



结果:***医院,查C-ANCA阳性,肾穿病理报告:符合ANCA相关性血管炎,新月体形成(100%),阶段性坏死。临床诊断ANCA相关性血管炎,韦格纳肉芽肿
病例小结:韦格纳肉芽肿(Wegener)是一种原因不明的少见病,基本病理特征是坏死性血管炎,主要累及小动脉和小静脉,血管壁发生纤维素样变性、肌层及弹力纤维被破坏。
抗中性粒细胞胞浆抗体(antineutrophilcytoplasmicantibodies,ANCA)在血管炎发病机制中起重要作用。 C-ANCA是诊断多发性肉芽肿非常敏感的指标 . 本病可分为全身性和局限性,是病变发展过程的不同阶段,好发于鼻窦、鼻咽、支气管、肺及肾脏。
上、下呼吸道肉芽肿、肾小球局灶或弥漫性肾炎、广泛坏死性血管炎,被称为该病的三联征。
韦格纳肉芽的诊断标准采用1990年美国风湿病学院(ACR)分类标准:1.鼻或口腔炎症 痛性或无痛性口腔溃疡,脓性或血性鼻腔分泌物
2.胸片异常 胸片示结节、固定浸润病灶或空洞
3.尿沉渣异常 镜下血尿(RBC>5/高倍视野)或出现红细胞管型
4.病理性肉芽肿性炎性改变 动脉壁或动脉周围,或血管(动脉或微动脉)外区有中性粒细胞浸润
符合2条或2条以上时可诊断为WG,诊断的敏感性和特异性分别为88.2%和92.0%。
临床表现:发病年龄在10-70岁,以中青年男性多见,一般起病缓慢,但也有急性起病。鼻塞、脓鼻涕常为早期症状,85%有此症状,容易误诊为副鼻窦炎、鼻炎、鼻咽癌。咳嗽、血痰、胸痛及呼吸急促是肺部受累常见症状,发热是全身症状,累及肾脏时,开始呈隐匿性,后期出现肾功能衰竭。皮肤损害好发于四肢、可表现为紫癜性水泡、结节、溃疡和肿块。
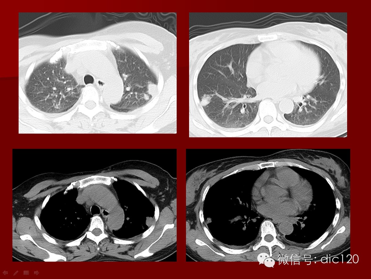
本病影像肺内表现特征:1)结节、球形肿块及空洞:病灶可单发也可多发,病灶多见于两肺下叶,也可位于肺尖,且肺外带好发,2/3病例球形肿块内出现空洞,洞壁较厚、不规则,其中可见液平,用免疫抑制剂及肾上腺皮质激素治疗,病灶可缩小或消失,病情恶化时可出现新病灶。斑片状影:较为少见,为肺血管炎引起的肺出血和肺梗死,合并炎症也可出现,病灶较大可占据一个肺段,病灶可在1~2周内缩小或消失,但又可出现新的病灶。
纵隔大细胞神经内分泌癌1例CT影像
张力性纵隔气肿影像表现及严重度分级
迅速增大的肺部结节,首先考虑良性,确诊需要肺穿
肺隔离症:易误诊为肺癌的占位性病变,肺穿刺禁忌!
肺段与肺内管道应用解剖
肺转移瘤的十种不典型CT表现
肺内淋巴结的CT表现特点及与病理对照
肺实变与肺不张的CT鉴别诊断
医生现身说法,这五种忙帮不得!
北大教授:要真正让医务人员有阳光体面的收入!医
为值夜班的医生护士鼓与呼:请给我们更多关注!
广东拟取消医院用药数量限制,满足患者多样性需求
博士、硕士入职就给精装房!又有医院不惜下血本招
历时7年之久,温医生宣判无罪!
重磅!四川发文:严禁限制医生多点执业
与真人医生诊断一致性达96%:AI医生应用前景广阔