LA -Left Atrium左心房
RA -Right Atrium右心房
LV -Left Ventricle左心室
RV -Right Ventricle右心室
MitralValve二尖瓣
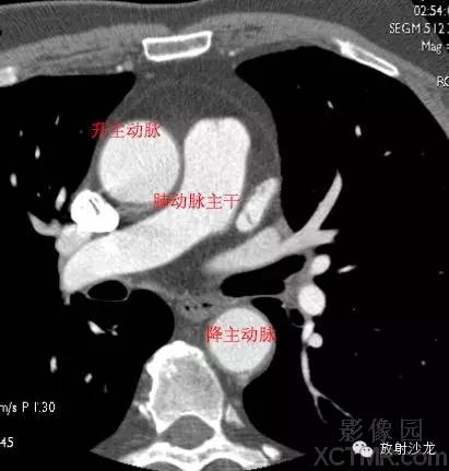
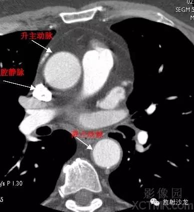
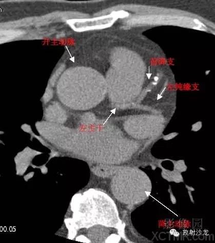
A.Aorta-Ascending Aorta升主动脉
D. Aorta-Descending Aorta降主动脉
SVC –Superior Vena Cava上腔静脉
IVC –Inferior Vena Cava下腔静脉
PA -Pulmonary Artery肺动脉
PV -Pulmonary Vein肺静脉
LMA -Left Main Artery冠状动脉左主干
LAD -Left Anterior Descending Artery左前降支
LCX -Left Circumflex Artery左回旋支
LMB -Left Obtuse Marginal Branch 左边缘支(钝缘支)
RCA -Right Coronary Artery 右冠状动脉
PDA -Posterior Descending Artery后降支
ConusBranch右动脉圆锥支
LAA –Left AtrialAppendage左心耳
RAA –Right AtrialAppendage右心耳
CS -Coronary Sinus冠状窦
MCV –Middle Cardiac Vein心中静脉
GCV–Great Cardiac Vein心大静脉
PIVV –Posterior IntraventricularVein后室间静脉(心中静脉)
PLVV –Posterior Left Ventricular Vein 左室后静脉
PLV –Posterior Lateral Vein左室后侧静脉(边缘静脉)






















































纵隔大细胞神经内分泌癌1例CT影像
张力性纵隔气肿影像表现及严重度分级
迅速增大的肺部结节,首先考虑良性,确诊需要肺穿
肺隔离症:易误诊为肺癌的占位性病变,肺穿刺禁忌!
肺段与肺内管道应用解剖
肺转移瘤的十种不典型CT表现
肺内淋巴结的CT表现特点及与病理对照
肺实变与肺不张的CT鉴别诊断
医生现身说法,这五种忙帮不得!
北大教授:要真正让医务人员有阳光体面的收入!医
为值夜班的医生护士鼓与呼:请给我们更多关注!
广东拟取消医院用药数量限制,满足患者多样性需求
博士、硕士入职就给精装房!又有医院不惜下血本招
历时7年之久,温医生宣判无罪!
重磅!四川发文:严禁限制医生多点执业
与真人医生诊断一致性达96%:AI医生应用前景广阔