01 临床病史
43岁女性,1年前体检发现纵隔占位。既往史、查体、实验室检查无特殊。
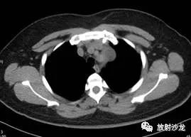
02 影像
CT平扫




CT增强


动脉期


静脉期
03 解读
1.该患者可能的诊断是:
A. 畸胎瘤
B. 胸骨后甲状腺
C. 淋巴瘤
D. 神经鞘瘤
E. 胸腺瘤
2. 对该疾病有帮助的免疫组化染色是:
A. S100
B. CD4
C. SMA
D. HMB-45
答案往下拉↓↓↓
答案:D
答案:A
04 诊断
手术记录:左前纵隔囊实性肿物,约6cm×4cm×2cm,包膜完整,囊液为淡黄色透明液体。
病理结果:神经鞘瘤,免疫组化:SMA( ),CK1-3(-),Desmin(-),Vimentin( ),Ki67(热点区5% ),S100( ),Bcl2( ),CD99( ),CD34(血管 ),CR( ),MC(-),WT-1(-)。
05 讨论
纵隔神经源性肿瘤主要包括神经鞘瘤、神经纤维瘤及神经节细胞瘤。其中以神经鞘瘤最为常见。神经鞘瘤多发生于成人,最好发年龄为50-70岁,一般发生于后纵隔,常起源于脊神经及肋间神经,极少数可发生于前、中纵隔迷走神经、喉返神经及膈神经。绝大部分神经鞘瘤患者无明显临床症状,一般于体检或其他疾病行影像学检查时发现。
在病理上,神经鞘瘤大体表现为具有包膜的良性肿瘤。镜下,神经鞘瘤由具有两种生长模式的梭形细胞组成,可分为Antoni A区及Antoni B区,A区表现为紧密排列为束状的长条形细胞,有时可见栅栏样排列;B区的细胞排列较为疏松,常可见囊变。
在影像上,典型的神经鞘瘤一般位于脊柱旁,圆形或卵圆形,边缘光滑锐利,与周围结构分界清晰,密度一般欠均匀,较大者易囊变,实性部分呈软组织密度,CT值近似于肌肉,有完整包膜,少数可含脂类物质、钙化。若肿瘤呈哑铃状生长于椎管内外,椎间孔可扩大,实性部分增强动脉期强化,静脉期及延迟期强化进一步持续并略增强,肿块以中等程度强化者居多,囊性部分无强化。MRI检查中,神经鞘瘤在T1WI上一般呈等至低信号,T2WI上呈不均匀高信号,特别是囊变区可呈高信号,较大者可在T2*WI上见含铁血黄素沉积。
综上,神经鞘瘤一般见于后纵隔,前纵隔发生者较少,但在影像学检查上具有一定的特点。本例患者的前纵隔占位分界明显,且呈钻缝样生长,在CT上可见低密度区,增强扫描表现不均匀强化,符合神经鞘瘤的表现。
纵隔大细胞神经内分泌癌1例CT影像
张力性纵隔气肿影像表现及严重度分级
迅速增大的肺部结节,首先考虑良性,确诊需要肺穿
肺隔离症:易误诊为肺癌的占位性病变,肺穿刺禁忌!
肺段与肺内管道应用解剖
肺转移瘤的十种不典型CT表现
肺内淋巴结的CT表现特点及与病理对照
肺实变与肺不张的CT鉴别诊断
医生现身说法,这五种忙帮不得!
北大教授:要真正让医务人员有阳光体面的收入!医
为值夜班的医生护士鼓与呼:请给我们更多关注!
广东拟取消医院用药数量限制,满足患者多样性需求
博士、硕士入职就给精装房!又有医院不惜下血本招
历时7年之久,温医生宣判无罪!
重磅!四川发文:严禁限制医生多点执业
与真人医生诊断一致性达96%:AI医生应用前景广阔