神经源性肿瘤(神经鞘膜来源)
Neurogenic Neoplasms of the Nerve Sheath
概述
影像表现:
X线:
CT:
MRI:
鉴别诊断
临床表现

(左)PNST的形态学特征,表现为球形椎旁软组织肿块,可能产生良性压迫性骨质吸收和神经孔增宽。
(右)33岁女性,怀疑肺栓塞,冠状位CTA显示偶然发现右侧椎旁软组织肿块,不均匀强化,该肿块长入椎管并T8椎间孔扩大。活检证实了神经鞘瘤的诊断。

(左)56岁男性,患有1型神经纤维瘤病(NF1)。PA胸片显示双侧椎旁多发软组织肿块,外侧边界清晰,内侧边缘不可见。
(右)冠状FS-T2WI显示双侧多发高信号椎旁肿块,源自胸后神经根。丛状神经纤维瘤见于25%的NF1患者,难以治疗,4%发生恶变。

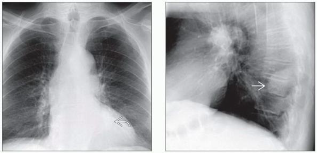
(左)82岁男性,无症状,椎旁神经鞘瘤。PA胸片显示左侧心后纵隔轮廓轻微异常。
(右)同一患者的侧位胸片显示肿块位于椎旁,由于位于肺外,可见不完整的肿瘤边界。该发现高度提示PNST,进一步MR评估可排除椎管内生长。

(左)同一患者,轴位T1WI MR显示边缘清晰的卵圆形肿块,均匀低信号。
(右)同一患者,轴位T2WI上整个肿块呈均匀高信号,未凸向椎管内生长。活检证实了神经鞘瘤的诊断。周围神经鞘瘤通常无症状,可能在因其他原因检查时偶然发现。

(左)39岁男性,严重背痛。轴位CECT显示左侧椎旁区域软组织肿块包围并侵犯相邻的左后肋,并相邻的椎间孔扩张。
(右)同一患者,轴位T2WI显示不均匀的高信号肿块,边缘不清晰,可见胸壁侵犯和相邻左侧椎间孔扩张。活检证实为MPNST。
↓ 内容摘译自:

纵隔大细胞神经内分泌癌1例CT影像
张力性纵隔气肿影像表现及严重度分级
迅速增大的肺部结节,首先考虑良性,确诊需要肺穿
肺隔离症:易误诊为肺癌的占位性病变,肺穿刺禁忌!
肺段与肺内管道应用解剖
肺转移瘤的十种不典型CT表现
肺内淋巴结的CT表现特点及与病理对照
肺实变与肺不张的CT鉴别诊断
医生现身说法,这五种忙帮不得!
北大教授:要真正让医务人员有阳光体面的收入!医
为值夜班的医生护士鼓与呼:请给我们更多关注!
广东拟取消医院用药数量限制,满足患者多样性需求
博士、硕士入职就给精装房!又有医院不惜下血本招
历时7年之久,温医生宣判无罪!
重磅!四川发文:严禁限制医生多点执业
与真人医生诊断一致性达96%:AI医生应用前景广阔