男,56岁;咳嗽、咳痰胸痛4天。

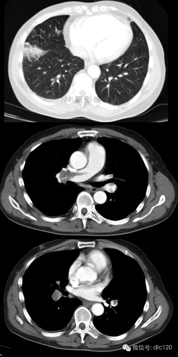
右肺下叶前基底段见胸膜下楔形高密度影,尖端指向肺门,部分边界清楚;增强后肺动脉及其各大分支内可见条带状无强化充盈缺损征。
诊断依据:典型影像表现,对症治疗后病灶明显缩小,部分消失;临床症状好转。
肺动脉内有栓子是诊断肺动脉栓塞最可靠的征象,增强后栓子不强化,栓子的形态和栓塞的程度不同,CT表现也各异。血栓位于血管腔中心呈长条状与血管腔平 行,当栓子与扫描层面平行,中央的栓子则呈条状低密度带,两边有含有对比剂的血流,二者形成鲜明的对比,即呈“轨道征”;栓塞的血管远端呈低密度而无对比 剂充盈,出现典型的“血管截断征”;血管腔一侧出现偏心性充盈缺损,对侧充盈高密度对比剂;当梗死灶形成后,表现为胸膜下楔形或片状软组织密度,尖端指向 肺门;有时还可以见到肺动脉高压和胸腔积液等征象。
鉴别诊断:
1、肺炎
2、肺不张
纵隔大细胞神经内分泌癌1例CT影像
张力性纵隔气肿影像表现及严重度分级
迅速增大的肺部结节,首先考虑良性,确诊需要肺穿
肺隔离症:易误诊为肺癌的占位性病变,肺穿刺禁忌!
肺段与肺内管道应用解剖
肺转移瘤的十种不典型CT表现
肺内淋巴结的CT表现特点及与病理对照
肺实变与肺不张的CT鉴别诊断
医生现身说法,这五种忙帮不得!
北大教授:要真正让医务人员有阳光体面的收入!医
为值夜班的医生护士鼓与呼:请给我们更多关注!
广东拟取消医院用药数量限制,满足患者多样性需求
博士、硕士入职就给精装房!又有医院不惜下血本招
历时7年之久,温医生宣判无罪!
重磅!四川发文:严禁限制医生多点执业
与真人医生诊断一致性达96%:AI医生应用前景广阔