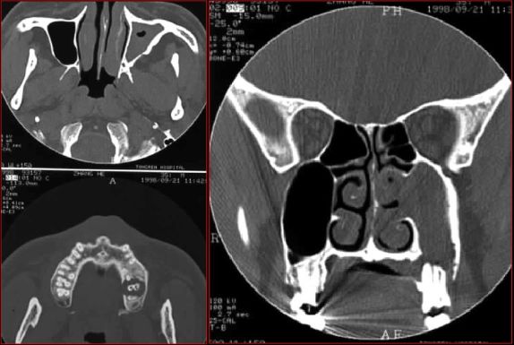
额窦脓囊肿

鼻窦炎—破溃入口腔

牙源性鼻窦炎

牙源性鼻窦炎

蝶窦炎—眶尖综合症

鼻窦炎—眶尖综合症

鼻窦炎—眶尖综合症

鼻窦炎内窥镜术后改变

鼻窦霉菌病
● 较少见,常误诊为慢性细菌性鼻窦炎
● 临床表现与明显鼻窦炎相似,缺乏特征性
● 分为慢性及爆发型
影像学表现
◆ 柯瓦氏位表现为窦腔密度増高混浊,窦壁骨质增生或破坏。平片诊断率不超过50%
◆ CT表现
窦腔黏膜增厚
窦腔内团块影,密度高,为菌丝团块
不规则钙化
窦壁骨质破坏
影像学表现
MRI表现:
★ 侵袭为黏膜炎性水肿和蜂窝织炎,T1WI为低信号,T2WI为高信号
★ 慢性为明显低信号,钙化,霉菌内含有铁和锰等顺磁性物质,含蛋白质高的黏液等。
★ 反应性肉芽肿或鼻窦炎T1WI为低信号、T2WI为高信号
★ 增强扫描病变周边黏膜明显强化
★ 显示侵犯眼眶、颅底、颅内实质或硬脑膜窦
鼻窦霉菌感染

鼻窦霉菌感染

鼻窦霉菌感染

鼻窦爆发型霉菌感染

鼻硬结症—CT

鼻硬结症—MRT

鼻硬结症—CT

鼻硬结症—MRT

鼻窦结核

鼻窦结核

黏液囊肿
● 病因:窦口阻塞;黏液腺膨大;真性肿瘤
● 临床表现:早期无症状
增大后岀现鼻堵、流涕
眼部症状
面部畸形
黏液囊肿—表现
1.发病以筛窦、额窦多见,上颌窦、蝶窦少见
2.窦腔内软组织影CT值30HU,密度均匀
3.窦腔膨胀性扩大
4.窦壁压迫变薄、吸收、移位
5.增强后边缘强化,内无强化
6.多侵及眼眶
CT价值:
1.正确诊断率达97.1%
2.鉴别眼眶肿瘤、鼻窦恶性肿瘤、脑膜膨岀
蝶窦黏液囊肿

蝶窦黏液囊肿

蝶窦黏液囊肿

蝶窦黏液囊肿

蝶窦黏液囊肿

额窦黏液囊肿

额窦黏液囊肿

额窦黏液囊肿

额筛窦黏液囊肿

筛窦黏液囊肿

上颌窦黏液囊肿

纵隔大细胞神经内分泌癌1例CT影像
张力性纵隔气肿影像表现及严重度分级
迅速增大的肺部结节,首先考虑良性,确诊需要肺穿
肺隔离症:易误诊为肺癌的占位性病变,肺穿刺禁忌!
肺段与肺内管道应用解剖
肺转移瘤的十种不典型CT表现
肺内淋巴结的CT表现特点及与病理对照
肺实变与肺不张的CT鉴别诊断
医生现身说法,这五种忙帮不得!
北大教授:要真正让医务人员有阳光体面的收入!医
为值夜班的医生护士鼓与呼:请给我们更多关注!
广东拟取消医院用药数量限制,满足患者多样性需求
博士、硕士入职就给精装房!又有医院不惜下血本招
历时7年之久,温医生宣判无罪!
重磅!四川发文:严禁限制医生多点执业
与真人医生诊断一致性达96%:AI医生应用前景广阔