(一)前列腺癌骨转移 前列腺癌发生骨转移的机会最多,占到所有男性骨转移的60%。国内有报道前列腺癌骨转移发生率50.9%,其中92.6%为成骨性改变,8.4%单纯溶骨性改变。转移部位以骨盆最多,其次腰椎、 胸椎、颈椎、股骨粗隆、肋骨、胸骨,年龄多在60岁以上。
70岁,男,前列腺癌患者
X线片表现:成骨性转移表现为在骨外型没有改变的骨背景上出现圆形或椭圆形致密影,有时呈地图状,边缘不规则,多数病灶可融合成片,也有病灶累及大部分或整个骨,有时在成骨性病灶边缘散在少量溶骨性破坏。密度呈棉絮样增高。前列腺癌骨转移多较典型,结合临床,诊断一般不难。
实验室检查,血清碱性磷酸酶常增高,约占80%~85%;血清酸性磷酸酶也明显增高,对诊断前列腺癌骨转移有重要价值。
(二)乳腺癌骨转移 占到所有女性骨转移的70%!乳腺癌是最易发生骨转移的肿瘤之一,骨转移较肺癌发生的多且早。发病年龄较轻,平均45岁,据报道,在所有乳腺癌中33%~73%的病例出现骨转移。尸检中有半数以上骨转移,因此有人建议在乳腺癌手术前,常规骨骼检查,观察有无转移是很重要的。

75岁,乳腺癌患者
X线片表现:基本以溶骨性破坏为主,病变开始于髓腔,自骨内向外侵蚀破坏骨皮质,病灶较广泛,常破坏骨皮质全部,一般无骨膜反应。当原发性肿瘤为硬性癌时,转移瘤多倾向成骨性,病变较局限。混合转移瘤约占12%。
(三)甲状腺癌骨转移 甲状腺癌的骨转移仅次于前列腺癌和乳腺癌,约占50%。由于甲状腺癌恶性程度差别很大,所以甲状腺癌骨转移的临床及X线片表现较特殊。临床表现常不明显,往往以转移瘤为首发表现:无痛性肿块,多为鸡蛋大小,质软,无压痛,边缘清楚,皮肤颜色正常,听诊有血管杂音,可抽出暗红色血性液体。

甲状腺癌转移
X线片表现:甲状腺癌骨转移,好发于颅骨、肋骨、脊柱、骨盆及肱骨、股骨近端;溶骨性破坏为主,呈大片状或地图样骨缺损。有时是多囊状破坏区,病变内有骨性间隔,此征象被认为是甲状腺癌骨转移的特征性表现。颅骨的破坏以外板为主,残留骨嵴大多与颅骨垂直。少数病例有骨膜反应。
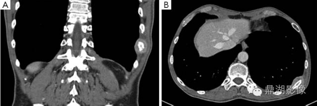
(四)肺癌骨转移 肺癌骨转移的发生率意见不一,Abrams报道发生率32.5%,占第四位。国内文献报道发生率6.7%(1964年)~45.6%(1987年),呈逐年增加趋势。肺癌骨转移女性多发,年龄多在50岁以上。
X线片表现:好发于肋骨、脊柱、骨盆及颅骨,其次为肱骨、股骨,也有转移至胫、腓、尺、桡及足骨者;破坏灶单发或多发,大多为溶骨性破坏,边缘模糊,骨皮质常有破坏,有时肋骨、坐骨及长骨受累,骨干可完全被破坏吸收而不留痕迹;肺癌成骨性转移很少见,表现为斑点状或絮状密度增高影,密度由毛玻璃状高至象牙质样。部分病例出现软组织肿块,一般无骨膜反应。

非小细胞肺癌骨转移

肺癌转移
特殊表现:
1.周围型转移:发生于手足短骨的转移,有文献报道163 例手骨转移68例原发瘤在肺部,占41.7%,表现为末节指、趾骨溶骨性破坏,伴有球形或分叶状软组织肿胀;
2. 骨皮质转移:易侵蚀骨皮质,形成斑片状、碟形或地图样骨缺损,以肱骨、股骨近端多见,也见于胫骨、尺桡骨。
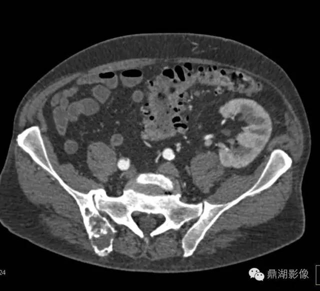
(五)膀胱癌骨转移 国内少见,Abrams报道发生率26%,占第5位。男多于女,年龄在60岁左右。好发于骨盆、脊柱、股骨近端。病变常为单发,溶骨性破坏,病灶大小不一,边缘模糊,骨皮质均有破坏,故常发生病理性骨折。局部出现软组织肿块。
(六)肾癌骨转移 约23.5%发生骨转移,多见于股骨、肱骨、脊柱、骨盆、肋骨等处。常为单发,溶骨性破坏,骨干稍有膨胀,可侵蚀破坏骨皮质,发生病理性骨折。骨缺损区内有骨性间隔出现,颇似原发性肾肿瘤。也可为硬化型,或有广泛多层骨膜反应。

肾细胞癌骨转移

肾细胞癌骨转移
(七)宫颈癌骨转移 子宫肿瘤转移至骨,以宫颈癌最多,宫体癌较少,年龄在53岁左右。大多转移至脊柱、骨盆、颅骨、股骨、肱骨,病变常多发,溶骨性改变,少量成骨改变,骨皮质多被破坏,无骨膜反应。

(八)肝、胃、食管、结肠癌骨转移 发生率较低,男多于女,年龄在45~55岁之间。好发部位脊柱、骨盆及四肢骨。溶骨性改变,骨皮质破坏,有病理性骨折,多无骨膜反应。有时局部有软组织肿块。

乙状结肠癌转移
(九)鼻咽癌骨转移 鼻咽癌骨转移不少见,国内文献报道发生率8.5%,男多于女,年龄在30~60岁,平均50岁。骨转移瘤可发生于放疗前,放疗中和放疗后,转移至骨者常有轻微或剧烈疼痛。

鼻咽癌骨转移
X线片表现:以脊柱、肋骨最多,其次是骨盆及股骨近端,常为多发,少数单发;溶骨、成骨、混合型均有。Jonathan统计溶骨型占66.6%,成骨型占21.0%,混合型占12.8%。溶骨型:早期虫蚀样或小片状破坏,呈进行性扩大,边缘不规则;晚期呈大片状溶骨性改变,甚至整段骨溶解消失,伴病理性骨折。成骨型:早期在骨内出现较多的小片状密度增高影,或呈毛玻璃状密度逐渐增高,成骨性多发生在骨内,多不累及骨皮质。混合型:既有溶骨性改变,又有成骨性改变,可致骨膨胀。
其他表现:少数转移灶有明显的骨膜反应。各型转移灶均可有较大的软组织肿块。
(十)神经母细胞瘤骨转移 神经母细胞瘤又称成神经细胞瘤、交感神经细胞瘤、交感神经母细胞瘤。肾上腺髓质肿瘤多系次类,此病为儿童,尤其是幼儿较常见的恶性肿瘤。发生率为3.4%~18.1%,可分胸型和腹型,65.5%发生于腹部,临床表现有三大表现,上腹部凸凹不平,坚硬且固定,常伴有腹痛的包块;全身情况迅速恶化;早期骨转移。早期骨转移为本病的重要特点之一。

神经母细胞瘤骨转移
1. 颅骨 呈溶骨性及成骨性表现,或混合表现。溶骨性改变常位于颅缝附近,呈虫蚀样破坏或骨质增生。颅骨转移的特征性表现为沿颅缝对称性分布的破坏及颅为板放射状骨针。颅骨病变周围有软组织肿块。骨盆、肩胛骨、下颌骨等扁骨X线片表现基本同颅骨。
2. 脊柱 神经母细胞瘤也常侵犯脊柱,特别是所谓的哑铃状肿瘤可侵蚀破坏椎体,椎体呈现大小不等的溶骨性改变,压缩变扁,边缘毛糙不齐且模糊。有时也显示骨质增生,椎体前后缘凹陷。
3. 长骨 以侵犯股骨较常见。病变常位于长骨干骺端,早期表现为干骺端骨松质,骨小梁毛糙、模糊、不整齐,进一步发展则出现筛孔状、斑点状小透亮区,周围轻度骨质增生。病变常对称性分布,有时出现对称性骨质缺损及层状骨膜反应。
神经母细胞瘤广泛的骨损害应注意与白血病,尤文肉瘤及急性骨髓炎相鉴别。
(十一)其他癌瘤骨转移 颌下腺癌、腮腺癌、视网膜母细胞瘤、黑色素瘤、皮肤鳞状上皮癌、喉癌、龈癌、颊黏膜癌、精愿细胞癌及绒毛膜上皮细胞癌等,国内均有报道发生骨转移,但非常罕见。
纵隔大细胞神经内分泌癌1例CT影像
张力性纵隔气肿影像表现及严重度分级
迅速增大的肺部结节,首先考虑良性,确诊需要肺穿
肺隔离症:易误诊为肺癌的占位性病变,肺穿刺禁忌!
肺段与肺内管道应用解剖
肺转移瘤的十种不典型CT表现
肺内淋巴结的CT表现特点及与病理对照
肺实变与肺不张的CT鉴别诊断
医生现身说法,这五种忙帮不得!
北大教授:要真正让医务人员有阳光体面的收入!医
为值夜班的医生护士鼓与呼:请给我们更多关注!
广东拟取消医院用药数量限制,满足患者多样性需求
博士、硕士入职就给精装房!又有医院不惜下血本招
历时7年之久,温医生宣判无罪!
重磅!四川发文:严禁限制医生多点执业
与真人医生诊断一致性达96%:AI医生应用前景广阔