肺纹理主要由肺动脉的分支组成,也可见到部分肺静脉。支气管、淋巴管和它们周围的间质组织虽然参与了纹理的组成,但在正常情况下,它们的密度较低,在X线上不能形成明显的影像。
一、肺纹理增强
1支气管性肺纹理增强

主要病理改变为支气管壁增厚及周围间质的炎症,如慢性支气管炎、支气管扩张等,表现为肺纹理粗细不均,其中常夹杂变形纹理和小蜂窝影像,有时还可见“轨道征”,以两下肺野为著。
2血管性肺纹理增强

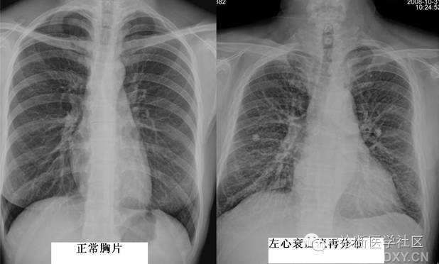
主要由肺充血和肺淤血引起肺充血多见于具有由左向右分流的先天性心脏病,如房间隔缺损、室间隔缺损等。这是由于肺血流量增加(动脉充血)使肺动脉扩张之故,表现为肺纹理较粗大,边缘较清楚,从肺门向肺内保持血管的特征。肺淤血多见于左心衰竭后肺静脉压力升高所致之肺静脉的扩张,表现为肺纹理增根、增多,边缘模糊,以两上肺野明显,肺野透过度减低。
3淋巴性肺纹理增强

主要见于肺内淋巴道转移。肺转移癌的癌细胞沿支气管和静脉周围的淋巴管广泛浸润,这种改变可局限于肺门附近,也可以扩展到肺野外带,肺纹理增多增强,呈纤细的网状影,孤立的肺纹理增强,其临床价值较小,只有认真分析肺纹理增强的性质,并与其它X线征象和临床资料结合起来,才有较大的诊断价值。
4吸烟性肺纹理增多

5生理性肺纹理增多
主要见于老年人和肥胖者,前者 老年人肺间质相对较丰富, 后者皮下脂肪厚,致使X线量吸收增加,从而引起肺纹理增强的假象。
诊断“肺纹理增强”先应熟悉肺纹理正常表现和变异,而且需要有质量良好的×线照片,特别是要求深吸气下屏气的照片。呼气状态、卧位或未屏住气的照片也可使纹理增强与模糊。曝光不足或曝光时间过长也会造成肺纹理增强的假象。
目前“肺纹理增强”一词在实际工作中常被滥用。有时可将一些正常变异,甚至完全正常的肺纹理报告为“肺纹理增强”、“肺纹理增粗”,这样可能给病人带来不必要的思想负担和顾虑,而且也造成医疗工作上的忙乱,
二、肺纹理减少
在绝大多数情况下意味着肺血管的减少、变细,即所谓“肺缺血征”常见于先天性心脏病、肺气肿、肺动脉高压,法洛氏四联症、肺动脉狭窄、肺动脉闭锁。
肺纹理减少是由于肺循环缺血所致,主要表现为周围纹理减少,肺门血管常较小,肺含气量正常。
肺气肿时,肺纹理也减少,一方面是由于毛细血管床的收缩变细,另一方面由于肺体积扩大,使肺纹理散开的缘故,X线表现为肺外围纹理减少,肺门的血管可正常或扩大,全肺含气过多。
肺动脉高压时,周围肺纹理突然变细、变少,这是由于中心肺动脉分支反射性痉挛收缩,最后导致不可恢复的内膜增生和纤维化,使肺动脉硬化成为不可恢复的器质性改变。X线表现为肺门血管扩大,周围纹理突然变细,肺含气量正常。
肺纹理减少,也可见于单侧,如一侧阻塞性肺气肿、巨大肺大泡、单侧肺动脉栓塞、单侧肺动脉发育不全等。
纵隔大细胞神经内分泌癌1例CT影像
张力性纵隔气肿影像表现及严重度分级
迅速增大的肺部结节,首先考虑良性,确诊需要肺穿
肺隔离症:易误诊为肺癌的占位性病变,肺穿刺禁忌!
肺段与肺内管道应用解剖
肺转移瘤的十种不典型CT表现
肺内淋巴结的CT表现特点及与病理对照
肺实变与肺不张的CT鉴别诊断
医生现身说法,这五种忙帮不得!
北大教授:要真正让医务人员有阳光体面的收入!医
为值夜班的医生护士鼓与呼:请给我们更多关注!
广东拟取消医院用药数量限制,满足患者多样性需求
博士、硕士入职就给精装房!又有医院不惜下血本招
历时7年之久,温医生宣判无罪!
重磅!四川发文:严禁限制医生多点执业
与真人医生诊断一致性达96%:AI医生应用前景广阔