【病史】足球运动员急诊。


问题1.下列哪项表述最准确?
A.C1急性异常
B.C2急性异常
C.仅有软组织肿胀
D.泪滴样骨折
E.颅底骨折瘢痕


2.所示异常的特征为?
A.轴向负荷骨折
B.过伸骨折
C.过屈骨折
D.寰枕关节脱位
E.以上都不对




3.下列哪项描述最准确?
A.单一韧带断裂
B.多发韧带断裂
C.脊髓横断
D.急性硬膜外血肿
E.以上都不对
【答案】1.A 2.A 3.B
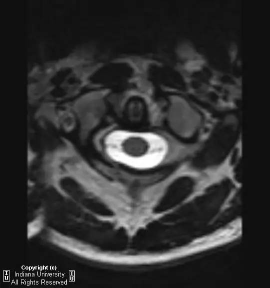
【影像学表现】
CR: C1侧块相对C2侧块外侧移位约5 – 6 mm,符合Jefferson骨折。椎体周围软组织明显肿胀。MR: 椎体周围间隙可见血肿。覆膜完整。寰枕前韧带断裂。寰枢前韧带完整。左侧横韧带从C1侧块的内侧分离,CT对应在C1侧块内侧见小撕脱骨折。翼状韧带完整。寰枕后韧带完整。前纵韧带和后纵韧带完整。黄韧带完整。
【鉴别诊断】
【诊断】Jefferson骨折(C1椎弓压缩骨折)
Jefferson fracture (Compression C1 arch fracture)
【讨论】
Jefferson骨折(Jefferson fracture)是前后弓均累及的C1环粉碎性骨折。Jefferson骨折为头顶受打击并轴向载荷的结果,力从颅骨经枕骨髁传递到颈椎,C1侧块在枕骨髁和C2上关节面之间被压缩,基于侧块的形状产生向心力而导致C1爆裂骨折。齿状突开口位或冠状位重建CT图像应仔细观察双侧C1和C2关节侧块间有无偏移。虽然C1侧块相对C2上关节面侧方移位提示存在骨折,但在X线片上有时难以发现骨折线。MR可显示相应的韧带损伤。
警告:C1异常时单侧或双侧寰枢椎侧方偏移可达2 mm,而Jefferson骨折通常偏移3 mm或以上。
另外一例


Jefferson骨折。A,侧位片示C1后弓骨折线(箭)。B,开口位示C1侧块相对于C2偏移(箭)。C和D,轴位CT图像示骨折线通过C1环前、后部(箭)。E,冠状位CT图像示翼状韧带小的撕脱骨折(黑箭)。此图像上也标注了C1在C2上方偏移(白箭)。
纵隔大细胞神经内分泌癌1例CT影像
张力性纵隔气肿影像表现及严重度分级
迅速增大的肺部结节,首先考虑良性,确诊需要肺穿
肺隔离症:易误诊为肺癌的占位性病变,肺穿刺禁忌!
肺段与肺内管道应用解剖
肺转移瘤的十种不典型CT表现
肺内淋巴结的CT表现特点及与病理对照
肺实变与肺不张的CT鉴别诊断
医生现身说法,这五种忙帮不得!
北大教授:要真正让医务人员有阳光体面的收入!医
为值夜班的医生护士鼓与呼:请给我们更多关注!
广东拟取消医院用药数量限制,满足患者多样性需求
博士、硕士入职就给精装房!又有医院不惜下血本招
历时7年之久,温医生宣判无罪!
重磅!四川发文:严禁限制医生多点执业
与真人医生诊断一致性达96%:AI医生应用前景广阔