病史:患者,女,41 岁。因“活动后心悸、气促半年,加重伴咳嗽 2 月余”入院。

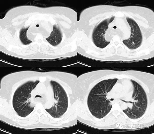
肺窗

纵隔窗

增强扫描

延迟期
术后病理:
巨检:灰黄色不规则组织一堆,约 9cm × 7cm × 3cm ,切面灰黄色,可见包膜。
诊断:(后上纵隔)脂肪瘤
讨论:脂肪瘤含大量脂肪组织,一般密度比较均匀,边界一般清楚,其内可见纤维间隔,增强扫描病灶主体无强化,纤维间隔可见强化。
影像学表现:后上纵隔见一不规则形低密度影,CT 值大部分为负值,其内可见有条状分隔,病灶边界较清,向上延伸至锁骨以上层面,增强扫描未见明显强化,气管受压前移。纵隔内未见明确淋巴结肿大,胸腔未见明确积液征。
鉴别诊断:
纵隔内肿瘤一般有其好发部位。前上纵隔肿瘤首先考虑胸腺瘤;前中纵隔多考虑胸腺瘤、生殖细胞瘤(主要为畸胎瘤)与恶性淋巴瘤;前下纵隔心包囊肿多见;中上纵隔多见胸内甲状腺、恶性淋巴瘤、食管囊肿;中中纵隔多见恶性淋巴瘤、食管囊肿;中下纵隔多见食管囊肿、心包囊肿;后纵隔常见神经源性肿瘤。
本例中,病灶具有大量特征性的脂肪密度,需要与脂肪肉瘤,畸胎瘤相鉴别。
畸胎瘤绝大多数为良性,病例组成包括三种或两种胚层成分,可以显示囊肿壁钙化,肿瘤内有骨组织或钙化结构,同时也有一定的实质结构,实性部分增强可见强化。
脂肪肉瘤分三种成分:纤维组织、粘液组织和脂肪组织。依脂肪细胞分化程度不同及三种成分所占比例不同可表现为: 1 、实质性。 2 、假囊肿性。 3 、混合型。分化程度低的脂肪肉瘤仅含有很少量的脂肪,CT上有时很难与其他软组织密度肿瘤区分开来。对于脂肪瘤型脂肪肉瘤,单纯的影像资料很难将其与脂肪瘤相鉴别开。
纵隔大细胞神经内分泌癌1例CT影像
张力性纵隔气肿影像表现及严重度分级
迅速增大的肺部结节,首先考虑良性,确诊需要肺穿
肺隔离症:易误诊为肺癌的占位性病变,肺穿刺禁忌!
肺段与肺内管道应用解剖
肺转移瘤的十种不典型CT表现
肺内淋巴结的CT表现特点及与病理对照
肺实变与肺不张的CT鉴别诊断
医生现身说法,这五种忙帮不得!
北大教授:要真正让医务人员有阳光体面的收入!医
为值夜班的医生护士鼓与呼:请给我们更多关注!
广东拟取消医院用药数量限制,满足患者多样性需求
博士、硕士入职就给精装房!又有医院不惜下血本招
历时7年之久,温医生宣判无罪!
重磅!四川发文:严禁限制医生多点执业
与真人医生诊断一致性达96%:AI医生应用前景广阔