












| 病史资料: | 男.51岁。无症状,体检就诊。 |
|---|---|
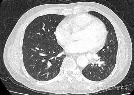
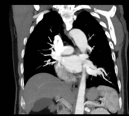
| 影像表现及分析: | 影像表现:定位左下叶;左下叶体积缩小,整体密度增高,支气管分布正常,其内见血管增多,但是走形正常,未见杂乱、迂曲的血管影;血管连向肺门下方软组织密度结节灶,结节与主动脉分界不清,增强后,见降主动脉发出异常粗大血管供血整个左下叶,左下肺动脉细小。 |
| 鉴别诊断: |
1、肺隔离症,一般表现为实变影,支气管不会这么畅顺、分布不会这么正常,而且易合并感染。都是体动脉供血,但供血动脉不会这么粗大。 2、肺动静脉畸形,血管是肺动脉与肺静脉,形态不规则,迂曲成团,;而这一例血管走形自然,并且属于体动脉来源,肺动脉幼小。 |
| 确诊依据: | CTA明确左下叶供血动脉为降主动脉发出 |
| 疾病总结: |
异常体动脉供应正常下肺基底段完整含义为起源于降主动脉的异常动脉供应下肺基底段,而基底段支气管树和肺实质正常,同时基底段肺动脉缺如或狭窄【大部分缺如(完全型),部分狭窄(不完全型)】;95%以上累及左下肺,因此也称为异常体动脉供应正常左下肺基底段。 病因尚未明确,可能是胚胎发育时期供应肺芽的背主动脉原始小分支退化不全,与肺实质形成异常连接,并影响肺动脉与肺血管床连接而导致此部位肺动脉发育不良,而支气管、肺组织的发育未受影响。本病的病理生理基础为左向左的分流,体动脉供应的肺组织充血,体循环的高压可增加肺血管床的压力和左心负荷,同时也增加肺循环量和压力而增加右心负荷,导致各种临床症群。本病可无临床症状,部分患者可有咯血、呼吸道感染、呼吸困难、充血性心力衰竭。 影像表现:左肺下叶体积缩小,整体密度稍增高,支气管树走形、分布正常,血管增多、稍增粗;增强后显示左下肺动脉幼小,甚至不发育;下叶由主动脉发出的粗大血管供血。 |
纵隔大细胞神经内分泌癌1例CT影像
张力性纵隔气肿影像表现及严重度分级
迅速增大的肺部结节,首先考虑良性,确诊需要肺穿
肺隔离症:易误诊为肺癌的占位性病变,肺穿刺禁忌!
肺段与肺内管道应用解剖
肺转移瘤的十种不典型CT表现
肺内淋巴结的CT表现特点及与病理对照
肺实变与肺不张的CT鉴别诊断
医生现身说法,这五种忙帮不得!
北大教授:要真正让医务人员有阳光体面的收入!医
为值夜班的医生护士鼓与呼:请给我们更多关注!
广东拟取消医院用药数量限制,满足患者多样性需求
博士、硕士入职就给精装房!又有医院不惜下血本招
历时7年之久,温医生宣判无罪!
重磅!四川发文:严禁限制医生多点执业
与真人医生诊断一致性达96%:AI医生应用前景广阔