骨破坏的形式以及病变和周围骨之间形成的边界常可特征性地指向特定的病变,并且有助于进行鉴别诊断。
骨破坏的形式(地图样、虫蚀样或穿透样)反映了病变的生长速度。
地图样病变多为非侵袭性且常常是(并不总是)良性的,而虫蚀样和穿透性病变则侵袭性更强且常常是(并不总是)恶性的。
病变的边缘同时反映了病变的生长速度和宿主骨的反应,并且可能为:
非侵袭性缓慢生长的病变多边缘清楚,而侵袭性快速生长的病变多边缘不清。但侵袭性边缘并非意味着恶性病变,如骨髓炎和其他一些良性病变(如郎格汉斯细胞组织细胞增生症)均可表现为侵袭性。
基于Lodwick等最初提出的X线破坏形式,溶骨性骨病变可描述如下:
I 型,伴或不伴硬化缘的地图样边缘清楚的病变
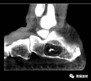
II 型,边缘不清,有虫蚀样表现(图d)。
III 型,穿透样且几乎无法显现(图e)。

几种征象的概念:
伴有地图样破坏的I型病变倾向于非侵袭性,而伴有虫蚀样或穿透样破坏的II型和III型病变则倾向于恶性。
↓ 跟骨骨内脂肪瘤

↓ 胫骨上端骨巨细胞瘤


↓ 肱骨近端骨巨细胞瘤

↓ 多发性骨髓瘤

↓ 腓骨近端浆细胞瘤(III型穿透样表现)

应该注意某些病变可呈现出不止一型的表现。
I A:地图样、边缘清楚、伴硬化缘

I B:地图样、边缘清楚、无硬化缘

I C:地图样、边缘不清

II:虫蚀样

III:穿透样

IA型 ↓ 骨囊肿

IA型 ↓ 骨内脂肪瘤

IB型 ↓ 软骨母细胞瘤(男10岁)

IC型 ↓ 股骨转移瘤(肺癌)


II型 ↓ 肱骨骨髓炎(金葡菌)

II型及III型 ↓ 肱骨上段Ewing肉瘤(男7岁)


III型 ↓ 骨肉瘤(女20岁)

病变对周围骨皮质的作用同样与诊断有关。
骨皮质的内骨膜贝壳样受侵(骨皮质内层部分变薄):在内生软骨瘤和其他软骨性病变中较典型,也可见于纤维结构不良。
内生软骨瘤对内骨膜贝壳样侵袭的程度可作为判断病变侵袭性的征象:超过2/3的骨皮质变薄就应警惕恶性软骨性病变的可能。
某些病变不仅使骨皮质变薄,还可刺激骨皮质突出或膨胀。
骨皮质呈动脉瘤样膨大且伴有显著的骨皮质变薄是动脉瘤样骨囊肿(ABC)的特征性表现,但在纤维结构不良或发生于短管状骨的生长缓慢的病变,如指/趾骨的内生软骨瘤,也可出现轻度的膨胀。
侵袭性骨病变可见更具侵袭性的骨皮质破坏,并伴有明显的骨皮质变薄和/或中断。
↓ 内生软骨瘤

↓ 胫骨上段纤维结构不良(女12岁)

↓ 胫骨远端ABC(骨膨胀、骨皮质变薄)

↓ 肱骨上段ABC(男7岁)

↓ 肱骨上段纤维结构不良并病理性骨折(男23岁)

纵隔大细胞神经内分泌癌1例CT影像
张力性纵隔气肿影像表现及严重度分级
迅速增大的肺部结节,首先考虑良性,确诊需要肺穿
肺隔离症:易误诊为肺癌的占位性病变,肺穿刺禁忌!
肺段与肺内管道应用解剖
肺转移瘤的十种不典型CT表现
肺内淋巴结的CT表现特点及与病理对照
肺实变与肺不张的CT鉴别诊断
医生现身说法,这五种忙帮不得!
北大教授:要真正让医务人员有阳光体面的收入!医
为值夜班的医生护士鼓与呼:请给我们更多关注!
广东拟取消医院用药数量限制,满足患者多样性需求
博士、硕士入职就给精装房!又有医院不惜下血本招
历时7年之久,温医生宣判无罪!
重磅!四川发文:严禁限制医生多点执业
与真人医生诊断一致性达96%:AI医生应用前景广阔