混合型结缔组织病是一种同时或不同时具有系统性红斑狼疮(SLE)、多发性肌炎(PM)、硬皮病(SSc)、类风湿关节炎(RA)等疾病的混合表现,血中有高滴度效价的斑点型 ANA 和高滴度 U1RNP 抗体的疾病。现结合纽约 Mount Sinai Beth Israel 影像科的 Susan C. Lee 医生在 ACR 上的病例来对该病进行学习。
病史
67 岁女性,手部疼痛。
影像学检查

图 1 为右手侧位片示手腕背侧一分叶、线状钙化灶(红色箭头)。钙化未延伸至关节,也未见透明分隔

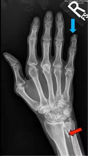
图 2 为右手斜位,可见临近尺骨近端一线性钙化(蓝色箭头)。腕部背侧仍可见钙化(红色箭头)。第一和第三掌指关节可见半脱位

图 3 为右手后前位,可见小指肢端骨质溶解(蓝色箭头)。仍可见软组织钙化灶(红色箭头)。肌萎缩明显
诊断
混合型结缔组织病
鉴别诊断
皮肌炎、硬皮病、多发性肌炎
病例要点
混合型结缔组织病(Mixed connective tissue disease ,MCTD)是一种自身免疫性综合征,其表现混合了硬皮病、系统性红斑狼疮、类风湿关节炎和皮肌炎/多发性肌炎的表现,需要与软组织钙化和肢端骨质溶解进行鉴别。
肢端骨质溶解是一种累及末端指骨的骨质破坏性表现,需要影像学检查和临床及实验室检查来与多种疾病进行鉴别,包括硬皮病、银屑病关节炎、结节病、结缔组织病、甲状腺机能亢进、冻伤或热损伤、神经性损伤、雷诺现象和 Hajdu-Cheney 综合征。
MCTD 平片表现包括球状或片状软组织钙化、关节积液、肢端骨质溶解、关节半脱位和关节周围或弥漫性骨质疏松。还可见肌肉萎缩。
讨论
混合型结缔组织病是一种混合了系统性硬化症、系统性红斑狼疮(SLE)以及多发性肌炎或皮肌炎等多种疾病特点的综合征。患者可出现 U1 小核糖蛋白自身抗体、抗核蛋白抗体(anti-RNP)阳性。此外,还可见其他类型抗体,如 ANA、抗心肌磷脂抗体或 anti-SSA(Ro)抗体(见于干燥综合征或 SLE)。女性多发,发病率约为万分之一。
平片上,MTCD 表现包括球状或片状软组织钙化、关节积液。还可见肢端骨质溶解、以及相应的软组织变细。还可有关节半脱位、软组织萎缩和弥漫性或关节周围骨质疏松。若出现骨质侵蚀,则表现类似于类风湿性关节炎,或累计远端指间关节。MR 上可有骨髓水肿、肌肉水肿或萎缩等表现。
MCTD 临床表现包括关节炎、关节痛、肌痛、疲劳、皮疹和光过敏、Raynaud 现象、指端硬化、心包炎、胸腔积液和食管运动功能障碍等。90% 的患者会有雷诺现象。许多患者长期将会出现肺部疾病,如非特异性间质性肺炎和肺动脉高压。累及肾少见,但也占 20%~30% 患者,出现肾炎、肾病综合征、恶性高血压肾功能不全等表现。
随着时间进展,MCTD 可发展为一种特定类型的疾病,如系统性硬化、SLE、皮肌炎或多发性肌炎。有报道称该病有 63% 的患者出现自发性缓解,但肺动脉高压或肺功能不全会持续存在。肺动脉高压是最常见的死亡原因。治疗包括类固醇或免疫抑制治疗,大多数患者对类固醇治疗反应较好。
肢端骨质溶解是指远节指骨/末端粗隆的侵蚀和缩短。除了上述病因外,还有多种原因需要鉴别诊断。肾性骨病可引起骨质吸收和肢端骨质溶解。子宫内,羊膜带综合征也可导致肢端骨质溶解,且不仅可发生于末节指骨,甚至导致截肢。先天性无痛感患者因神经性病变也可导致肢端骨质溶解,这种情况还包括糖尿病、脊髓痨、脊髓空洞症、麻风病。血管炎性疾病如雷诺现象或狼疮可引起骨质变细。炎性病因如结节病、银屑病、类风湿性关节炎也可有肢端骨质溶解。
纵隔大细胞神经内分泌癌1例CT影像
张力性纵隔气肿影像表现及严重度分级
迅速增大的肺部结节,首先考虑良性,确诊需要肺穿
肺隔离症:易误诊为肺癌的占位性病变,肺穿刺禁忌!
肺段与肺内管道应用解剖
肺转移瘤的十种不典型CT表现
肺内淋巴结的CT表现特点及与病理对照
肺实变与肺不张的CT鉴别诊断
医生现身说法,这五种忙帮不得!
北大教授:要真正让医务人员有阳光体面的收入!医
为值夜班的医生护士鼓与呼:请给我们更多关注!
广东拟取消医院用药数量限制,满足患者多样性需求
博士、硕士入职就给精装房!又有医院不惜下血本招
历时7年之久,温医生宣判无罪!
重磅!四川发文:严禁限制医生多点执业
与真人医生诊断一致性达96%:AI医生应用前景广阔