肺炎支原体肺炎
小儿呼吸系统解剖生理特征独特,而且呼吸系统免疫功能较差,所以小儿极易患呼吸道感染类疾病 [1]。肺炎支原体为常见的感染病原体。是肺炎支原体感染肺部实质或肺间质而导致的疾病。由于肺炎支原体肺炎具有容易反复等特点,因此并发症相对较高,严重影响小儿身体健康和生活质量 [2]。
病理学
支原体是最小(0.2-0.8μm)的能独立生存的“细菌”,但无真正的细胞壁。除了肺炎支原体,它们都是兼性厌氧生物。肺炎支原体是一种专性需氧生物,有一种特殊的末端结构,能够穿过患儿呼吸道黏膜纤毛层后黏附于患儿呼吸道上皮细胞表面,随后会进入细胞间隙,致使细胞受损,使支气管和细支气管的黏膜层遭到破坏,诱发上皮细胞肿胀、坏死、脱落,微绒毛运动停滞等,同时出现淋巴细胞、浆细胞浸润现象,肺泡壁也因为炎症细胞浸润而增厚。在肺炎支原体侵袭肺组织的过程中,肺炎支原体可刺激机体产生抗体,在呼吸道黏膜的抗体中以分泌型IgA为主。呼吸道黏膜IgA 可直接清除侵入呼吸道的微生物,从而减轻肺炎支原体对肺组织的损害。[3]
症状与体征
肺炎支原体肺炎在临床表现上和典型的肺炎类似,主要为发热、头晕头痛、干咳以及咽喉肿痛、脓性痰。不过,肺炎支原体肺炎患者通常还有上呼吸道症状(耳炎、大疱性鼓膜炎和轻微的非渗出性咽喉炎)。肺外症状,如不明原因的水样腹泻、血小板增多症、溶血症等也很常见。支原体肺炎冷凝集素试验和特定的补体结合抗原检测结果阳性就能确诊。活检显示淋巴细胞或中性粒细胞性细支气管炎,合并肺泡壁炎症和纤维素性渗出。
CT表现
1、单侧分布或双侧非对称性分布,小叶性小结节、分支状影,部分融合呈小斑片状影,或网格状影;重者呈大片状实变影;
2、病灶周围支气管壁间质增厚,支气管血管增粗,晚期可见支气管扩张;
3、部分病灶可以出现小空洞影;
4、肺门淋巴结增大,胸腔积液。
在免疫功能较强的轻症组,患儿胸部影像主要表现为支气管、血管周围浸润或沿肺纹理分布的小斑片状影;重症组患儿胸部影像则主要表现为大叶性实变为主的阴影,易合并肺门淋巴结肿大或胸腔积液。

上图:重症肺炎支原体肺炎,右上肺实变影。CT显示病灶呈片状影及条索状影,支气管间质明显增厚,并轻度支气管扩张。
张 敏.儿童重症肺炎支原 体肺炎的临床特点 及影像学表现分析[J].中国CT和MRI杂志.2020.18(2):37-39.

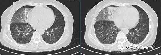
上图:左边病例:支原体肺炎,右侧肺炎,肺不张。
右边病例:两侧肺门影增大增浓。
病例来源:庄丽霞 张 芬.小儿肺炎支原体感染321例临床和影像学特点分析[J].福建医药杂志.2020.42(1):91-93.

上图注:来源《肺部CT精解》.原著 Kyung Soo Lee.Joungho Han. Man Pyo Chung.Yeon Joo Jeong.主审:许乙凯.王贵生.主译:吴元魁.蔡开灿。
支原体肺炎的 CT 检查结果特异性不高,临床诊断必须结合患者的具体表现进行鉴别诊断,尤其是结合支原体肺炎冷凝集素试验和特定的补体结合抗原检测结果。
成人的支原体肺炎注意与以下疾病鉴别:细菌性肺炎多为密度均匀的肺叶实变,浸润性肺结核常为不同浓度的片状阴影,炎症性支气管肺泡细胞癌常存在气腔实变影和磨玻璃密度影,此三种肺部病变的CT检查结果同支原体肺炎具有相似的影像学特征,平时工作中注意鉴别。

▲上图2021.-7.20检查右肺中叶大叶性肺炎,病灶大片实变影,内部支气管充气征,支气管充气征主要由支气管周围肺组织氧气含量降低、密度升高造成。

▲同上病例:经过治疗后,2020.8.6复查,肺内病变吸收减少,实变影中更多的支气管充气征。

▲BALT,肺炎型,实变影中见支气管充气征
病例来源:李梦杰 刘鹏发表于《临床肺科杂志》2019年12月《气管黏膜相关淋巴组织结外边缘区 B 细胞淋巴瘤 1 例报告》

上图:肺结核,肺内呈大片状实变影,支气管充气征及支气管播散,沿支气管束呈爬行分布。

▲胞内分枝杆菌肺病,右肺中叶支气管扩张,右肺下叶小叶中心结节
小结:
1.临床症状轻,影像重,形态多样化,磨玻璃、实变影、支气管充气征、间质增厚及胸腔积液、淋巴结增大。
2.病变波动大,吸收与复出交替
3.病程较长,常规抗炎效果不佳。
4.诊断:影像+结合支原体肺炎冷凝集素试验和特定的补体结合抗原检测结果。
参考文献:
[1] 曹建伟,郑铠军,冯淑芳,黄良锦,侯丽丽.小儿肺炎支原体肺炎临床特征及病情程度的相关因素[J].分子影像学杂志 ,2018,41(03):388-391.
[2] 卜小芳,孔占一,祁庆松,廖巧琴,王健.儿童肺炎支原体肺炎176例临床分析[J].广东医学,2018,39(S2):94-97.
[3]王超,赵志愿.不同影像学改变的肺炎支原体肺炎炎症指标、免疫状况的分析[J].影像研究与医学应用.2020.20(4):45-46
纵隔大细胞神经内分泌癌1例CT影像
张力性纵隔气肿影像表现及严重度分级
迅速增大的肺部结节,首先考虑良性,确诊需要肺穿
肺隔离症:易误诊为肺癌的占位性病变,肺穿刺禁忌!
肺段与肺内管道应用解剖
肺转移瘤的十种不典型CT表现
肺内淋巴结的CT表现特点及与病理对照
肺实变与肺不张的CT鉴别诊断
医生现身说法,这五种忙帮不得!
北大教授:要真正让医务人员有阳光体面的收入!医
为值夜班的医生护士鼓与呼:请给我们更多关注!
广东拟取消医院用药数量限制,满足患者多样性需求
博士、硕士入职就给精装房!又有医院不惜下血本招
历时7年之久,温医生宣判无罪!
重磅!四川发文:严禁限制医生多点执业
与真人医生诊断一致性达96%:AI医生应用前景广阔