























微信群讨论分析
doctor:
摘星空竹子:
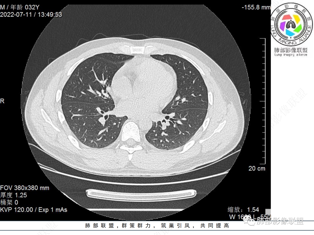
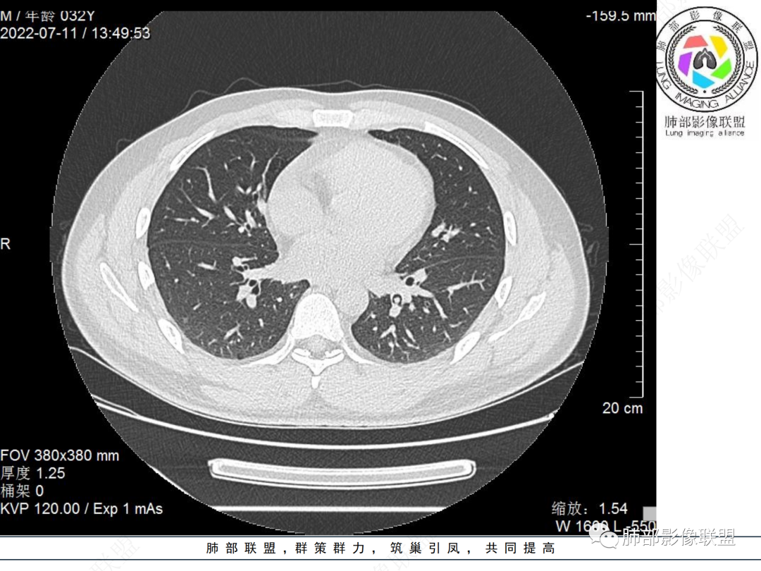
左肺下叶后基底段开口处结节,边缘光滑清楚,没有增强扫描,年轻男性患者痰血三天,考虑1.良性病变:腺瘤、错构瘤、平滑肌瘤
2.恶性:类癌、粘液表皮样癌。
秦化君:
左肺下叶外后基底段气管内见结节状影,边缘部分清晰。考虑错构瘤,待排恶性病变。
藏客:
左肺下叶气管内外占位病变,咯血病史,考虑类癌,粘表待排。
宇宙:
青年男性,左肺下叶后基底段支气管开口软组织结节,边缘光整,气管镜提示质软,易出血,考虑类癌
良孑:
左肺下叶后基底段开口处结节,边缘光滑清楚,年轻患者考虑鳞癌或腺样囊腺癌
金豆:
左肺下叶气道腔内占位,远端无花花草草,疾病谱:鳞,类癌,粘表,腺样囊腺癌,小,无增强,不好判断,临床咯血,选类癌。
由零开始:
大支气管腔内结节,考虑类癌
龚小萌:
左肺下叶后基底段开口处结节影,边缘光滑,患者年龄较小,首选类癌
邢瑞欣:
男性,咳血左肺下叶支气管腔内结节影,没有阻塞性炎症,考虑类癌,鳞癌
春秋.:
年轻男性,支气管内结节,首先类癌
谢加平:
左肺下叶后基底段开口处腔内见壁结节,花生米样,宽基底,补充增强及矢状位重建,确定我无向壁外突破浸润生长,另见强化的特点,临床触之易出血,类Ca可能性大。
若晗:
年轻男性,支气管腔内占位,边缘尚平整,年轻人,首先类癌,鉴别错构
放射线:
年轻男性,咳血,左肺下叶后基底段支气管腔内结节,边缘光滑,首先考虑青年三件套,类癌大于粘液表皮样癌,支气管镜质软,触之易出血,鉴别血管瘤,平滑肌瘤
蔡磊:
左肺下叶后基底段开口部结节,密度较均匀一致,边缘较光整,目测密度偏低,支气管镜示:质软、触之易出血,考虑恶性,类癌。
枷黎:
支气管腔内结节,有蒂与支气管壁连接,考虑良性病变可能性大,支气管错构瘤 血管瘤一类的
位移:
左肺下叶后基底段支气管腔内结节,有蒂,容易出血,先考虑良性病变,肉芽组织型血管瘤,与类癌鉴别。
梦妮6-1:
青年男性,左肺下叶后基底段支气管开口软组织结节,边缘光整,气管镜提示质软,易出血,考虑恶性类癌
蓝气球杨:
左肺下叶后基底段开口处结节影,边缘光整,年轻患者,伴咯血,考虑鳞癌,类癌不能排除
病例结果

知识拓展
肺炎性肌纤维母细胞瘤是一种多发生于肺的间叶性肿瘤,以往临床将称为炎性假瘤、浆细胞肉芽肿、炎症性纤维肉瘤及组织细胞炎性假瘤等。2002年世界卫生组织(WHO)软组织肿瘤国际组织学分类专家组建议将其命名为炎性肌纤维母细胞瘤(Inflammatory myofibroblastic tumor,IMT),定义为“由分化的肌纤维母细胞性梭形细胞组成的,常伴大量浆细胞和/或淋巴细胞的一种肿瘤”。文献报道IMT的发病机制可能与病毒和支原体感染有关,表现为机体对炎症的一种异常或过度反应。最终激活具有增殖潜能的肌纤维母细胞过度增生或失控增长而形成。肺IMT较为常见,IMT是16岁以下儿童最常见的原发性肺肿瘤,占儿童肺良性肺肿瘤的50%。大多数报告病例都在40岁以下。
约50%-60%的病人无症状,多由体检发现肺部占位病变。
IMT常表现为边缘清晰的周围型结节或肿块,一般体积相对较大。大约10%-20%发生于支气管及气管腔内,表现为中央型病变,一般为单发。IMT胸部CT显示90%为单发结节或肿块。
IMT的影像表现缺乏特异性。部分肿块表现为桃尖征和边缘平直征,界限可清晰有分叶状轮廓,也可界限模糊具有粗长毛刺。肺IMT的CT表现特征与病理具有相关性,可伴有囊变、局灶性钙化、肺实变和空洞样表现。CT增强扫描呈多样性,强化形态和CT值增加幅度呈多样性。粘液血管型增强CT实性成分呈明显花环样强化,静脉期强化进一步增高,此与毛细血管增生与血管管壁通透性增加有关。囊性低密度无强化区镜下为黏液样变形、炎性渗出或坏死。梭形细胞密集型增强扫描呈渐进性延迟强化特点,但强化程度弱于黏液血管型。少细胞纤维型增强扫描实性成分强化不明显或呈轻中度强化。PET/CT上IMT具有很高的SUV值。IMT高摄取的可能原因可能与激烈炎症导致的代谢活动增加有关,这使得IMT与其他恶性肿瘤难以区分。
肺IMT作为一种少见的疾病,具有潜在的恶性倾向,手术切除是治疗肺IMT的有效手段,但存在局部复发的风险,所以术后长期的密切随访是必要的。
诊断要点
1、 IMT是青少年最常见的原发性肺良性肿瘤,具有一定的潜在的恶性倾向。发病年龄常在40岁以下。
2、常无症状或症状轻微,最初以咳嗽、咳痰等非特异性症状就诊。
3、IMT的影像表现缺乏特异性。常为肺外周分布的孤立性结节或肿块,也可发生于肺门区,可侵及临近结构,可见钙化及无强化的囊性低密度区。
4、IMT行PET/CT检查可表现为高摄取,与恶性肿瘤鉴别存在困难。
5、肺IMT有潜在的恶性倾向,手术切除是治疗肺IMT的有效手段。
选自:路希维,李海潮 《肺部疑难疾病多学科会诊》
支气管肿瘤分类
| 一、 良性:
错构瘤、支气管腺瘤、平滑肌瘤、脂肪瘤、乳头状瘤、血管瘤、IMT(具有一定恶性潜在倾向)等 二、 恶性: 鳞癌(最常见)、腺癌、类癌 腺样囊性癌、粘液表皮样癌、多形性腺瘤 肉瘤、恶性淋巴瘤 支气管腔内转移 |
下面挑选相对多见的支气管肿瘤分开具体讲述:
| 1. 错构瘤 边缘光滑,软骨型错构瘤常浅分叶,一半左右有钙化与脂肪,典型表现是爆米花样钙化。平滑肌型错构瘤强化中等,软骨型错构瘤强化弱。 |
| 2. 鳞癌:
与吸烟密切相关,多有肺气肿背景。其CT表现:大分叶(大土豆)、边缘偏平滑。可沿支气管壁生长使壁增厚、可呈烧瓶状形态、可呈支气管铸型(于亚段及肺段级别较明显),需要注意的是,长在肺动脉主干旁的早期鳞癌常不显眼。鳞癌发展初期,常见轻度阻塞性炎症(小花小草)。鳞癌多见大片坏死、可见分隔及壁结节,肺门侧坏死轻。鳞癌内部血管大部分被破坏,钙化少见。由于鳞癌收缩力较弱,缺乏血管支气管纠集征。鳞癌的形态容易受肺气肿背景影响、导致病灶不规则。 摘自:支气管肿瘤的病理影像学–王兆宇老师 |
| 3. 类癌:
多发生主、叶及段支气管,支气管腔内/外生长的结节或肿块,多靠近气道分叉处。常合并神经内分泌症状。30%可伴有钙化,多点状或弥漫性钙化。增强后明显强化。 |
| 4.腺样囊性癌:
多发生气管及大支气管,好发气管后侧壁软骨与膜部连接部,可分为腔内广基型、腔内外生长型、管壁浸润型及隆突肿块型。表现大气道均匀软组织密度肿块,容易向气管外蔓延。增强后显示轻度均匀强化。 参考文献:[1]秦明,傅瑜,于大平,许绍发,韩鸣,王子彤.气管、支气管腺样囊性癌的诊断与治疗[J].中国肺癌杂志,2010,13(6):628-631.DOI:10.3779/j.issn.1009-3419.2010.06.016. |
| 5. 黏液表皮样癌
常见于儿童及青年,多发生段及段以下支气管,来源于支气管黏膜的腺体及其导管。腔内型多见,因其为浸润性生长,故管腔外瘤体可巨大。多呈边缘光滑、边界清晰的椭圆形或分叶状的结节或肿块影,主要向腔内生长,肿瘤长轴大多沿着支气管分支方向走向。超过半数患者肿块内有钙化。增强多表现轻中度强化。 参考文献: [1]刘顺林.肺黏液表皮样癌三例分析[J].新医学,2011,42(4):266-267,封3.DOI:10.3969/g.issn.0253-9802.2011.04.022. [1]豆海龙,李阳,张良胜.5例肺黏液表皮样癌临床分析[J].西南军医,2016,18(3):247-248.DOI:10.3969/j.issn.1672-7193.2016.03.019. |
纵隔大细胞神经内分泌癌1例CT影像
张力性纵隔气肿影像表现及严重度分级
迅速增大的肺部结节,首先考虑良性,确诊需要肺穿
肺隔离症:易误诊为肺癌的占位性病变,肺穿刺禁忌!
肺段与肺内管道应用解剖
肺转移瘤的十种不典型CT表现
肺内淋巴结的CT表现特点及与病理对照
肺实变与肺不张的CT鉴别诊断
医生现身说法,这五种忙帮不得!
北大教授:要真正让医务人员有阳光体面的收入!医
为值夜班的医生护士鼓与呼:请给我们更多关注!
广东拟取消医院用药数量限制,满足患者多样性需求
博士、硕士入职就给精装房!又有医院不惜下血本招
历时7年之久,温医生宣判无罪!
重磅!四川发文:严禁限制医生多点执业
与真人医生诊断一致性达96%:AI医生应用前景广阔