肺结核合并肺癌的CT表现及鉴别诊断

发布时间:2022-12-04   来源:未知    
×
织梦二维码生成器

肺结核合并肺癌据统计约占肺结核患者的7%~30%,在肺结核患者中肺癌发病率较非结核患者高1.5~2.5倍,表明有较高的发生率,应予以重视。

【病因】

(1)肺结核发生在中老年较多与肺癌的发生年龄重叠。

(2)有可能是在肺结核瘢痕基础上发生瘢痕癌。肺门淋巴结钙化,支气管结核,结核性支气管扩张等慢性炎症刺激形成癌变。

【临床表现】

多为肺结核的临床表现,咳痰,发热,胸闷、胸痛咯血,盗汗,胸水。可出现顽同性胸痛,持续性刺激性咳嗽。

【CT表现】

(1)肺结核合并肺癌的特点是:①肺结核与肺癌多在肺的同一侧;②肺癌包块影的边缘小点状钙化较多(图2-91,图2-92)。

(2)在大片状干酪病灶中出现结节影或包块影,可有明显分叶、短毛刺和包块内支气管巾断,边缘较清晰,增强扫描可有明显强化(图2-93)。常有胸膜凹陷征。癌性肿块多呈土豆状、树叶状或桑堪状,三分叶明显,有突起,常大于3cm。少钙化,且钙化多呈小点状。有空洞时常呈偏心、厚壁且内壁不光整。或者一侧明显肺结核表现,另一侧为包块影。有分叶、毛刺、血管聚集等表现(图2-94)(3)在长期稳定的结核病灶中,出现结节影或包块影,并在短期内明显增大。

(4)反复发生大量的胸腔积液,心包积液。胸膜呈结节样增厚,应考虑为结核合并肺癌。

(5)纵隔及肺门淋巴结明显肿大。判断纵隔淋巴结肿大是良性还是恶性或转移,除考虑到大小外,还应注意是否有融合、钙化,是否侵及或压迫周边器官,以及强化的情况综合判断,如比较大,又有融合、压迫,侵及其他器官,明显强化,应高度认为是转移。

(6)胸壁侵犯、肋骨破坏(图2-95)。

肺结核合并肺癌的CT表现及鉴别诊断

 

图2-91 肺结核合并肺癌
左肺上叶见多发小斑状影,密度不均,边缘模糊。其内有一结节影,箭头所指。肺穿刺为肺腺癌。肺癌在肺结核的病灶内
肺结核合并肺癌的CT表现及鉴别诊断

 

图2-92肺结核合并肺癌
与图2-91为同一患者的纵隔窗 左肺上叶结节影,周围还有小斑片状影,其内有小点状钙化影
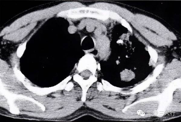
肺结核合并肺癌的CT表现及鉴别诊断

 

图2-93肺癌在肺结核病灶内
患者痰查结核杆菌阳性,左肺下叶斑片状影,密度较淡,边缘模糊,其内有包块影,大于3cm,有分叶,与胸膜紧贴,肺穿刺为肺鳞癌
肺结核合并肺癌的CT表现及鉴别诊断

 

图2-94肺结核合并肺癌
左肺下叶肺结核,斑状影,条索状影,内有结节影,肺穿刺为腺癌 在肺不张时见支气管阻塞,肺门区出现肿块而且肺门区出现支气管腔内外融合成一体的肿块,腔内与腔外部分呈一致性强化。肺不张内无明显空洞及扩张的支气管影。
肺结核合并肺癌的CT表现及鉴别诊断

 

图2-95肺结核合并肺癌
 

双肺上叶见肺结核空洞形成,右肺上叶还有包块影,紧贴前胸壁软组织肿胀,并有肋骨前端骨质破坏。肺穿刺为肺鳞癌

【鉴别诊断】

在双肺结核的基础上又有以下表现的应考虑为合并有肺癌可能:

(1)原因不明的刺激性咳嗽,咯血痰。局限性持续性胸痛。

(2)同一部位反复发作或久治不愈的肺炎或兼有肺门增大者。

(3)肺结核病灶内出现结节或肿块影,呈分叶、切迹、细毛刺状,短期内增大。

(4)肺不张时见肺门肿块,伴有明显强化。

(5)纵隔肺门淋巴结明显肿大。多而且有融合、压迫、侵及其他器官、明显强化,应高度认为是转移。

(6)血性胸腔积液,量多,生长迅速。

图说天下

医学图库
医学资讯
医学前沿
病例讨论