典型的骨巨细胞瘤——
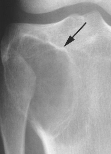
骨巨细胞瘤往往影响20岁以上的患者,其发病高峰发生在生命的第三个十年[1]。患者通常会出现疼痛。在放射学上,病变多显示中央或偏心性溶骨性破坏,并侵及干骺端,可完全破坏软骨下骨质,一般情况下,病变边界较清楚,呈膨胀性改变,其内可见纤细骨嵴,呈“分叶状”或“皂泡样”改变,部分病例可没有膨胀性改变,肿瘤可破坏或突破骨皮质,进入周围软组织,形成软组织内肿块,骨膜反应一般不存在,常可伴有病理性骨折,位于骶骨的骨巨细胞瘤,病变往往是偏心性,且常累及一侧骶髂关节。大多数人都有明确的但非硬化的边缘(图1A)。少数(10-20%)具有较少明确的边缘(图1B),并且硬化边缘很少(图1C)。

图1A-47岁女性,巨细胞瘤。X线可见腓骨近端没有硬化边缘的透亮区。

图1B -37岁女性,巨细胞瘤。股骨远端边缘(箭头)边缘不清。

图1C-19岁女性,巨细胞瘤。显示胫骨近端干骺端和骨骺有硬化边缘(箭头)。

图1D-38岁男性,巨细胞瘤。第一跖骨可见病灶,膨胀性生长,内侧延伸到软组织中(箭头)。
具有骨巨细胞瘤相似形态的软骨类肿瘤——
软骨母细胞瘤,通常存在于长骨的骨骺(或隆起)(图2A)。它们往往很小(<4 cm),大多数(≈75%)表现出硬化边界[2,3]。在三分之一的患者的X光片上可见钙化基质[4]。当软骨母细胞瘤延伸到干骺端并且缺乏硬化边缘和钙化时,它们可以模仿巨细胞瘤(图2B)。与巨细胞瘤不同,软骨母细胞瘤存在于较年轻的年龄组,通常在骨骼成熟之前。软骨母细胞瘤很少将肿瘤扩展到软组织中。

图2A-软骨母细胞瘤。16岁女孩的射线片显示典型的肱骨近端骨骺的软骨母细胞瘤(箭头)。

图2B-软骨母细胞瘤。16岁男孩胫骨近端干骺端和骨骺(箭头)有非硬化边缘, X线外观很像巨细胞瘤,但是由于年龄较小,不能明确诊断为典型的骨巨细胞瘤。
软骨粘液样纤维瘤是罕见的肿瘤,主要发生在生命的第二和第三十年。它们通常出现在长骨的干骺端,偶尔延伸到骨干。它们的典型特征是具有硬化边缘,并且呈现分叶状和“肥皂泡”样(图3A)。钙化并不常见[2]。极少数情况下,软骨粘液样纤维瘤缺乏硬化边缘并延伸到长骨的骨骺,类似于巨细胞瘤(图3B)。软骨粘液样纤维瘤患者的平均年龄(≈25岁)仅略高于巨细胞瘤患者,年龄上有很大的重叠。软组织扩展并不常见[5]。

图3A – 软骨样纤维瘤。16岁男孩的射线照片显示典型的第五跖骨的软骨粘液纤维瘤(箭头)。病变很明确,具有特征性的“肥皂泡”分叶状外观和硬化边缘。

图3B- 软骨样纤维瘤。42岁男性的病变,在胫骨上段(箭头)的干骺端和骨骺中具有非硬化边缘的病灶,没有钙化可见, 虽然X线外观表明巨细胞瘤,但病理学结果是软骨粘液样纤维瘤的诊断。
内生软骨瘤:在长骨的X射线照片上,软骨瘤很少与巨细胞瘤混淆,但是在手和脚的小骨(图4)中区分这两种疾病可能会有点难度。两种肿瘤看起来都可以是纯粹溶骨性改变,并且涉及小骨的大部分体积,包括关节下部分。然而,软骨瘤的边缘通常是硬化的,除非骨折,否则软骨瘤是无症状的[2]。

图4.-内生软骨瘤。52岁男性的射线照片显示,中指近节指骨病灶轻度膨胀生长,边界清晰,且有硬化(箭头)。
髓样软骨肉瘤:当存在于长骨中时,髓样软骨肉瘤偏好于骨骺或骨干;有时会向关节面扩展,提示巨细胞瘤的诊断(图5)。大多数髓样软骨肉瘤恶性程度较低,可能具有欺骗性的良性放射学外观。鉴定钙化有助于诊断软骨的肿瘤;然而,在X光片上可能看不到钙化。与巨细胞肿瘤相比,软骨肉瘤往往发生在年龄较大的年龄组[2]。

图5.-软骨肉瘤。32岁男性的射线照片显示肱骨近端干骺端和骨骺的地理射线可透性病变(箭头)。钙化的小病灶(箭头)有效地排除了巨细胞瘤作为潜在的诊断。病理结果软骨肉瘤。
与骨巨细胞瘤征象类似的成骨肿瘤——
成骨肿瘤很少被误认为骨巨细胞瘤。下面两例为不常见的,成骨细胞瘤(图6)和骨肉瘤(图7)[6,7]。

图6.-38岁女性,成骨细胞瘤。在肱骨近端具有明确的非硬化边缘(箭头)的病灶,与骨巨细胞瘤及其类似。成骨细胞瘤很少有这种外观。

图7.-18岁女性,骨肉瘤。其中尺骨远端可见溶骨性破坏(箭头),延伸到关节面,射线照相外观与巨细胞瘤无法区分。骨肉瘤很少有这种外观。
其他肿瘤和肿瘤样病变——
如果在全身骨骼出现多个病变,则转移或多发性骨髓瘤的诊断是直截了当的。如果位于长骨的软骨下区域,孤立性病变可能余巨细胞瘤相似(图8)。如果病变发生在老年人身上,超过典型年龄范围的巨细胞瘤患者,则可能发生转移或骨髓瘤。

图8.-78岁女性,肾细胞癌转移。胫骨远端(箭头)病变延伸至关节面。尽管放射照相外观与巨细胞瘤相似,但患者年龄较大,病理检查结果证实原发性肾肿瘤转移。
动脉瘤样骨囊肿是溶骨性的,通常是扩张的病变,最常见于长骨的干骺端。它们出现在较年轻的一组(通常在5至20岁之间),在年龄上与巨细胞瘤重叠较小。如果囊肿在骨膜闭合后发生或持续存在,那么它可能延伸到骨骺并且与巨细胞瘤无法区分(图9A)。CT或MRI可显示液体水平,代表血液分层(图9B)。缺乏增强固体成分也将支持巨细胞瘤与动脉瘤样骨囊肿的鉴别。

图9A-13岁女孩,动脉瘤样骨囊肿。照片显示肱骨远端近关节面的轻微可扩张的病变(箭头)。

图9B。-13岁女孩,动脉瘤样骨囊肿。T2加权冠状STIR图像显示具有多种液体水平(箭头)的多囊性病变,典型的动脉瘤样骨囊肿。
动脉瘤样骨囊肿可能在巨细胞瘤内形成[1]。如果患者的年龄和病变的影像学表现提示巨细胞瘤(图10A),并且CT,MRI或两者的发现显示除了增强的固体成分之外的液体水平,则应该怀疑这一点(图 。10B)。

图10A-25岁女性,巨细胞瘤伴继发性动脉瘤样骨囊肿形成。照片显示近端胫骨(箭头)接近关节面病变。

图10B -25岁女性,巨细胞瘤伴继发性动脉瘤样骨囊肿形成。脂肪饱和度的T1加权图像可以看到,病变内的增强固体成分(箭头)和液体 – 液体水平(箭头)。
巨细胞修复性肉芽肿是一种反应性过程,发生在手和脚的小骨头中(更常见于下颌骨和上颌骨),并且放射学征象与巨细胞瘤相似(图11)。病变是溶解性的和可扩张的,但骨骺的延伸是不寻常的。它们往往发生在比巨细胞瘤更小的年龄组(生命的第二和第三十年)中,并且通常在X光片上看起来不那么具有侵袭性[1]。

图11-26岁女性,巨细胞修复性肉芽肿。照片显示第二掌骨的扩张性溶骨病变(箭头),内部小梁延伸至掌指关节。
骨内腱鞘囊肿是位于关节附近的软骨下骨中的良性病变,通常偶然发现在年轻人中。尽管这些病变的确切发病机制尚不清楚,但创伤,无菌性坏死和特发性结缔组织转化是可能的原因。与典型的巨细胞瘤不同,骨内神经节通常无症状,在X线片上被硬化边界包围(图12A),并且小于平均巨细胞瘤。常见部位包括胫骨近端(十字韧带附近附近)和内踝(图12B)。在MRI上,骨内腱鞘囊肿具有均匀的流体信号强度(图12C)。尽管在施用IV钆之后凝胶状囊肿内容物不应增强,但由于周围结缔组织,增强的外围边缘是常见的。MRI还可以显示相邻的软组织囊肿。

图12A- 23岁男性,骨内腱鞘囊肿。照片显示胫骨近端(箭头)小的病变和硬化边缘。

图12B-32岁女性,骨内腱鞘囊肿。照片显示内踝有硬化边缘(箭头)病变。

图12C-32岁女性,骨内腱鞘囊肿。 脂肪饱和度的T2加权冠状图像显示内踝病变(B)有流体信号强度(箭头)。内踝是骨内腱鞘囊肿的常见部位。
关节炎如类风湿性关节炎(图13A,13B)和色素沉着绒毛结节性滑膜炎(图14A,14B,14C)[8]。

图13A-51岁男性,类风湿性关节炎。射线照片显示肱骨近端的大的病变(箭头)延伸到关节面,类似巨细胞瘤。盂肱关节间隙缩小。对侧肩部的射线照片显示了类似的发现。滑膜囊肿很少达到这样大小并模仿肿瘤。

图13B-51岁男性,类风湿性关节炎。手的X线片显示类风湿性关节炎的典型表现,包括涉及多个关节的狭窄和侵蚀。注意第三和第四近端指间关节附近的软组织肿胀和第二掌指关节的强直。

图14A -66岁男性,色素沉着绒毛结节性滑膜炎。照片显示胫骨近端的大的病变(箭头)延伸到关节面,类似巨细胞瘤。该病变代表着色素绒毛结节性滑膜炎的非典型大滑膜突出。

图14B -66岁男性,色素沉着绒毛结节性滑膜炎。膝侧位X线片显示髌上囊有异常密集的关节积液(星号)。

图14C-66岁男性,色素沉着绒毛结节性滑膜炎。T2加权矢状位图像显示胫骨病变(A)(黑色箭头),以及代表含铁血红蛋白的色素沉着绒毛结节性滑膜炎的多个低关节信号强度(白色箭头)。
甲状旁腺功能亢进症的褐色肿瘤是可扩张的并且边缘很好,当它们出现在手和脚的小骨头(图15A),扁平骨或长骨的末端时,可以模仿巨细胞瘤。患有褐色肿瘤的患者不可避免地具有甲状旁腺功能亢进的额外放射照相特征(图15B)。成人血友病假瘤可以通过放射摄影模拟巨细胞肿瘤,具有骨内膜扇形的可扩张病变(图16A)。与巨细胞瘤不同,假瘤通常具有硬化边缘。可以看到与重复的关节内出血相容的其他发现(图16B)。

图15A-71岁男性,甲状旁腺功能亢进的棕色肿瘤。照片显示中指近节指骨的射病变(箭头)的病理性骨折。根据中指骨(箭头)的径向方向的细微骨膜下再吸收怀疑棕色肿瘤,表明甲状旁腺功能亢进。

图15B- 55岁女性,甲状旁腺功能亢进的棕色肿瘤。照片显示胫骨近端大溶骨性病变(箭头)的病理性骨折。胫骨近端(箭头)内侧边缘的扇形溶骨表明骨膜下甲状旁腺功能亢进的骨膜下再吸收。病理结果显示棕色肿瘤的诊断。

图16A-30岁男性,血友病假瘤。照片显示胫骨近端的偏心病变(箭头),硬化边缘延伸至关节面。对于这个年龄的患者,在膝关节中注意到适度的退行性变化。

图16B-30岁男性,血友病假瘤。如A中所示的相同膝关节的侧位X线照片显示了近端胫骨病变(箭头),以及提示含铁血黄素沉积的小但异常致密的关节积液(或滑膜)。
纵隔大细胞神经内分泌癌1例CT影像
张力性纵隔气肿影像表现及严重度分级
迅速增大的肺部结节,首先考虑良性,确诊需要肺穿
肺隔离症:易误诊为肺癌的占位性病变,肺穿刺禁忌!
肺段与肺内管道应用解剖
肺转移瘤的十种不典型CT表现
肺内淋巴结的CT表现特点及与病理对照
肺实变与肺不张的CT鉴别诊断
医生现身说法,这五种忙帮不得!
北大教授:要真正让医务人员有阳光体面的收入!医
为值夜班的医生护士鼓与呼:请给我们更多关注!
广东拟取消医院用药数量限制,满足患者多样性需求
博士、硕士入职就给精装房!又有医院不惜下血本招
历时7年之久,温医生宣判无罪!
重磅!四川发文:严禁限制医生多点执业
与真人医生诊断一致性达96%:AI医生应用前景广阔