[病程描述]
男,59岁,咳血待查。




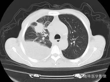
[影像描述]
CT: 右侧胸廓缩小。右肺上叶前段结节,略分叶,可见长短不一毛刺,胸膜牵拉征及血管集束征,右肺组织向肺门萎陷,左肺清晰,未见异常。纵隔内见淋巴结肿大(4R淋巴结增大)。右侧前壁及侧后胸壁包裹性积液征象。
[检查结果]
右上肺周围型肺癌,纵隔淋巴结转移,胸膜腔包裹性积液。
[讨论]
周围型肺癌CT表现
1)肿瘤的边缘多有毛刺症状或者棘突影像。毛刺症状多为肿瘤组织向肺外正常组织伸出的细长、无分支的短线条影像,CT所有层面都能发现,而且近肺门部更加清晰。
2)多数患者肺部病变组织均匀,当肿瘤内部出现坏死症状,CT影像会出现空洞及钙化影。CT显影钙化灶多成斑点状或结节状。
3)空泡征是肺癌典型的CT影像,肿瘤直径小于3cm时,瘤体中央会出现多个1-2mm大小的点状低密度影,或多个影像融合。同时伴有纵隔、胸膜的转移,本例CT上可见4R淋巴结增大,胸膜腔包裹性积液。
纵隔大细胞神经内分泌癌1例CT影像
张力性纵隔气肿影像表现及严重度分级
迅速增大的肺部结节,首先考虑良性,确诊需要肺穿
肺隔离症:易误诊为肺癌的占位性病变,肺穿刺禁忌!
肺段与肺内管道应用解剖
肺转移瘤的十种不典型CT表现
肺内淋巴结的CT表现特点及与病理对照
肺实变与肺不张的CT鉴别诊断
医生现身说法,这五种忙帮不得!
北大教授:要真正让医务人员有阳光体面的收入!医
为值夜班的医生护士鼓与呼:请给我们更多关注!
广东拟取消医院用药数量限制,满足患者多样性需求
博士、硕士入职就给精装房!又有医院不惜下血本招
历时7年之久,温医生宣判无罪!
重磅!四川发文:严禁限制医生多点执业
与真人医生诊断一致性达96%:AI医生应用前景广阔