似”肺炎”的肺结核

发布时间:2022-12-04   来源:未知    
×
织梦二维码生成器

肺炎、肺结核一般根据临床表现及影像资料可以区别,但结核渗出性病变,表现为肺内斑片状、小片状高密度影,可以表现为与普通肺炎所致的渗出性病灶无甚区别,详细采集病史与系列CT片的分析有利于鉴别诊断。

1
【CT表现】
以下肺结核表现容易与肺炎混淆:

 

(1)小斑片状影,尤其是起双肺下叶的斑片状影,与肺炎难以鉴别(网2-82)。

(2)大片状影内无空洞形成及无干酪灶的肺结核,还有明显的支气管空气征表现的、而且病灶周围没有卫星病灶的容易与肺炎混淆(图2-83—2-85)。

(3)局限性肺结核与局限性肺脓肿容易混淆(图2-86)。

 
似

 

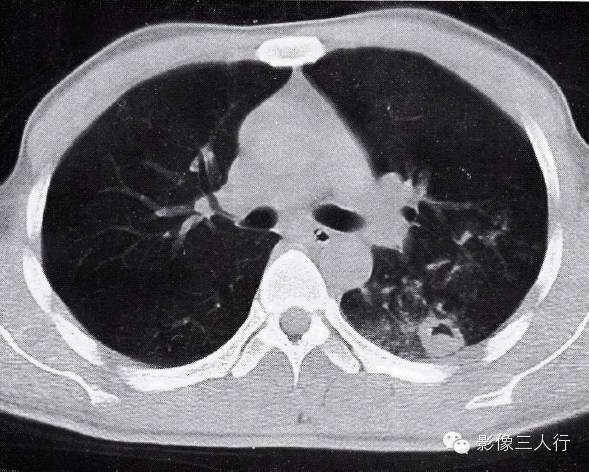
图2-82似肺炎的肺小斑片状结核

 

左肺下叶多发小斑状影,结节影,密度不均,边缘模糊

 

似

 

图2-83似肺炎的肺大片状结核

 

右肺中叶大片状影,密度不均,内有支气管空气征,边缘模糊

 

似

 

图2-84似肺炎的肺结核治疗后

 

与图2-83为同一患者,经抗结核治疗后2个月,原右肺上叶的片状影基本吸收

 

似

 

图2-85似肺炎的肺结核

 

双肺下叶大片状影,密度不均,内有支气管空气征,还有多发小点管腔影。边缘模糊,并有胸膜凹陷征

 

似

 

图2-86似肺炎的局限性结节型肺结核

 

右肺下叶见结节影,形态不规则,边缘欠清。周围有较淡的斑片状影

 

2
【鉴别诊断】
(1)需要仔细询问病史,肺结核常为低热、盗汗、痰血,病程长;肺炎常为高热、浓痰,病程短。

 

(2)依靠实验室检查,肺结核结核相关性检查阳性,肺炎白细胞增高。

(3)CT增强扫描结核稍有强化,肺炎可有明显强化。

(4)必要时抗感染治疗2—4周后CT复查来验证。

图说天下

医学图库
医学资讯
医学前沿
病例讨论