












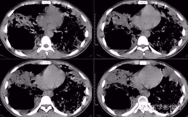
病理结果:弥漫性肺泡细胞癌
弥漫性肺泡癌的主要临床及CT表现:临床表现无明显特征, 随着病情的进展, 咳嗽、 咳白痰、 进行性气促。CT表现 为病变分布有两种情况:病变累及一个肺段或肺叶;病变广泛分布于两肺。可归纳为5个特征性征象:蜂房征;支气管充气征;磨玻璃征;血管造影征;两肺弥漫分布的斑片状与结节影。
纵隔大细胞神经内分泌癌1例CT影像
张力性纵隔气肿影像表现及严重度分级
迅速增大的肺部结节,首先考虑良性,确诊需要肺穿
肺隔离症:易误诊为肺癌的占位性病变,肺穿刺禁忌!
肺段与肺内管道应用解剖
肺转移瘤的十种不典型CT表现
肺内淋巴结的CT表现特点及与病理对照
肺实变与肺不张的CT鉴别诊断
医生现身说法,这五种忙帮不得!
北大教授:要真正让医务人员有阳光体面的收入!医
为值夜班的医生护士鼓与呼:请给我们更多关注!
广东拟取消医院用药数量限制,满足患者多样性需求
博士、硕士入职就给精装房!又有医院不惜下血本招
历时7年之久,温医生宣判无罪!
重磅!四川发文:严禁限制医生多点执业
与真人医生诊断一致性达96%:AI医生应用前景广阔