








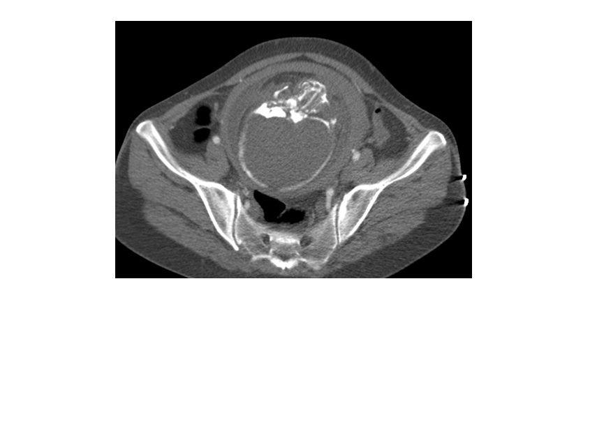
CT表现:自主动脉根部起至腹主动脉肾动脉水平可见撕裂之动脉内膜瓣影,子宫腔内可见胎儿影。
诊断结果:妊娠合并主动脉夹层(I型)。
主动脉夹层是心血管疾病中的高危重症,发病突然,进展迅速,24h病死率达25%,1年的病死率高达90%。
主动脉夹层的危险因素有二:
(—)主动脉壁压力增加:未受控制的高血压、嗜络细胞瘤、服用可卡因或其他兴奋剂、举重或做Valsalva动作、外伤、减速或扭转损伤(如:汽车相撞时)、主动脉缩窄;
(二)主动脉中层异常:遗传: Marfan综合征、Ehlers-Danlos综合征、二叶式主动脉瓣、Turner综合征、 Loeys-Dietz综合征、遗传性胸主动脉瘤或夹层综合征炎性血管炎: 大动脉炎、巨细胞性动脉炎、Behçet病
其他: 妊娠、多囊性肾病、长期使用激素或免疫抑制剂、感染。
DeBakey分型: I型、II型和III型
I型累及升主动脉、主动脉弓及降主动脉;
II型只累及升主动脉
III型累及左锁骨下动脉以远的降主动脉。

CT平扫:内膜瓣钙化内移常可提示诊断,内膜钙化从主动脉壁外缘内移5mm以上具有诊断价值。可见主动脉局限性及广泛性增宽,或伴发有心包积液、胸腔积液等。
CTA的表现:
1、撕裂的内膜瓣:多表现为弯曲的线样低密度影,部分患者可见多个破口,内膜漂浮在管腔中。
2、破口的显示:表现为真腔和假腔之间沟通的管道,薄层的横断图像,,多平面重组技术有助于破口的显示,有时因血栓的形成或撕裂情况复杂显示困难。
3、真、假腔的显示:真假腔可同时显影,或假腔强化和排空比真腔延迟;假腔内常有血栓形成可呈略高密度影,当多个破口存在时,真假腔较难区分。一般情况下假腔较大,真腔较小。
4、受累分支及范围:确认分支血管供血状况,观察主要器官的供血血管是发自真腔还是假腔。
显示冠状动脉、头臂动脉、腹腔内脏器动脉及髂动脉起源于真或假腔、是否受压推移。如果受夹层累及,可见内膜片线状充盈缺损影自血管开口处伸入分支血管腔内。
5、主动脉夹层渗漏或破裂:Ⅰ、Ⅱ型夹层常破入心包,呈心包积液表现,积液密度较高。破入胸腔,出现单或双侧胸腔积液。破入纵隔或腹膜后,出现纵隔或腹膜后出血征像。部分夹层假腔外穿形成假性动脉瘤,以弓部多见。
6、观察主动脉夹层是否压迫气管、食管及上腔静脉等。
纵隔大细胞神经内分泌癌1例CT影像
张力性纵隔气肿影像表现及严重度分级
迅速增大的肺部结节,首先考虑良性,确诊需要肺穿
肺隔离症:易误诊为肺癌的占位性病变,肺穿刺禁忌!
肺段与肺内管道应用解剖
肺转移瘤的十种不典型CT表现
肺内淋巴结的CT表现特点及与病理对照
肺实变与肺不张的CT鉴别诊断
医生现身说法,这五种忙帮不得!
北大教授:要真正让医务人员有阳光体面的收入!医
为值夜班的医生护士鼓与呼:请给我们更多关注!
广东拟取消医院用药数量限制,满足患者多样性需求
博士、硕士入职就给精装房!又有医院不惜下血本招
历时7年之久,温医生宣判无罪!
重磅!四川发文:严禁限制医生多点执业
与真人医生诊断一致性达96%:AI医生应用前景广阔