【临床资料】
女,65岁,1个月前发病,主要症状表现为呼吸困难和声音的改变。
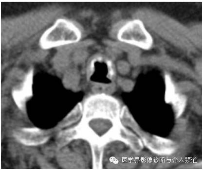
【影像图像】



【影像表现】
胸部CT平扫显示主支气管前壁及两侧壁可见多个钙化及未钙化的结节,后壁未见异常病变。支气管镜检如上图。
———-♀【病例讲堂】分割线♀———
小编留言:这些患者是别人的,但这些症状你工作中也可能会遇到,学习才是前进的唯一路径,有思考才有进步哦!
【最终诊断】
骨化性气管支气管病(TO)
【鉴别诊断】
当CT发现多发性气管 、支气管壁增厚或管壁钙化灶时,在诊断中要注意 TO 和下列疾病相鉴别:气管支气管淀粉样变、多发性骨软骨炎、乳头状瘤、气管支气管内膜结核等。CT发现多发黏膜下小结节钙化并突向管腔,前壁及侧壁受累,后壁无异常这些征象是TO较具有特征性的CT表现,如CT上出现这些征象,应该首先考虑TO。
【讨论】
概念
TO是一种病因未明的,以大气道黏膜下多发性骨或软骨组织结节状增生并突向管腔的良性病变。 1857年Wilks首先报道此病,1983年Onitsuka等首先报道TO的CT表现。TO是少见病,过去发现TO多数来自尸体解剖,随着纤维支气管镜和CT的广泛应用,及对此病认识的加深,关于此类病例的报道越来越多。
病因病理
TO可能与慢性炎症、慢性感染、变性过程、先天异常、氧气/化学物质刺激、遗传、代谢紊乱和机械刺激等有关。通常认为在黏膜下层和固有层的弹力层中未分化的结缔组织细胞经过化生,形成软骨细胞,而导致钙质聚积和骨化作用发生。组织学上看,在黏膜下层有化生的软骨和骨组织,有时是带有脂肪髓组织的骨质沉积,覆盖其上的黏膜是正常完整的或是化生的鳞状上皮细胞,偶尔骨薄片可能突向黏膜。
临床表现
由于气管支气管壁多发的骨性或软骨性结节从而使管壁明显僵硬甚至管腔堵塞,其症状轻重与病变范围和管腔阻塞程度有关。患者的症状为咳嗽(84.1%)、咳痰(79.5%)、血丝痰(52.3%)、活动后气促29.5%(13/44),声嘶6.8%(3/44)等。但由于这些症状缺乏特异性,往往易漏诊或误诊。
CT表现
CT主要表现为在气管支气管前壁和侧壁黏膜下散在或多发分布斑点钙化状小突起,突向管腔,大多数突起直径在 1~3 mm,但有的结节较大,达到10 mm。一般黏膜下高密度钙化状影和气管环不连接。
TO病变严重时,气管壁弥漫增厚,管壁塌陷,管腔缩小。当病变发生在叶支气管或段支气管时,常导致管腔狭窄,加上黏液栓塞,极易引起肺不张。病变主要发生在气管中、下段的前、侧壁,后壁一般不累及。但也有文献报道后壁也可见,主要发生在较严重的病例。
总结
总之,TO是一种罕见疾病,临床症状不典型,因此对于怀疑TO患者,胸部CT扫描是非常必要的检查,如出现气管前壁及两侧壁黏膜不规则钙化,后壁正常,需高度怀疑TO,进一步的支气管镜和组织病理学检查可明确诊断。
纵隔大细胞神经内分泌癌1例CT影像
张力性纵隔气肿影像表现及严重度分级
迅速增大的肺部结节,首先考虑良性,确诊需要肺穿
肺隔离症:易误诊为肺癌的占位性病变,肺穿刺禁忌!
肺段与肺内管道应用解剖
肺转移瘤的十种不典型CT表现
肺内淋巴结的CT表现特点及与病理对照
肺实变与肺不张的CT鉴别诊断
医生现身说法,这五种忙帮不得!
北大教授:要真正让医务人员有阳光体面的收入!医
为值夜班的医生护士鼓与呼:请给我们更多关注!
广东拟取消医院用药数量限制,满足患者多样性需求
博士、硕士入职就给精装房!又有医院不惜下血本招
历时7年之久,温医生宣判无罪!
重磅!四川发文:严禁限制医生多点执业
与真人医生诊断一致性达96%:AI医生应用前景广阔