肩峰下撞击综合征
肩关节撞击综合征(shoulderimpingementsyndrome,SIS)是指肩关节在前屈、外展等活动时,肩袖、滑囊、盂唇等结构受到摩擦、挤压、撞击而引起炎症、损伤,出现肩部疼痛、活动障碍等临床症状。
广义的肩关节撞击综合征主要包括肩峰下撞击综合征、喙突下撞击综合征和内撞击综合征;狭义的肩关节撞击综合征特指肩峰下撞击综合征。
文献报道,44%~65%的肩痛是由肩峰下撞击综合征引起。撞击发生于肩峰下间隙,其上界是由肩峰、喙突、喙肩韧带和肩锁关节构成的喙肩弓,下界是肱骨头和大结节,间隙内有冈上肌腱、肱二头肌长头腱、肩峰下滑囊等结构。多种原因可导致肩峰下间隙绝对或相对狭窄,当肩关节上举、外展时,喙肩弓与肱骨之间的软组织结构受到挤压、撞击,引起相应的临床症状。
常见病因可分为原发性和继发性两类,有时两者可同时存在。
对于怀疑肩峰下撞击综合征的患者:
本病的影像学表现可以分为病因征象和撞击相关损伤。
1、病因征象:
(1)肩峰。
肩峰形态一般在冈上肌出口位X线片上评估(图1),也可在CT/MR的斜矢状面上评估,MR观察层面一般为肩锁关节外侧的第一幅图像。
肩峰形态分为4型,Ⅰ型为扁平形,Ⅱ型为弓形,Ⅲ型为钩形,Ⅳ型为凸面向下的反弓形,其中Ⅲ型肩峰最易引起肩峰下撞击(图2,3)。
正常的肩峰斜面约呈水平或稍向前上倾斜,肩峰向前下或外下倾斜、肩峰低平均可能造成肩峰下间隙狭窄(图4)。
肩峰下骨刺常提示存在长期的慢性撞击(图5,6)。

图1 X线片评估肩峰形态。冈上肌出口位X线片示肩峰前部呈钩形(↑),为Ⅲ型肩峰。

图2,3 Ⅲ型肩峰伴肩峰下撞击综合征的MR图像。肩关节MR平扫斜矢状面

图4 肩峰倾斜的MR图像。肩关节MR平扫斜矢状面T1WI示肩峰前部向前下倾斜(↑),肩峰下间隙狭窄

图5,6 肩峰下骨刺伴肩峰下撞击综合征的MR图像。肩关节MR平扫斜冠状面T1WI(图5)和脂肪抑制T2WI(图6)示肩峰下缘增生骨赘(↑),肩峰下间隙狭窄,冈上肌腱增粗、信号增高(△),肩峰下-三角肌下滑囊积液
(2)肩锁关节。
肩锁关节退变时可出现骨质增生肥大伴下缘骨刺形成,关节积液,关节囊增厚,有可能与肩袖发生撞击。
(3)喙肩韧带。
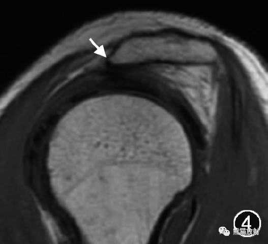
喙肩韧带增厚、钙化在斜矢状面上显示最佳,其肩峰附着处可有骨刺形成,尖端指向喙突(图7, 8, 9)。

图7 肩峰骨刺的X线片。冈上肌出口位示肩峰前下缘喙肩韧带附着处骨刺(↑)

图8,9 喙肩韧带附着处骨刺伴肩峰下撞击综合征的MR图像。肩关节MR平扫斜矢状面T1WI(图8)示喙肩韧带肩峰附着处骨刺形成(↑),肩峰下间隙狭窄,斜冠状面脂肪抑制T2WI(图9)示冈上肌腱信号增高、滑囊面纤维不连续(↑),肩峰下-三角肌下滑囊积液、滑膜增生
(4)肩峰小骨。
肩峰次骨化中心通常在22~25岁骨化完成,如果骨化中心未能如期愈合,未愈合的部分就称为肩峰小骨,在X线腋轴位或CT/MR横断面上观察最佳,在冈上肌出口位或CT/MR的斜矢状面上有时可见“双肩锁关节征”(图10, 11, 12)。
肩峰小骨可以不稳定,其软骨结合处或假关节下缘还可有骨刺形成,引起与肩袖的撞击。在MRI上当软骨结合处出现液性高信号时常提示肩峰小骨不稳。软骨结合处还可出现硬化、软骨下囊变及骨髓水肿。

图10,11 肩峰小骨的X线片。腋轴位(图10)示肩峰见透亮线影,边缘少许硬化,其走行与肩锁关节大致垂直(↑),考虑为肩峰小骨;冈上肌出口位(图11)可见“双肩锁关节征”(↑)

图12 肩峰小骨的MR图像。肩关节MR平扫横断面脂肪抑制T2WI示肩峰小骨,其软骨结合处呈高信号(↑),锁骨远端可见囊变
(5)肩峰下间隙(acromio-humeralinterval,AHI)。
AHI的宽度因人而异,目前多认为AHI越小,撞击发生的概率越高。多项研究发现,当AHI<7mm时诊断肩峰下撞击综合征及肩袖损伤的准确性较高。
但有文献报道,AHI与肩关节体位及肌肉活动相关,最小AHI值随肩关节外展角度的增大而减小,在不同外展角度时施加负荷,外展肌收缩时的AHI值均小于内收肌收缩时的AHI。因此功能位MRI可能更有助于寻找肩峰下撞击的病因。
2、撞击相关损伤:
(1)最常见的损伤为肩袖肌腱尤其是冈上肌腱的损伤。
肩袖肌腱水肿、炎症在MR上表现为:
(2)常伴有肩峰下-三角肌下滑囊炎,可见滑囊积液、滑膜增厚。
(3)可伴有盂唇、肱二头肌长头腱等结构的损伤,但相对少见。
内容节选自:
肩关节撞击综合征的影像评估。陈雯,袁慧书
纵隔大细胞神经内分泌癌1例CT影像
张力性纵隔气肿影像表现及严重度分级
迅速增大的肺部结节,首先考虑良性,确诊需要肺穿
肺隔离症:易误诊为肺癌的占位性病变,肺穿刺禁忌!
肺段与肺内管道应用解剖
肺转移瘤的十种不典型CT表现
肺内淋巴结的CT表现特点及与病理对照
肺实变与肺不张的CT鉴别诊断
医生现身说法,这五种忙帮不得!
北大教授:要真正让医务人员有阳光体面的收入!医
为值夜班的医生护士鼓与呼:请给我们更多关注!
广东拟取消医院用药数量限制,满足患者多样性需求
博士、硕士入职就给精装房!又有医院不惜下血本招
历时7年之久,温医生宣判无罪!
重磅!四川发文:严禁限制医生多点执业
与真人医生诊断一致性达96%:AI医生应用前景广阔