【病史】男性,咳嗽,体重减轻。


问题1.下述哪项不属于鉴别诊断范围?
A.空洞性肿瘤
B.空洞性细菌性肺炎
C.空洞性真菌性肺炎
D.脓胸
E.以上所有诊断均属于







2.请选择正确诊断:
A.肺癌
B.脓胸
C.结核
D.支气管异物并梗阻
E.克雷伯氏肺炎
【答案】1.E 2.A
【影像学表现】
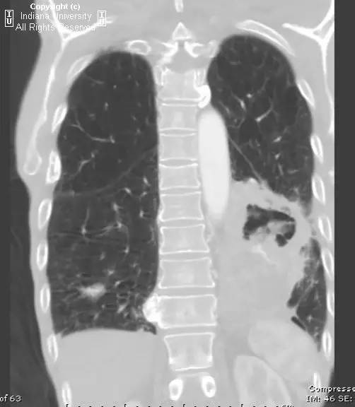
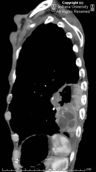
胸片示肺内高度膨胀性病变,膈肌扁平。左后胸部可见较大卵圆形不透亮区并液平面。CT示左肺下叶近后胸壁较大厚壁肿块并部分空洞形成,实性部分不均质强化。右肺下叶可见分叶状结节。左前下少量气胸。
【鉴别诊断】
【诊断】鳞状细胞肺癌并后部阻塞性肺炎
Squamous cell lungcancer and post obstructive pneumonia
【关键点】
纵隔大细胞神经内分泌癌1例CT影像
张力性纵隔气肿影像表现及严重度分级
迅速增大的肺部结节,首先考虑良性,确诊需要肺穿
肺隔离症:易误诊为肺癌的占位性病变,肺穿刺禁忌!
肺段与肺内管道应用解剖
肺转移瘤的十种不典型CT表现
肺内淋巴结的CT表现特点及与病理对照
肺实变与肺不张的CT鉴别诊断
医生现身说法,这五种忙帮不得!
北大教授:要真正让医务人员有阳光体面的收入!医
为值夜班的医生护士鼓与呼:请给我们更多关注!
广东拟取消医院用药数量限制,满足患者多样性需求
博士、硕士入职就给精装房!又有医院不惜下血本招
历时7年之久,温医生宣判无罪!
重磅!四川发文:严禁限制医生多点执业
与真人医生诊断一致性达96%:AI医生应用前景广阔