树芽征(tree-in-bud pattern,TIB)是指CT表现为靠近胸膜下区小叶中心直径为3~5 mm的分支状线影和与其相连的细支气管横断面结节影,状如春天里挂满树芽的树,即树芽征。是细支气管扩张、阻塞的特征影像之一。1993年由Im等首次报道,最初用来描述肺结核沿终末支气管扩散的征象,后来逐渐用于有类似征象的其它支气管疾病CT尤其是高分辨CT(HRCT)能够很好的显示此征。树芽征不是一个病,而是一组疾病可能出现的CT征象,胸部X线射片不能发现如此细小的病变。

树芽征
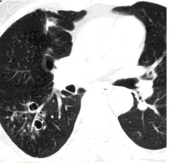
树芽征的CT表现
由于扩大的细支气管呈分支并有成边缘模糊结节的细支气管周围炎症,它的表现类似发芽或长果子的树。
术语树芽征也用于描述支气管造影上小气道充盈的表现。
以双肺中、下叶多见,一般由直径2~4mm小叶中心结节影及分支状线影两部分组成,结节较大时刻可达6~8mm。结节边缘清晰,较大时可模糊。分支状线影常呈树枝状,粗细不均匀,边缘可光整或不光整。两者相连,状如树芽。TIB常和肺内其他影像表现同时存在,如支气管扩张时,常和“印戒征”、“轨道征”同时存在;肺结核时可与纤维索条影、片状浸润影、结核空洞及钙化影共存。
如果细支气管内充盈的黏液、脓液等排空,细支气管管腔被空气充盈,那么在看到细支气管扩张的同时,还可以看到细支气管壁的增厚及细支气管周围炎。
树芽征位于肺的周围,正常情况下在肺的周围距胸膜下1cm以内,见不到支气管影像,又因缺乏逐渐变细的特征,而易与正常的小叶中心动脉鉴别。
TIB的病理机制
树芽征病理基础为肺泡导管、呼吸性细支气管、终末细支气管被黏液、脓液等阻塞形成,并伴有细支气管管扩张、细支气管壁的增厚及细支气管周围炎。
树芽征的小叶中心结节影和分支状线影是相同病理结果的不同影像表现,二者的病理基础都是细支气管的扩张与阻塞,与CT横断面像平行走向的细支气管表现为分支状线影,与垂直或斜向走行者表现为结节影。
原发或继发于细支气管的病变可导致细支气管管壁增厚、细支气管扩张,当同时伴有分泌物潴留时,支气管“树”状如春天里一棵挂满枝芽的“树”,即树芽征。随着气道的继续扩张和肺实质病变的出现,支气管“树”会变成夏天里一棵枝繁叶茂的“树”。当大气道扩张伴有周围小气道气体潴留时,支气管“树”变成一棵过分修剪过的“树”,这种支气管树的演变过程反映了同一病变不同病理阶段的影像特征。
相关疾病
树芽征可见于以下疾病中:
1.感染性疾病
(1)曲霉感染:主气管的曲霉感染中,14%~34%的病例在CT上表现为小叶中心结节及线性样影时,可表现为树芽征。
(2)肺结核:TIB在肺结核中较常见,Kashyap等认为树芽征和小叶中心结节是支气管内结核的特征性HRCT表现。

结核,高分辨率CT显示右肺周围边界不清,大小不等,这些征象代表了支气管内结核的播散
(3) 真菌感染:气道侵袭性曲霉菌病是由曲菌孢子引起的真菌病,主要HRCT表现为支气管周围的实变和小叶中心结节,细支气管炎薄层CT扫描CT扫描的特征性表现为小叶中心结节和分枝状线样影(树芽征)和晕征。

气道侵袭性曲霉菌病,右下肺外周部大小不等,结节影与分支线状影混合,分界不清
(4)非结核分歧杆菌感染(NTM):非典型NTM其CT和HRCT的病变好发部位和病变形态与肺结核类似;非典型NTM的CT和HRCT表现病变形态有小叶中央型结节及周围线样分支影即树芽征。

非结核分歧杆菌感染:高分辨率的CT扫描显示右肺多个结节分布于分支线状影周围,支气管扩张壁增厚,黏液嵌塞,支气管肺泡灌洗确诊。
2.免疫性疾病:
变异性支气管肺曲霉病(ABPA)典型影像学表现是以肺上叶分布为主的支气管扩张和黏液嵌塞,黏液嵌塞表现为密度均匀的管状或“手套状”致密影,黏液嵌塞可向细支气管延伸形成树芽征。

过敏性支气管肺曲霉病影像学表现
3.肺肿瘤
肿瘤性疾病肿瘤侵犯支气管很少见,但在少年型喉气管支气管乳头状瘤病变时可见到。乳头状瘤可沿喉蔓延至气管支气管及细支气管,在CT上可出现树芽征。

尤文肉瘤:右肺下叶后段结节沿肺动脉周边分布形成树芽征
4.先天性疾病
在囊性纤维化这种常染色体阴性遗传病中,树芽征可能是一个早期征象、这主要是由于细支气管内有大量的黏性分泌物停留所致。Kartagener综合征中,HRCT表现包括小叶中心结节影(树芽征)。

先天性囊性纤维化:高分辨率CT扫描显示支气管扩张、支气管壁增厚和弥散性树芽征



5.吸入刺激性物质
异物吸入弥散性吸入性细支气管HRCT表现有小叶中心结节、单侧或双侧分支状高密度病灶及树芽征。毒气吸入HRCT可见支气管壁增厚、双肺实变影、支气管扩张和树芽征。

弥散性吸入性肺支气管炎影像学图像

烟雾有毒气体吸入:HRCT可见支气管壁增厚、双肺实变影、支气管扩张和树芽征
6.结节病
树芽征为结节病肺内浸润的一种伴随表现。
7.过敏性肺炎
急性期表现为大小不等的磨玻璃样、斑片状实变、树芽征。
8.不明原因的疾病
弥散性泛细支气管炎(DPB)是一种几乎仅亚洲人患病的进行性肺部炎症性病变,HRCT表现为小的小叶中心结节和树芽征(小叶中心结节与分支样线状影相连)等。

弥散性泛支气管炎CT图像
9.闭塞性细支气管炎
HRCT表现有中央性和周围性支气管扩张、支气管壁增厚,呼气末HRCT扫描有空气潴留是发现闭塞性细支气管炎的最敏感征象,此外还可见黏液嵌塞引起的小叶中心结节和树芽征。

闭塞性细支气管炎:高分辨率CT表现包括中枢和外周支气管扩张,支气管壁增厚。呼气相高分辨率CT是闭塞性细支气管炎检出最敏感的方式。
参考文献:
1.肺部X线征——影像表现与临床意义(第二版).李羲,张劭夫主编.
2.“树芽征”的CT表现及相关疾病. 中国医学影像学杂志,2002,10(6):458-459.
纵隔大细胞神经内分泌癌1例CT影像
张力性纵隔气肿影像表现及严重度分级
迅速增大的肺部结节,首先考虑良性,确诊需要肺穿
肺隔离症:易误诊为肺癌的占位性病变,肺穿刺禁忌!
肺段与肺内管道应用解剖
肺转移瘤的十种不典型CT表现
肺内淋巴结的CT表现特点及与病理对照
肺实变与肺不张的CT鉴别诊断
医生现身说法,这五种忙帮不得!
北大教授:要真正让医务人员有阳光体面的收入!医
为值夜班的医生护士鼓与呼:请给我们更多关注!
广东拟取消医院用药数量限制,满足患者多样性需求
博士、硕士入职就给精装房!又有医院不惜下血本招
历时7年之久,温医生宣判无罪!
重磅!四川发文:严禁限制医生多点执业
与真人医生诊断一致性达96%:AI医生应用前景广阔