【病史】男性,缺氧性改变。
胸部正位片

问题1.下述哪项为此片的最佳表述?
A.张力性气胸
B.充血性心力衰竭
C.双肺基底部肺泡透光度减低
D.大量胸腔积液
E.心脏内异物
【答案】1.C注释:主要表现为双肺基底部肺泡透光度减低,边界模糊。
追加临床病史:进一步检查发现此患者患有急性粒细胞白血病并全血细胞减少。
CT检查




问题2.此患者应诊断为?
A.卡氏肺囊虫肺炎
B.侵袭性曲霉菌病
C.感染性栓塞
D.肺出血
E.药物反应
【答案】2.D注释:支气管肺泡灌洗示肺出血,无合并性感染。
【影像学改变】
胸片示双肺肺泡性病变,主要为基底部肺泡性疾病或渗出。
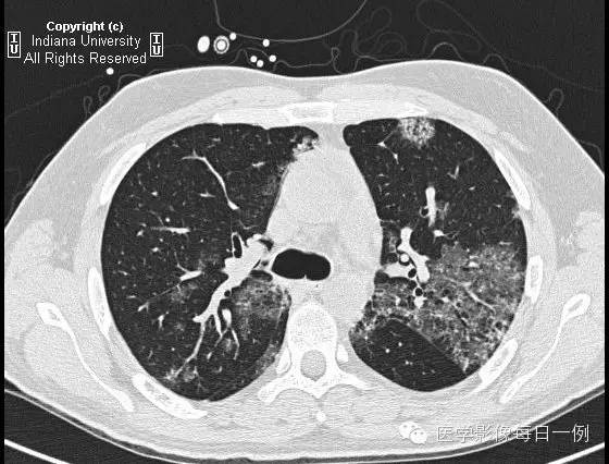
胸部CT示弥漫性肺泡透光度减低,主要位于右肺下叶和左肺上叶,呈铺路石样改变。胸膜无渗出。
【鉴别诊断】(铺路石征)
卡氏肺囊虫肺炎
肺水肿
肺泡蛋白沉积症
肺泡性出血
【诊断】Alveolar hemorrhage
肺泡性出血
【关键点】
【可致肺出血的病因】
纵隔大细胞神经内分泌癌1例CT影像
张力性纵隔气肿影像表现及严重度分级
迅速增大的肺部结节,首先考虑良性,确诊需要肺穿
肺隔离症:易误诊为肺癌的占位性病变,肺穿刺禁忌!
肺段与肺内管道应用解剖
肺转移瘤的十种不典型CT表现
肺内淋巴结的CT表现特点及与病理对照
肺实变与肺不张的CT鉴别诊断
医生现身说法,这五种忙帮不得!
北大教授:要真正让医务人员有阳光体面的收入!医
为值夜班的医生护士鼓与呼:请给我们更多关注!
广东拟取消医院用药数量限制,满足患者多样性需求
博士、硕士入职就给精装房!又有医院不惜下血本招
历时7年之久,温医生宣判无罪!
重磅!四川发文:严禁限制医生多点执业
与真人医生诊断一致性达96%:AI医生应用前景广阔