


影像资料

















精选留言

讨论实录
放射小白
老年女性,发热起病,两肺散在斑片状影,三个月后两肺病灶进展,支气管血管束增厚,结合发热病史、实验室检查LCH增高,肾脏及腹膜后淋巴结肿大,结合以上综合考虑符合淋巴瘤表现。
joyzhy
老年女性 3个月前发热,双肺支气管血管束增粗改变。3个月后再次发热,影像见双肺广泛支气管血管束明显增粗,较前进展,并延续进入纵隔,另外增强见双肾周增多软组织密度,左肾明显且肾门处形成肿块样改变。综合考虑肿瘤性病变可能性大,1.小圆细胞肿瘤类病变,淋巴瘤?2 全身组织细胞类病变,如ECD,需要看看骨组织有无问题。3 左肾恶性肿瘤并淋巴道播散,如弥漫性尿路上皮癌。最后考虑 淋巴瘤>ECD>左肾恶性肿瘤并转移。
红日初升
老年女性,发热,白细胞不高,CRP增高,LDH增高,糖尿病。两肺支气管血管束周围实变、GGO,支气管相对通畅,提示淋巴间质或血管来源。三个月明显进展伴双肾浸润性病变、腹膜后淋巴结肿大,轻-中等程度强化。考虑淋巴瘤,鉴别系统性疾病(IgD4、血管炎)。
刘丹
老年女性,双肺支气管管壁增厚,沿血管束走形分布结节及斑片影,复查病灶增多增大,部分呈点晕征改变,腹部左肾盂软组织密度影,周边淋巴结增大。考虑肿瘤并肺内转移,淋巴瘤?鉴别真菌感染,曲霉菌?
一切∮随缘
女性,82岁,发热5天入院,双肺自肺门处血管束增粗,扭曲,三个月后多发结节及实变影,延支气管血管束分布,部分支气管近端堵塞,左肾异常占位?伴有双侧肾上腺增粗,实验室血象略高,考虑IgG4?结节病?淋巴瘤?进一步穿刺活检。
若晗
老年女性i反复发热,右下肺背段病灶伴左肾脓肿!考虑感染性可能性大!TB先!非感染性淋巴瘤可能
洪桥爱
82岁女性,反复发热入院,查外周血白细胞升高,抗生素治疗可缓解,支持细菌感染性发热,结合肾脏肿瘤,考虑泌尿系感染发热;CT提示双肺多发毛玻璃影,右下肺多发大结节影,3月复查,双上肺毛玻璃影/混合毛玻璃影增多,部分呈点晕征,右下肺多发肿块,可见支气管穿行,双下肺中轴间质增厚,左肾占位,肺部病变考虑:1.淋巴瘤 2.肾癌肺转移
蔡磊
右肺下叶近胸膜面多个实性结节,复查体积明显增大,多个新增实性及混合磨玻璃结节,边缘晕征,左肾及肾上腺占位,考虑囊性肾癌肺内、肾上腺转移。
King
右肾肾上腺,左肾及肾周软组织,脾脏可疑病变,双肺结节斑片支气管血管束叶间裂分布。一元考虑大B淋巴瘤多器官浸润。鉴别小细胞,尿路上皮癌转移,igg4
段建民
老年女性,近期反复的发热,胸部CT基础尚可,心影增大,双肺下叶血管束增粗,3个月后复查 提示双肺多发磨玻璃密度影,并有磨玻璃影内部血管的穿行,双肺下叶血管束的增粗,纵隔窗下未见纵隔肿大的淋巴结,血管通畅,未见血管壁的增厚,左肾肿瘤?肺内病变不符合支气管束分布,暂不考虑吸入性,考虑淋巴管或血管源性病变。总体考虑非感染性病变可能性大,血管炎?淋巴瘤?
经典分析
傅昌瑜
老年女性,三月来两次发热,第一次白细胞计数升高、贫血。第二次白细胞计数不高,LDH升高、低蛋白血症。肺内进行性增多的结节及斑片影,结节见点晕征,斑片影位于支气管血管束,部分支气管壁外见边界模糊的斑片影。有左肾病变。考虑血管炎可能性大。(诊断关键点可能是:点晕征 支气管血管束的斑片影 肾脏病变 第二次发热但白细胞计数不高)



点晕征疾病谱:
1.肿瘤
血管原发肿瘤:血管肉瘤(右房)、上皮样血管内皮瘤、血管内淋巴瘤(大B)
转移瘤:消化生殖系统转移,关注绒癌、恶黑、肠癌
2.感染
真菌:荚膜组织胞浆菌
病毒:疱疹病毒
结核
3.血管炎
4.寄生虫病
5.PCH/PVOD
南边
支持淋巴瘤;恶性首选
升结肠应该也有问题,腹膜后也是多发的肿大淋巴结,肾上腺也受累,中轴间质的增厚,我始终觉得是增生性病变,支气管也没有扩张,它有占位效应,还有些磨玻璃边界偏清,这个中轴间质伴增生性病变这是个关键。
结果:弥漫大B淋巴瘤
病例点评
老年女性患者,发热就医,两肺片状影,沿支气管血管束分布,炎性指标升高,糖尿病基础,首诊考虑肺部感染合乎情理,这也是常见病!事实上,患者抗感染治疗好转出院。
三月后患者再次因发热就医,病灶在“原址”基础之上范围扩大,病灶增多(而非此起彼伏),就有些不同寻常,仅如此高龄,如此大范围感染,持续三月之久?太难以想象。
两肺多发病灶,沿支气管血管束分布,缺乏多形性特点,始终未见空洞,没有此起彼伏,没有其他旁证,血管炎的诊断似乎缺乏支撑。
恶性肿瘤自然会纳入视野,如“肺炎型肺癌”(如粘液腺癌、腺癌),转移癌,淋巴瘤(包括淋巴瘤样肉芽肿)等等,有些病灶可以进展比较快。“肺炎型肺癌”、淋巴瘤等病灶常见支气管穿行,来自泌尿系统的透明细胞癌的转移也常常可以气道相关。
如果说两肺病变生就一张“大众脸”,但腹部异常影像却带给我们一些重要线索! 双肾病变变现为浸润性累及肾周、延及深静脉,而非典型膨胀性,低密度少血供,腹膜后肿大的淋巴结同样强化不明显,这些都符合典型的浸润性肾淋巴瘤的影像表现。注意患者肾上腺低密度结节影及脾脏多发结节影,脾脏恶性肿瘤尤以淋巴瘤最为常见!
结合肺部的分析,临床LDH升高等,我们有理由怀疑其全身系统性疾病—“淋巴瘤”。
淋巴瘤从原发到继发肺浸润,不光可以是表现为典型的大片实变、肿块、结节,还可表现为肺间质的弥漫性浸润、或者散在的斑片影、粟粒样的改变,到单纯围绕中轴间质的增生性改变等等,可以说是变化莫测、扑朔迷离,这给我们的诊断带来很多的困惑和迷茫,但是从点到面再从全身回到肺部,间接的临床影像信息也会给我们带来决定性意义的证据!
复习肺淋巴瘤的影像表现
肺淋巴瘤的影像学表现
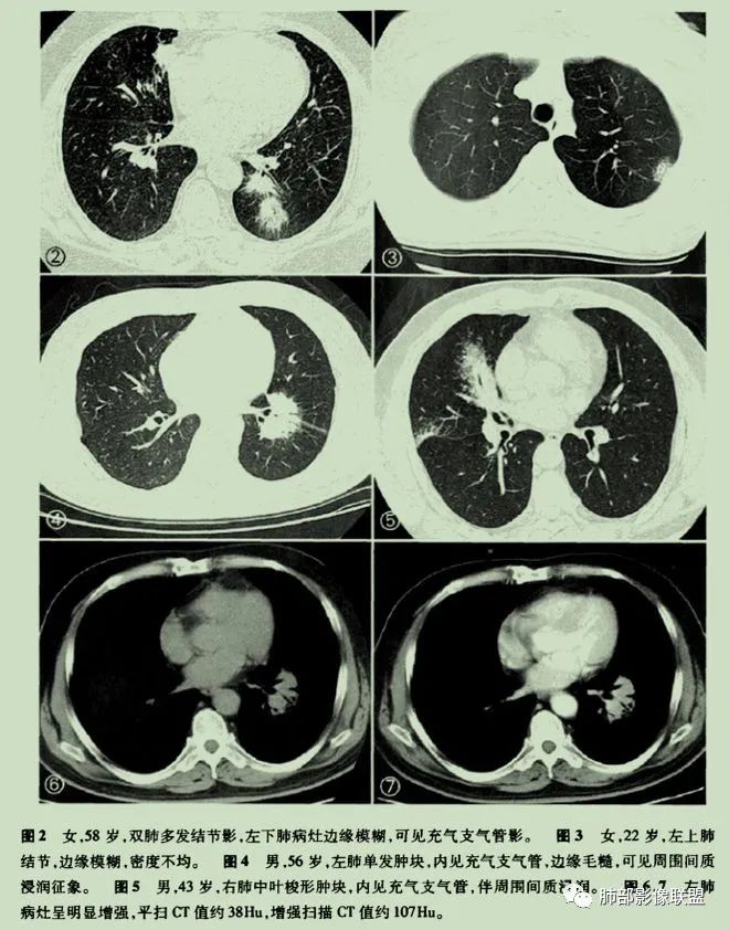
原发性肺淋巴瘤是一种影响肺部的单克隆淋巴样增生,患者在最初诊断后至少 3个月内没有可检测到的胸外淋巴瘤。原发性肺淋巴瘤很少见,占所有原发性肺肿瘤的 0.5%。原发性肺部受累的淋巴组织增生性疾病包括黏膜相关淋巴组织起源的结外边缘区淋巴瘤(MALT)、弥漫性大 B 细胞淋巴瘤(DLBCL)和淋巴瘤样肉芽肿(LYG)。MALT淋巴瘤是一种低级别B淋巴细胞淋巴瘤,由具有局灶性浆细胞样特征的单调小淋巴细胞组成。它们由沿远端支气管和细支气管分布的上皮下淋巴滤泡组成。肿瘤可能有许多关联,其中包括:干燥综合征、异常丙种球蛋白血症、淀粉样蛋白沉积、胶原血管病、幽门螺杆菌感染和艾滋病等。其影像学表现复杂多变,通常表现为孤立的、界限清楚的软组织肿块。不太常见的成像特征包括:多个单侧或双侧结节沿支气管血管束和小叶间隔弥漫性浸润、广泛的肺叶浸润、模拟实变(肺炎)、伴有空气支气管征或磨玻璃样改变。这些由外淋巴结节、间隔和支气管血管周围增厚组成的间质模式看起来与癌性淋巴管炎或结节病所见的相同。

中央淋巴道分布(支气管血管束分布)外周淋巴道分布(小叶间隔和胸膜下分布)


肺淋巴瘤表现多种多样。可表现为多发小结节!

有时表现为渗出性病变、肿块!

或实变+结节!

抗感染无好转的空气支气管征要警惕肺淋巴瘤。

或表现为网格状阴影,少数不典型的患者表现为弥漫性磨玻璃阴影。

有时候诊断不容易,可酷似肺炎!

或酷似肺癌!

注意:
①低度恶性的病变可以浸润肺间质但不破坏支气管结构。
②恶性程度较高、生长较快的病变可出现中心液化坏死、空洞。
③除非合并感染或曾经治疗,病变一般不会出现钙化。
④20%的患者出现胸腔积液、肺门或纵隔淋巴结肿大。
⑤少见表现为间质性病变及肺不张等。
⑥CT引导下肺穿刺和支气管镜检查确诊率低。支气管镜检查及CT引导下经皮肺活检对该病诊断有一定提示作用,确诊常需要外科肺活检。
⑦内乳淋巴结肿大 (下图) 高度提示肺淋巴瘤。假如患者没有乳腺癌,内乳淋巴结肿大高度提示淋巴瘤,其他疾病引起内乳淋巴结肿大不常见,结节病、肝癌、恶性胸腺瘤偶有报道。

小结:
胸部CT识别肺淋巴瘤不容易,但是其病理分布和影像学特点具有一定特征性,有时很多线索具有提示作用:病灶呈实变或结节、肿块,有空气支气管征,腋窝淋巴结肿大,内乳淋巴结肿大,脾脏肿大等。
纵隔大细胞神经内分泌癌1例CT影像
张力性纵隔气肿影像表现及严重度分级
迅速增大的肺部结节,首先考虑良性,确诊需要肺穿
肺隔离症:易误诊为肺癌的占位性病变,肺穿刺禁忌!
肺段与肺内管道应用解剖
肺转移瘤的十种不典型CT表现
肺内淋巴结的CT表现特点及与病理对照
肺实变与肺不张的CT鉴别诊断
医生现身说法,这五种忙帮不得!
北大教授:要真正让医务人员有阳光体面的收入!医
为值夜班的医生护士鼓与呼:请给我们更多关注!
广东拟取消医院用药数量限制,满足患者多样性需求
博士、硕士入职就给精装房!又有医院不惜下血本招
历时7年之久,温医生宣判无罪!
重磅!四川发文:严禁限制医生多点执业
与真人医生诊断一致性达96%:AI医生应用前景广阔