磨玻璃结节良恶性影像分析策略

发布时间:2022-11-21   来源:未知    
×
织梦二维码生成器

肺的磨玻璃结节(GGO)在平常工作中我们经常会碰见,判断这些结节的良恶性是影像医师诊断的难点,这对指导临床有着非常重要的意义,让我们一起看看这些老师在工作中是怎样做的?他们讲述的经验是否能让你茅塞顿开?

磨玻璃结节良恶性影像分析策略磨玻璃结节良恶性影像分析策略

 

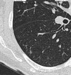
周围GGO边界清楚,分叶征、胸膜凹陷征、含气支气管,混合型GGO

磨玻璃结节良恶性影像分析策略
磨玻璃结节良恶性影像分析策略
韶关、CT、南边
第一步判断是不是肿瘤
孤立性GGO
首先看边缘
是否清楚

磨玻璃结节良恶性影像分析策略
这里是血管的边缘
磨玻璃结节良恶性影像分析策略
病灶的边缘

韶关、CT、南边
GGO的边缘模糊,考虑炎性病变

磨玻璃结节良恶性影像分析策略

磨玻璃结节良恶性影像分析策略磨玻璃结节良恶性影像分析策略
两个病灶

韶关、CT、南边
第一步:判断是否GGO
第二步:判断是否肿瘤
第三步:看边缘及内部征象

磨玻璃结节良恶性影像分析策略 混合型,边界清楚、分叶征,考虑肺癌
磨玻璃结节良恶性影像分析策略
磨玻璃结节良恶性影像分析策略 磨玻璃结节良恶性影像分析策略磨玻璃结节良恶性影像分析策略 其中血管显示清楚,GGO
磨玻璃结节良恶性影像分析策略
边界清楚,分叶征,空泡征
磨玻璃结节良恶性影像分析策略
磨玻璃结节良恶性影像分析策略
韶关、CT、南边
对于不好定的,不典型的一律建议抗炎后复查
如果不看边缘是否清楚,就好像癌肿
但是一看边缘就是炎性病变
大家记住了,边缘模糊的GGO首先考虑炎症
磨玻璃结节良恶性影像分析策略磨玻璃结节良恶性影像分析策略磨玻璃结节良恶性影像分析策略
韶关、CT、南边
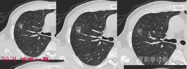
这一例是否GGO成分几乎没有

基本是实性的
那就按实性的分析
磨玻璃结节良恶性影像分析策略 都是支气管
磨玻璃结节良恶性影像分析策略
胸膜凹陷,分叶征
磨玻璃结节良恶性影像分析策略
磨玻璃结节良恶性影像分析策略磨玻璃结节良恶性影像分析策略磨玻璃结节良恶性影像分析策略
磨玻璃结节良恶性影像分析策略 磨玻璃结节良恶性影像分析策略 磨玻璃结节良恶性影像分析策略 磨玻璃结节良恶性影像分析策略磨玻璃结节良恶性影像分析策略
大家仔细看看这个中央不强化的腔内壁

韶关、CT、南边
你会发现内壁强化明显,边界清楚

一般这是炎性的脓腔,内层是肉芽肿,明显强化,分界清楚
癌肿的坏死一般是缺血性的,是肿瘤生长速度过快,中央带的血管受挤压,中央供血不足坏死的,一般边界模糊
韶关、CT、南边
内有内层强化,不会这么清楚
这是两者坏死的差异

磨玻璃结节良恶性影像分析策略
内带强化带,边界清楚
但是这个其实整体看起来不是分叶征

只是一个一个的凸起
磨玻璃结节良恶性影像分析策略 磨玻璃结节良恶性影像分析策略磨玻璃结节良恶性影像分析策略 磨玻璃结节良恶性影像分析策略 含气支气管磨玻璃结节良恶性影像分析策略
胸膜牵拉
韶关、CT、南边
结果自然就倾向于癌
磨玻璃结节良恶性影像分析策略
磨玻璃结节良恶性影像分析策略磨玻璃结节良恶性影像分析策略 这个按常规看到血管由凹陷处进去常规95%考虑癌,可是这里却不是
磨玻璃结节良恶性影像分析策略
除非说这里GGO边缘稍模糊一些

磨玻璃结节良恶性影像分析策略磨玻璃结节良恶性影像分析策略
韶关、CT、南边
宽基底与胸膜相连
近端有模糊的高密度影

磨玻璃结节良恶性影像分析策略 磨玻璃结节良恶性影像分析策略
典型病例,没给病史
磨玻璃结节良恶性影像分析策略磨玻璃结节良恶性影像分析策略


图说天下

医学图库
医学资讯
医学前沿
病例讨论