临床资料





影像资料













































公众号精选留言


微信群讨论实录
吴婧:
估计是某一种遗传引起代谢异常什么的罕见病。
增强后很多胸膜下异常强化,血管源性病变?同时也有贫血,但是我没有见过,等着学习。纵隔也有结节
琦遇 :
吸入性肺炎 HP 或者中毒DAD
前纵隔和肺部二元
洪桥爱 :
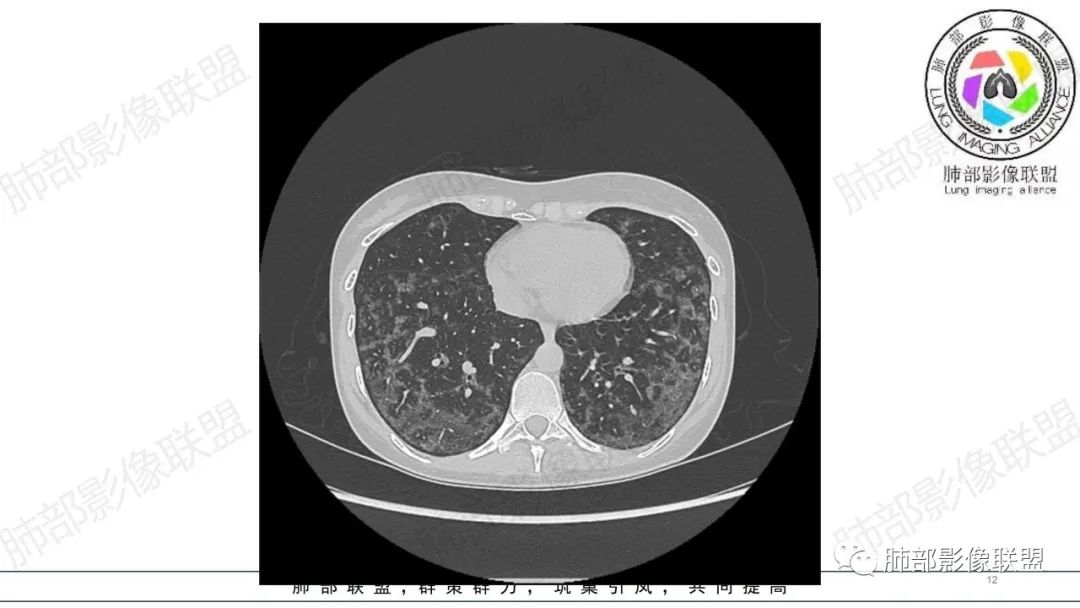
34岁女性患者,“哮喘”病史30年,近期有可疑刺激性气体吸入史;因乏力半年,咳嗽、憋气、发热4天就诊;6.1CT提示双肺广泛毛玻璃影及粟粒样结节,胸膜下闲置及血管周闲置,可见树丫征,部分小叶间隔增厚。考虑:1.过敏性肺泡炎,有可疑刺激气体接触史,胸膜下闲置,广泛毛玻璃影,地图样分布,粟粒结节边界模糊,支持过敏性肺泡炎,但糖皮激素治疗效果不佳,且动态复查血常规血红蛋白进行性降低,过敏性肺泡炎 不符合;2.肺含铁血黄素沉积症:患者30“哮喘”病史,可能为肺含铁症状,肺部CT提示双肺弥漫毛玻璃影及粟粒结节影,中下肺明显,肺底部分小叶间隔增厚,近期咳嗽、憋气、发热,血常规血红蛋白进行性下降,考虑肺含铁急性期症状,但临床无咯血症状,肺含铁不典型。综合考虑:肺含铁血黄素沉积症>过敏性肺泡炎。
鉴别:
耶氏菌肺炎(34岁女性,未婚,双肺广泛GGO,应鉴别)
结核并弥漫性肺损伤:广泛GGO+粟粒结节+树丫,应考虑结核,完善结核病原检查。
joyzhy :
年轻女性 ,急性喘息发热,肺部影像弥漫磨玻璃密度,部分细小腺泡结节,胸膜下黑线显示,短期复查,病变密度增高,下肺明显,血管周围肺组织累及较少、且逐渐成小叶间隔分布。考虑弥漫肺泡内病变,并经淋巴道转移,下肺比上肺明显,多为免疫细胞功能下肺较强。1.过敏性肺泡炎,有相关病史,三层密度特点、头尾测分布,符合。2 肺泡微石症,多有钙化,且缓慢起病,病程不太符合,放待排。3 吸入相关肺损伤,有病史,疾病演变过程也符合渗出-肉芽肿改变,建议详细询问病史。4 感染性病变,结核?病变气道分布为主,如此弥漫且没有树丫不符合。5.巨细胞病毒,可以磨玻璃 结节 改变,没有免疫缺陷病史。最后考虑吸入所致 1过敏性肺泡炎、吸入性肺损伤 鉴别肺泡微石症。
若晗 :
年轻女性,两肺多发磨玻璃影,沿气道至肺泡分布,考虑过敏性肺泡炎可能性大。
twn :
血管内大B
雪狐:
影像提示气腔内病变
许慧良:
考虑过敏性肺炎
枷黎 :
同意血管大B
吴婧:
如果一定要猜我就考虑含铁血黄素沉着
鉴别血管内大b
首先我觉得这个人病变可能定在血管
这个人四岁就开始气喘会不是就有先天性疾病和先天性心脏病
下面这例像不像?



金豆 :
跟弥漫大B
红日初升 :
跟淋巴瘤
王崇军 :
肺内气腔磨玻璃结节,肝脾肿大,治疗后间质改变,弥漫大B可能
衡妈
纵隔大细胞神经内分泌癌1例CT影像
张力性纵隔气肿影像表现及严重度分级
迅速增大的肺部结节,首先考虑良性,确诊需要肺穿
肺隔离症:易误诊为肺癌的占位性病变,肺穿刺禁忌!
肺段与肺内管道应用解剖
肺转移瘤的十种不典型CT表现
肺内淋巴结的CT表现特点及与病理对照
肺实变与肺不张的CT鉴别诊断
医生现身说法,这五种忙帮不得!
北大教授:要真正让医务人员有阳光体面的收入!医
为值夜班的医生护士鼓与呼:请给我们更多关注!
广东拟取消医院用药数量限制,满足患者多样性需求
博士、硕士入职就给精装房!又有医院不惜下血本招
历时7年之久,温医生宣判无罪!
重磅!四川发文:严禁限制医生多点执业
与真人医生诊断一致性达96%:AI医生应用前景广阔