数字减影血管造影(DSA)已成为诊断和治疗创伤性和非创伤性下肢动脉急症的金标准。然而,由于DSA是一种有创操作,可能会导致严重的并发症。自从64排CT引入临床并快速广泛使用以来,DSA已被CT血管造影(CTA)广泛取代,这彻底改变了下肢血管疾病的诊断方法。CTA优势巨大,例如时间分辨率高,检查时间短,在10秒或更短的时间内覆盖较长的血管区域,生成各向同性的数据集,进行不同的重建,以及显示多个血管损伤,以便进行适当的管理和治疗规划。
本文旨在概述CTA在下肢急诊中的作用,展示其应用和典型的影像学表现。
数据采集与后处理
表1列出了之前发布的急诊急环境中的MDCT采集协议。在仔细评估轴位图像后,可以使用不同的方法重建:多平面重建(MPR)、最大密度投影(MIP)图像、表面着色3D和容积渲染(VR)以及曲面重建(CPR)。第一种方法可以通过分析轴位图像和MIP重组来评估整体检查的图像质量、解剖结构和主要异常。容积重建有助于全面了解血管解剖和疾病,而CPR则用于血管通畅、斑块评估和狭窄计算。在创伤后的情况下,MPR重建对动脉解剖尤其有用,而VR重建有助于整体诊断;然而,分析2D和3D图像是必要的,因为轴位图像可靠性更高。

不同研究的扫描方案
解剖
下肢动脉解剖如图1和2所示。
腹主动脉成左右髂总动脉;每个髂总动脉分为髂内动脉(腹下动脉)和髂外动脉。当髂外动脉穿过腹股沟韧带并进入股骨三角时,髂外动脉成为股总动脉。
发出股深动脉后,股总动脉延续为股浅动脉。股深动脉起源于股总动脉的后外侧壁,它向后延伸,并产生穿支,这有助于大腿内侧和后侧的肌肉血液供应,旋股外侧动脉为大腿外侧的肌肉和旋股内侧动脉提供血液供应,这有助于供应股骨头和颈部。离开股骨三角后,股浅动脉沿着大腿前表面穿过内收肌管;穿过内收肌裂孔后,变成腘动脉。内收肌裂孔由沿大收肌插入处的开口组成,代表从大腿前室到腘窝的过渡点。腘动脉沿大腿后部走行,发出供应膝关节的膝支。它通过腘窝下降,从腓肠肌和腘肌之间离开。
下肢动脉血管最常见的解剖结构是腘动脉,分为胫前动脉和胫前动脉干;后者依次分为胫后动脉和腓动脉,二者均位于小腿后室。解剖变异包括胫骨后动脉发育不良的分叉和腘窝内腘动脉的三分叉。可以识别出其他类型的分支,但频率较低。
胫前动脉在胫腓骨之间向前穿过骨间膜,进入小腿前室;它沿着整条腿延伸,进入足部,成为足背动脉,通过足底深支与足底弓相连。胫后动脉发出足底内侧动脉和外侧动脉;后者与足底深动脉吻合形成足底弓。腓动脉终止于踝关节,分出跟骨支。

图1 动脉血管解剖。显示下腹(a)、大腿(b)和腘窝(c)动脉血管区解剖的CTA容积重建。

图2 腿部动脉血管解剖CTA的容积再现重建显示了腿部动脉血管区的解剖,包括后视图(a)、侧视图(b)、前视图(c)和内侧视图(d)。
下肢动脉血管急症
下肢动脉血管急症可分为两组:非创伤性和创伤性,后者包括医源性损伤。
非创伤性紧急情况
非创伤性急症主要包括急性肢体缺血(ALI);其临床表现包括五个方面:疼痛、苍白、无脉搏、感觉异常和瘫痪。
病因可能不同:栓塞,当先前健康的动脉树受累时,以及血栓形成,当先前病理的动脉是异常部位时,或者当移植物或假体血栓形成、动脉瘤或急性主动脉夹层发生时;不常见的原因包括腘动脉卡压、血管炎、与心源性休克相关的低血供,以及药物引起的血管收缩。
栓塞性梗阻导致15%的ALI。它可归因于心源性(80–90%),如心房颤动、心肌梗死、赘生物,或非心源性,如动脉粥样硬化性主动脉疾病引起的移位斑块,或伴有壁血栓的动脉瘤、反常栓塞,或可归类为隐源性(5–10%)。分叉和分支部位更常见,主要发生在股动脉(28%)、主髂动脉(18%)和腘动脉(17%)。
需要对四肢进行CTA评估,以进行手术血栓切除术术前评估。
在85%的病例中,血栓形成是导致ALI的原因,通常位于移植物和支架。移植物可能是生物性的,也可能是人工的,而人工移植物有更高的并发症风险,例如血栓和假性动脉瘤。CTA上可以看到移植物和支架闭塞,因为造影剂注射后缺乏造影剂填充,支架或假体供应的远端分支可能没有造影剂。有时,如果存在侧支循环,腔内显影可能会在闭塞的支架/移植物附近。
通畅性评估,尤其是在处理支架时,可能会受到线束硬化伪影的限制。使用CPR可以帮助解决问题。
固有动脉的血栓形成通常发生在已有动脉粥样硬化狭窄的部位。CTA表现为一段不存在的腔内强化,伴有或不伴有远端分支的强化(图3和图4)。

图3 天然血管闭塞。显示左股浅动脉起源处闭塞的VR重建(箭头)(a)。CPR(b)显示位于血管下三分之一处的支架没有造影剂充盈。c是血管内治疗8个月后随访检查的VR重建,有证据表明固有血管和支架内管腔(d)显影,在CPR上很明显,管腔内内容物轴位可视化。

图4 腘动脉节段闭塞。73岁男性,突然出现左跛行,下肢CTA。MIP冠状位重建(a)显示左腘动脉的节段性闭塞(箭头),在冠状MIP重建(箭头)(b)中也很明显。在VRT重建中,后视图(c)显示节段性狭窄(箭头);闭塞远端存在血管显影。检查中包括的所有血管段均可见双侧弥漫性动脉粥样硬化改变。
患者通常有跛行病史,其他血管的CTA也可见动脉粥样硬化异常。8%的腘动脉瘤患者可能出现ALI(图5)。

图5 79岁男性,突发右腿疼痛,CTA三维重建。右腘动脉瘤(白色箭头)(A)。血管内治疗前(b)和后(c)的血管造影图像,支架定位和动脉瘤剔除(c)
腘动脉瘤包括腘动脉的局灶性扩张,其直径大于对侧腘动脉或股浅动脉的直径,在高达75%的病例中为双侧受累(图6)。

图6 双侧腘动脉瘤。75岁男子出现左室缺血症状。VRT重建显示双侧腘动脉瘤(a)。右侧动脉瘤的CPR重建显示了巨大的贴壁血栓。c 左侧动脉瘤的CPR重建显示动脉瘤的很大一部分没有被造影剂填充。
与这些动脉瘤相关的并发症包括血栓形成、壁血栓栓塞和破裂。CTA可以检测动脉瘤的特征,包括口径、颅尾延伸、壁血栓的形态、流出的解剖结构,并确定不能用DSA评估的造影剂填充的腔内部分,以便进行正确的治疗管理。

图7 腘窝夹闭综合征。45岁男性,双侧腘窝卡压综合征。大腿(a)和腿(b)冠状位MIP重建。双侧腘动脉未显影(白色箭头),侧枝血管(黑色箭头)清晰可见。
腘动脉夹闭(图7)是指腘动脉与腓肠肌的异常关系,导致动脉受压和跛行,尤其是年轻患者。高达67%的病例存在双侧累及。在临床检查中,主要表现为远端脉搏正常,脚处于中立位置,当脚被迫背屈或跖屈时脉搏消失。
创伤后/医源性损伤
与DSA相比,CTA在下肢创伤后具有较高的敏感性和特异性(表2)。

不同类型的创伤可导致下肢损伤:钝性创伤、坠落、穿透性创伤、与子弹、刺伤、尖锐物体有关的创伤,以及继发于介入性心脏和血管手术的医源性损伤。
临床管理的第一步是对血管损伤临床体征进行评估,可分为软体征和硬体征。软征象包括稳定的小血肿、解剖相关神经损伤、邻近大血管的损伤和原因不明的低血压,而硬征象包括脉搏缺失或减少、扩大或搏动性血肿、震颤或杂音、活动性搏动性出血和远端缺血。硬体征是主要血管损伤和手术探查的指标;然而,对于血流动力学稳定的患者,可以考虑实施CTA,以指导手术治疗,避免术中探查,并减少手术时间。
另一个临床工具是踝肱指数(ABI),通过将踝关节的收缩压除以手臂的收缩压来计算;ABI低于0.9–1意味着血流受损。当患者在临床上被划分为血管损伤风险较低且ABI高于0.9时,应考虑继续观察。在这种情况下,CTA可以有不同的放射学表现:(1)血肿,(2)活动性出血(即对比剂外渗),(3)动脉夹层,(4)动脉横断或闭塞,(5)假性动脉瘤/动静脉瘘,(6)局灶性狭窄或痉挛。
血肿是软组织中的高密度病变;它可能与活动性出血的迹象有关,表现为造影剂外渗(图8)。

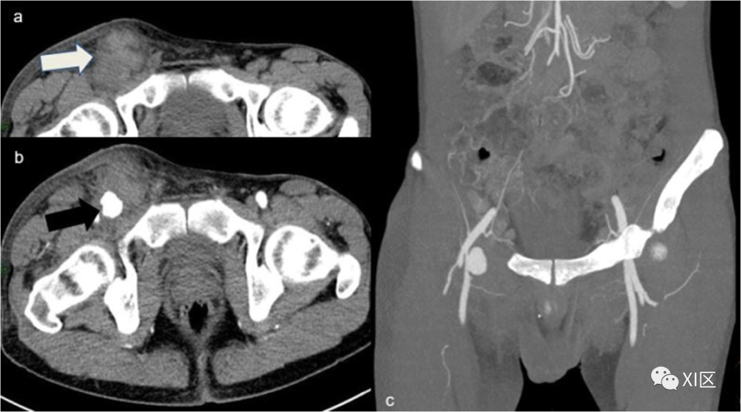
图8 腹股沟血肿伴活动性出血。73岁女性,车祸后CTA轴位图像;a 平扫,b 动脉期。在a组,腹股沟处有明显的大血肿;注射造影剂后,出现不规则的血管外增强(箭头)(b),这是持续出血的迹象。右腹股沟前部可见金属碎片
当所有血管壁层都被破坏时,就会发生主动外渗。CTA需要区分持续出血和无活动性出血的血肿。在凝块性血肿中,没有明显的造影剂积聚迹象,而血肿内管腔外造影剂聚集不清或软组织和肌肉浸润则是活动性出血。CTA还可以帮助区分小血管出血(可以保守治疗)和大分支出血(必须手术治疗)。血管横断/闭塞表现为造影剂增强血管腔突然停止/中断,有或无血管远端复发(图9)。

图9 创伤后血管截断。36岁的摩托车事故患者的CTA。容积渲染3D重建显示右股浅动脉和腘动脉之间通道处的血管截断。
剥离表现为内膜层损伤的影响,在CTA上可以观察到一种薄的线性腔内填充缺陷(图10)。

图10 医源性夹层。82岁女性患者的CTA,她在前一天接受了经皮腔内血管成形术。右侧冠状MPR重建、CPR重建和轴位腔内可视化显示左侧股浅动脉夹层的典型外观,在血管腔内可见线性皮瓣。
夹层会增加血管血栓形成或扩散到外膜层的风险,导致夹层动脉瘤的发生。局部管腔狭窄(图11)可以是固定的,与狭窄有关,也可以是可逆的,如痉挛。

图11 创伤后狭窄。20岁女性患者CTA检查,该患者在两天前发生机动车事故,出现足部缺血迹象。冠状MPR重建和MIP重建显示右胫后动脉节段性显影缺损(白色箭头),而左胫后动脉正常显影(灰色箭头)。由于创伤后的持续性,不能考虑痉挛的假设。
痉挛可能是反应性的或与血管挫伤有关,而狭窄可能与外部压迫或剥离有关。偶尔,这些患者应该接受DSA或CTA随访,以评估病变的可逆性。
假性动脉瘤(图12)是由动脉壁层的不完全破裂引起的,在CTA中,血管附近有圆形的、清晰的造影剂积聚,可以很容易地与活动性出血区分开来,因为它们是不规则的腔内造影剂池,而且,与持续出血不同的是,假性动脉瘤中的造影剂积聚在延迟期采集时不会发生大小变化。
动静脉瘘是一种静脉和动脉之间的异常沟通,由两条相邻血管的同时损伤引起,血液从动脉穿过静脉,在早期静脉增强时可以在CTA上看到,这可能与静脉大小增加有关。通常与穿透性创伤有关。

图12 假性动脉瘤。37岁吸毒男性患者,在穿刺注射药物后出现搏动性腹股沟肿块,进行CTA检查。右侧腹股沟的轴位平扫图像显示腹股沟血肿(白色箭头)。b 右腹股沟动脉期图像,显示清晰的血管外对比剂积聚(黑色箭头)。在MIP重建(c)中,来自右股浅动脉的成分来源非常明显,并确认了假性动脉瘤的诊断。
结论
由于其多方面的优势,四肢CT血管造影已取代DSA,并已成为急诊环境中的首选成像技术,用于评估疑似创伤性和非创伤性血管异常。
文献原文:Cellina M, Gibelli D, Martinenghi C, Oliva G, Floridi C. CT angiography of lower extremities from anatomy to traumatic and nontraumatic lesions: a pictorial review. Emerg Radiol. 2020 Aug;27(4):441-450. doi: 10.1007/s10140-020-01770-9. 仅供专业人士交流目的,不用于商业用途。
纵隔大细胞神经内分泌癌1例CT影像
张力性纵隔气肿影像表现及严重度分级
迅速增大的肺部结节,首先考虑良性,确诊需要肺穿
肺隔离症:易误诊为肺癌的占位性病变,肺穿刺禁忌!
肺段与肺内管道应用解剖
肺转移瘤的十种不典型CT表现
肺内淋巴结的CT表现特点及与病理对照
肺实变与肺不张的CT鉴别诊断
医生现身说法,这五种忙帮不得!
北大教授:要真正让医务人员有阳光体面的收入!医
为值夜班的医生护士鼓与呼:请给我们更多关注!
广东拟取消医院用药数量限制,满足患者多样性需求
博士、硕士入职就给精装房!又有医院不惜下血本招
历时7年之久,温医生宣判无罪!
重磅!四川发文:严禁限制医生多点执业
与真人医生诊断一致性达96%:AI医生应用前景广阔