【所属科室】呼吸科
【基本资料】男,19岁
【主诉】体检胸片发现肺部阴影半月余,
【现病史】半月前体检发现肺部阴影,行CT检查,抗炎后复查,无明显吸收、好转







10天后复查






【讨论问题】如何诊断?
【医学影像APP用户讨论】
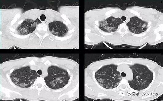
评论:两肺斑片状磨玻璃影,与周围组织分界清楚,呈“地图样”表现,部分病变延伸至胸膜下,部分小叶间隔增厚,气管居中,肺门及纵膈未见肿大淋巴结影,未见胸腔积液。患者青年男性,临床症状轻微影像表现严重,抗炎治疗无效。考虑肺泡蛋白沉积症
【结果】肺泡灌洗病理证实:肺泡蛋白沉积症
【病例小结】
肺泡蛋白沉积症(pulmonary alveolar protei‐nosis ,PAP)是一种原因不明的,少见的肺部弥漫性病变,以肺泡腔内充填过碘酸雪夫(periodic acid‐schiff ,PAS)染色阳性的细颗粒状磷脂蛋白类物质为特征,主要由肺泡表面活性物质及退化的肺泡上皮组成。
肺泡蛋白沉积症分为先天型、特发型及继发型,其中特发型PAP比例最高,约90%。该病实为肺泡巨噬细胞和中性粒细胞介导的宿主防御能力缺陷,导致肺泡表面活性物质异常积累造成的呼吸功能障碍的疾患。部分与恶性肿瘤、感染、粉尘及化学物质吸入、吸烟有关。
本病可发生于各年龄段,从新生儿到老年人均可发病,但大多数见于20~50岁,男多于女,男女比例2~4:1。大多起病隐匿,最主要的临床症状是渐进性呼吸困难,其它伴随症状有轻、中度咳嗽,可伴有胸闷、气喘及低热等症状。临床症状与胸部CT征象往往有矛盾,即CT征象严重,而临床症状较轻。
CT表现:
1、两肺较淡的斑片状磨玻璃影,不呈叶段分布,病变可延伸至胸膜下,其中磨玻璃影中可见小结节影,磨玻璃影与正常肺组织分界清楚,形成“地图样”改变,这种地图样分布的原因,可能是由于这种斑片影以肺小叶为病变单位,小叶间隔在一定程度上限制了病变的蔓延;
2、由于小叶间隔和小叶内间隔的增厚形成网格状阴影改变,弥漫的磨玻璃影及其内部的网格小叶间隔增厚形成了“铺路石样”改变;
3、实变区具有多样性,多种不同程度的病变共存,病灶内可见支气管气像;
4、病变部位以肺门及双下肺明显。
鉴别诊断
① 特发性肺弥漫性间质纤维化:此病影像学表现与PAP有相似,但病灶与正常肺组织界限不清楚,小叶内间质增厚呈网格状改变及蜂窝状透亮区,在胸膜下区见线状影,提示为特发性肺弥漫性间质纤维化。
② 肺水肿:肺泡性肺水肿呈肺门旁对称分布磨玻璃样阴影和蝶翼征改变,并有心影增大,临床上有心脏病症状和体征,与本病还是有区别的。
③ 细支气管肺泡癌:常表现为大小不等分布不均的粟粒结节影,或广泛性肺实变影内可见支气管充气征,呈磨玻璃样,但其边缘模糊,病变进展较快,常合并纵隔肺门淋巴结肿大,可与PAP鉴别。
④ 肺出血:各种原因引起的肺出血,与本病影像表现相似,亦可见磨玻璃影,但无小叶间隔增厚及铺路石征等表现,出血性疾病短期内随访病变有明显吸收。
纵隔大细胞神经内分泌癌1例CT影像
张力性纵隔气肿影像表现及严重度分级
迅速增大的肺部结节,首先考虑良性,确诊需要肺穿
肺隔离症:易误诊为肺癌的占位性病变,肺穿刺禁忌!
肺段与肺内管道应用解剖
肺转移瘤的十种不典型CT表现
肺内淋巴结的CT表现特点及与病理对照
肺实变与肺不张的CT鉴别诊断
医生现身说法,这五种忙帮不得!
北大教授:要真正让医务人员有阳光体面的收入!医
为值夜班的医生护士鼓与呼:请给我们更多关注!
广东拟取消医院用药数量限制,满足患者多样性需求
博士、硕士入职就给精装房!又有医院不惜下血本招
历时7年之久,温医生宣判无罪!
重磅!四川发文:严禁限制医生多点执业
与真人医生诊断一致性达96%:AI医生应用前景广阔