作者:贾桐,文明,彭晓娟,黄建敏,魏玲格,刘伟,解朋,河北医科大学第三医院核医学科
病例女,11岁,主因右髋及右踝关节间断性疼痛4月就诊。现病史:患儿于4月前出现右髋及右踝关节间断性疼痛,活动后加重,不伴
既往史:无特殊记载。入院查体:体温36.6℃,
实验室检查:碱性磷酸酶246U/L(参考范围15~130U/L),血沉40mm/h(参考范围0~20mm/h)。

图1CT:右股骨近端(实心箭头A)和右踝处(箭头B)可见不规则骨质破坏,局部骨皮质变薄,内见点状高密度影,邻近骨质可见骨膜反应,周围软组织肿胀。
为协助诊断及评估病变范围,患者行全身
全身骨显像示:左肱骨远端、右股骨近端、右股骨中下段及右胫骨远端可见异常放射性浓聚灶(箭头),余骨未见明显异常放射性浓聚或稀疏区。双肾显影,膀胱内可见少量显像剂滞留(图2)。

图2全身骨显像可见:左肱骨远端,右股骨近端,右股骨中下段及右胫骨远端异常放射性浓聚灶(箭头),余骨未见明显异常放射性浓聚或稀疏区。双肾显影,膀胱内可见少量显像剂滞留。
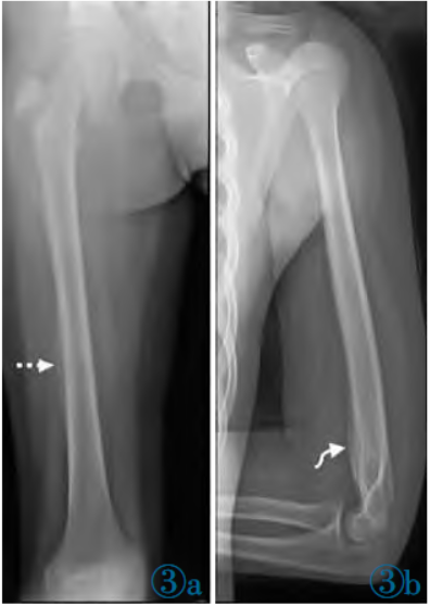
患者为评估骨显像新发现病灶,遂行X线检查。X线示:右股骨中下段(虚线箭头A)和左肱骨远端(曲线箭头B)可见不规则骨质破坏,骨骺板增宽,内见点状高密度影,邻近骨质可见骨膜反应,周围软组织肿胀(图3a,3b)。患者行右胫骨远端穿刺


图3X线:右股骨中下段(虚线箭头A)和左肱骨远端(曲线箭头B)可见不规则骨质破坏,骨骺板增宽,内见点状高密度影,邻近骨质可见骨膜反应,周围软组织肿胀。病理组织学HE染色:慢性炎症细胞浸润伴坏死,符合慢性③a③b骨髓炎表现。
讨论
CRMO也称为慢性复发性多灶性骨髓炎、非细菌性骨炎、滑膜炎等。该病是一种罕见的病因不明的骨髓炎性疾病,Giedion等于1972年首次报道了该病。CRMO的发病机制目前尚不清楚,其很可能是一种涉及抗炎细胞因子的自身炎症性疾病。该病常见于2~17岁青少年,女性较多见。
常见的发病部位为中轴骨及其附属骨骼,其中大多数病变位于长骨及其干骺端。在长骨中,以股骨远端和胫骨近端或远端最常见。其他常见的受累部位包括椎骨、骨盆和锁骨,肩胛骨和胸骨也可累及。CRMO的主要特征是多处骨骼的病变,并伴有局部肿胀和疼痛。该病容易反复发作,经久不愈,并可能导致病理性
本例患者的发病年龄为11岁,发病部位为四肢长骨多处,且间断疼痛,符合CRMO的特征。CRMO的影像学表现往往不具有明显的诊断特异性,但在疾病的诊断及鉴别诊断中依然具有一定的作用。X线及CT常表现为溶骨性、混合性和硬化性的改变。在早期,长骨干骺端通常有溶骨性病变,周围的硬化通常随着时间的推移而发展。也可见到局限性或弥漫性的骨质增生或骨膜反应。
早期炎症在X线上的表现多为阴性,只有当炎症发展到一定程度,出现溶骨及骨膜硬化时才能发现。本例患者X线及CT图像上的表现与临床报道相一致。CRMO是一种相对少见的疾病,其影像学表现和临床特征与
虽然CRMO的病灶部位通常具有明显症状,但仍然有些病灶早期症状并不明显,往往容易被患者忽视,不能及时诊断错过最佳治疗时机,延误病情,而出现了骨骼畸形等严重后果。因此,发现隐匿的病变是至关重要的。
全身骨显像对于发现骨病变具有高度的敏感性,通过一次显像即可评估全身骨骼的受累情况,目前已广泛用于评估全身骨骼性疾病,尤其对于发现隐匿性病变具有较高的价值。本例患者右股骨中下段及左肱骨远端处无临床症状,临床上常被忽视,然而通过全身骨显像的检查,结合CT及X线,及时确诊了病变范围。因此,全身骨显像能够在CRMO早期诊断中发挥重要的价值。
本病例还表明,如果在全身骨显像中发现广泛的异常放射性浓聚灶,CRMO应被视为鉴别诊断之一。目前,随着SPECT/CT的普及和应用,它能够结合病灶摄取骨显像剂的变化和CT中病灶的解剖结构的变化,特异性的提示活跃的病灶,对于诊断CRMO及发现隐匿病灶发挥着重要作用。
CRMO的鉴别诊断包括骨关节炎、感染性骨髓炎及骨恶性肿瘤。骨关节炎为一种退行性病变,多见于70岁以上老年人,影像学表现为关节间隙变窄,边缘骨质增生及骨质破坏。全身骨显像表现为髋关节及膝关节的对称性放射性摄取增浓。感染性骨髓炎通常表现为高热,感染部位红肿热痛,影像学表现与本病相似,但抗生素治疗有效。骨恶性肿瘤中主要需与原发性骨
原发性骨淋巴瘤多见于50岁左右的中老年人,股骨及骨盆多受累,多为单发病灶,影像学表现为虫蚀状多灶性骨质破坏,软组织肿块较大,多突破骨皮质生长,全身骨显像中病灶表现为团块状异常放射性浓聚灶。尤文肉瘤多见于10~15岁儿童及青少年,主要侵及四肢长骨及骨盆,病情进展较快,影像学表现骨膜反应较规则,多半呈葱皮样骨膜反应,在全身骨显像上表现为受累骨及软组织内肿瘤的放射性摄取增浓。
来源:贾桐,文明,彭晓娟,黄建敏,魏玲格,刘伟,解朋.慢性非细菌性骨髓炎伴无症状病灶全身骨显像1例[J].中国临床医学影像杂志,2022,33(01):74-76.
纵隔大细胞神经内分泌癌1例CT影像
张力性纵隔气肿影像表现及严重度分级
迅速增大的肺部结节,首先考虑良性,确诊需要肺穿
肺隔离症:易误诊为肺癌的占位性病变,肺穿刺禁忌!
肺段与肺内管道应用解剖
肺转移瘤的十种不典型CT表现
肺内淋巴结的CT表现特点及与病理对照
肺实变与肺不张的CT鉴别诊断
医生现身说法,这五种忙帮不得!
北大教授:要真正让医务人员有阳光体面的收入!医
为值夜班的医生护士鼓与呼:请给我们更多关注!
广东拟取消医院用药数量限制,满足患者多样性需求
博士、硕士入职就给精装房!又有医院不惜下血本招
历时7年之久,温医生宣判无罪!
重磅!四川发文:严禁限制医生多点执业
与真人医生诊断一致性达96%:AI医生应用前景广阔