病史:患者女性,慢性咳嗽就诊


胸片正侧位:右肺中叶见一圆形边界清楚的高密度结节影。 病变中似有“空气新月征”。



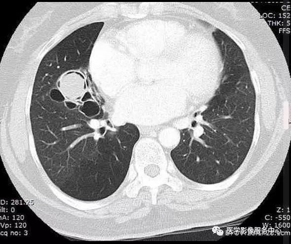
CT:右肺中叶见一个球形软组织密度影,周围见空气新月征
需注意要点:
(1)致密阴影在空洞内随体位的改变而移动。在直立的胸部x线片,空气新月征位于致密阴影上;然而,在患者仰卧的CT图像上,空气新月征位于致密阴影前。
(2)周围支气管的变化
该患者右肺中叶切除术后,病理:肺曲菌球
讨论:曲菌球,常继发于支气管囊肿、支气管扩张、肺脓肿和肺结核空洞。是曲霉在慢性肺部疾病原有的空腔内繁殖、蓄积,与纤维蛋白、粘液及细胞碎屑凝聚成曲霉肿。可发生任何年龄,痰中带血或咯血为主要临床特点,其他临床症状无特异性。
CT:初为肺部局限性炎症,表现为斑片状模糊阴影,继发周围炎症吸收,表现为团块状或结节状阴影,周围环以浅淡的磨玻璃样的晕,当肺组织液化,坏死物咳出后,则表现为:新月状的空气所包绕的一致密阴影,该致密阴影边缘光整,密度较均匀,增强无强化,且致密阴影在空洞内随体位的改变而移动。
结论:工作中虽然少见,但影像诊断上有特异性,主要与肺肿瘤、肺结核、肺脓肿等鉴别,关键看病变是否随体位改变而移动,临床上,此病多见于免疫功能低下和长期应用抗菌素、激素的病人以及糖尿病患者。
纵隔大细胞神经内分泌癌1例CT影像
张力性纵隔气肿影像表现及严重度分级
迅速增大的肺部结节,首先考虑良性,确诊需要肺穿
肺隔离症:易误诊为肺癌的占位性病变,肺穿刺禁忌!
肺段与肺内管道应用解剖
肺转移瘤的十种不典型CT表现
肺内淋巴结的CT表现特点及与病理对照
肺实变与肺不张的CT鉴别诊断
医生现身说法,这五种忙帮不得!
北大教授:要真正让医务人员有阳光体面的收入!医
为值夜班的医生护士鼓与呼:请给我们更多关注!
广东拟取消医院用药数量限制,满足患者多样性需求
博士、硕士入职就给精装房!又有医院不惜下血本招
历时7年之久,温医生宣判无罪!
重磅!四川发文:严禁限制医生多点执业
与真人医生诊断一致性达96%:AI医生应用前景广阔