24岁,女性,腹痛渐加重并呕吐。
患者系顺产后18天产妇,产后感觉腹部疼痛不适,自认为正常反应,近两日因胸闷、腹部疼痛加剧伴呕吐来院就诊。
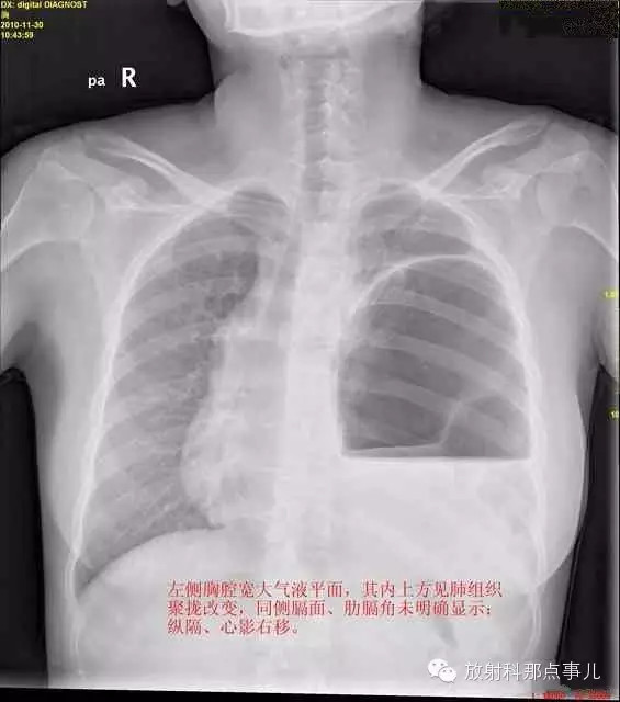
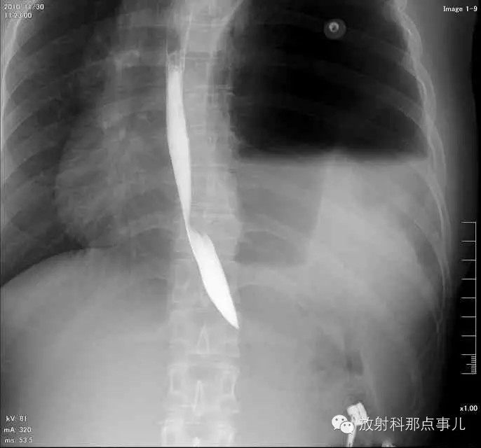
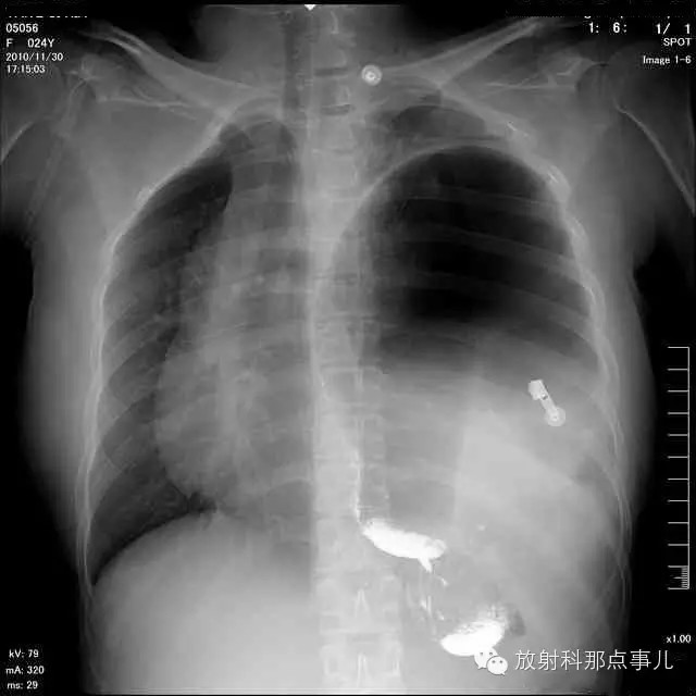
门诊腹部透视发现左侧胸腔巨大气液平面,为排除膈疝口服钡剂,但造影剂未见进入胃内。嘱住院,外科给予胃肠减压、补液等处理常规处理(未引流出明显气、液体)。5个半小时后再次检查,见少量造影剂进入消化道;为进一步了解情况,予泛影葡胺分别经胃管推注及口服,但均未进入胃内。当天进行外科急诊手术。




更正:检查时间在左上方。















大部分胃、脾及横结肠均经过胸肋三角疝入左侧胸腔内,并见疝环形成。
考虑该患者因生产过程中腹压急剧升高,导致腹内脏器经膈肌缺损或薄弱部位进入胸腔内。
膈疝分类不一,可按有无疝囊分真疝与假疝,但一般按有无创伤史把膈疝分为外伤性膈疝与非外伤性膈疝,后者又可分为先天性与后天性两类。非外伤性膈疝中最常见者为食管裂孔疝、胸腹裂孔疝、胸骨旁疝和膈缺如等。
膈疝症状轻重不一,主要决定于疝入胸内的腹腔脏器容量、脏器功能障碍的程度和胸内压力增加对呼吸循环机能障碍的程度,但大致可以分为两大类:
(一)腹腔内脏器疝入胸内而发生的功能变化如饭后饱胀、嗳气、上腹部或胸骨后烧灼感和反酸,这由于贲门机制消失后胃酸反流至食管引起食管粘膜炎症或食管溃疡,严重时甚至可出现呕血和吞咽困难。胃肠道部分梗阻可产生恶心呕吐和腹胀,严重时发生肠胃道完全性梗阻或绞窄性梗阻时出现呕血、便血、腹痛和腹胀,甚至脏器坏死、穿孔呈现休克状态。
(二)胸内脏器因受压而引起呼吸循环功能障碍腹腔脏器疝入胸内患侧肺受压和心脏被推向对侧,轻者病人说话胸闷、气急,重者可出现呼吸困难、心率加快和紫绀。
由于腹腔脏器异位进入胸腔,可以改变胸腔内的负压状态,压迫肺组织,导致纵隔移位,急性者可引起明显的急性呼吸困难,低氧血症等,严重者常致死。慢性者可以没有明显的临床表现而仅表现为纵隔肿物,部分可导致肠梗阻,肠绞窄而出现症状。
创伤性膈疝病人症状较为严重。除胸部外伤症状外,尚可伴有腹内脏器破裂引起出血、穿孔和胸腹腔严重污染。左膈肌破裂,膈下脏器可通过膈裂口疝入胸腔,引起胸部剧痛,并可放射至同侧肩部和上臂部,有时有上腹部疼痛或腹肌紧张。由于疝入胸内脏器的占位,压迫肺组织和心脏,纵隔向对侧移位,使肺容量明显减少,病人出现气急和呼吸困难,严重时有紫绀,心脏移位使大静脉回心血流受阻,心搏出量减小,引起心率加快、血压下降,甚至导致休克状态。如疝入胸内脏器发生梗阻或绞窄时,可出现腹痛、腹胀、恶心呕吐和呕血便血等梗阻症状,严重者可引起中毒性休克。体格检查发现患侧胸部叩诊呈浊音或鼓音,呼吸减弱或消失,有时可听到肠鸣音。
先天性膈疝主要按疝的位置、大小、疝的内容物和疝入胸内脏器功能的变化而异。胸骨旁裂孔疝因裂孔较小,常在成年后才出现症状,主要表现为上腹部隐痛、饱胀不适、食欲不振、消化不良、间歇性便秘和腹胀,上述症状易被忽视而误诊为消化道疾病,偶尔X线检查时,可发现胸骨后存在胃泡和肠曲阴影而被确诊。如疝入小肠或结肠发生嵌顿,则可产生急性肠梗阻或肠绞窄的临床症状。
膈疝的形成除先天性膈肌融合部缺损和薄弱点外,还与下列因素有关:
①胸腹腔内的压力差异和腹内脏器的活动度;各种引起腹内压力增高的因素如弯腰、排便困难和怀孕等均可促使腹内脏器经膈肌缺损和薄弱部进入胸内。
②随着年龄增长,膈肌肌张力减退和食管韧带松弛,使食管裂孔扩大,贲站或胃体可以经过扩大的食管裂孔突入后纵隔。
③胸部外伤尤其胸腹联合伤引起膈肌破裂。
纵隔大细胞神经内分泌癌1例CT影像
张力性纵隔气肿影像表现及严重度分级
迅速增大的肺部结节,首先考虑良性,确诊需要肺穿
肺隔离症:易误诊为肺癌的占位性病变,肺穿刺禁忌!
肺段与肺内管道应用解剖
肺转移瘤的十种不典型CT表现
肺内淋巴结的CT表现特点及与病理对照
肺实变与肺不张的CT鉴别诊断
医生现身说法,这五种忙帮不得!
北大教授:要真正让医务人员有阳光体面的收入!医
为值夜班的医生护士鼓与呼:请给我们更多关注!
广东拟取消医院用药数量限制,满足患者多样性需求
博士、硕士入职就给精装房!又有医院不惜下血本招
历时7年之久,温医生宣判无罪!
重磅!四川发文:严禁限制医生多点执业
与真人医生诊断一致性达96%:AI医生应用前景广阔