隐性骨折概念:
隐性骨折(亦称骨挫伤),是指常规X线平片所不能发现而实际却存在的骨折 ,是一种假阴性现象。按发病机制结合临床治疗可以分为四种亚型 :疲劳骨折、衰竭骨折、隐性创伤骨折、隐性骨内骨折。影像学检查方法包括CT、MRI和核素骨显像均有助于隐性骨折的早期诊断 ,但各有优劣 ,应合理选用。
X-RAY
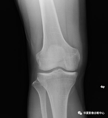
X线平片检查采用Kodak公司的CR成像系统,对患肢行正侧位投照.(图1-2)

图1
CT
CT检查采用SIMENS CT机对患肢行膝关节平扫显示未见明显异常。
下图

下图

MRI诊断隐性骨折的意义
骨信号的情况 隐性骨折在低场MRI表现为:T1WI序列上见由关节面向骨干走行的形态各异低信号区,有线状、条状、紊乱低信号,信号强度不均匀;与T1WI低信号改变相对应部位在T2WI上表现为相应形状的高、低混杂信号,且部分低信号周围可见高信号水肿改变。STIR序列图像上病灶呈显著高信号,与信号被抑制的临近正常骨髓形成鲜明对比,分界也较T2WI成像更为清楚。
隐性骨折的病理与MRI信号改变
隐性骨折主要病理学改变为骨小梁断裂,无骨皮质中断,并伴有局部骨松质内水肿和出血。无骨皮质中断,尚不足以引起X线衰减系数的明显改变,X线平片无异常征象;CT在显示骨皮质及软组织异常方面明显优于传统X线,特别是三维重建能够有效的评价复杂骨折,骨外伤CT检查应用广泛,但CT对隐性骨折的显示亦极为有限。
由外力作用使骨髓局部充血,毛细血管床过渡灌注而致骨髓水肿,水肿时自由水增加,一系列骨组织局部的化学成份变化导致了MRI驰豫时间发生变化,产生MRI信号异常改变。T2WI及压脂序列成高信号影,这信号改变代表着骨髓细胞外液的增多,而细胞外液的增多的程度和数量又决定着水肿所致异常信号的强弱和范围[4]。转组织抑制技术是MRI的一个重要性能,脂肪抑制技术在MRI应用中可以改善组织对比和增加病变显示机会,这样骨髓的脂肪抑制后就不会有任何信号,而隐性骨折线及骨髓水肿的异常高信号就会更加明显的显示出来。
MRI在隐性骨折诊断中的意义
膝关节是全身中结构最复杂、最易受损的关节,外伤后常有长时间疼痛、不能负重。如果普通X线或CT检查未检出明显骨折,隐性骨折就容易被临床忽略,患肢若不给予制动,极易发展为明显骨折,或周围软组织的进一步损伤。而MRI其具有多参数、多序列、多方位成像、软组织分辨率高等特点,能清楚地显示膝关节隐性骨折的病变特点及严重程度,且其检查对患者安全,无辐射,因此,MRI检查对X线或CT检查不能解释的症状的患者是必须的,同时可作为定期随访的检查手段。
纵隔大细胞神经内分泌癌1例CT影像
张力性纵隔气肿影像表现及严重度分级
迅速增大的肺部结节,首先考虑良性,确诊需要肺穿
肺隔离症:易误诊为肺癌的占位性病变,肺穿刺禁忌!
肺段与肺内管道应用解剖
肺转移瘤的十种不典型CT表现
肺内淋巴结的CT表现特点及与病理对照
肺实变与肺不张的CT鉴别诊断
医生现身说法,这五种忙帮不得!
北大教授:要真正让医务人员有阳光体面的收入!医
为值夜班的医生护士鼓与呼:请给我们更多关注!
广东拟取消医院用药数量限制,满足患者多样性需求
博士、硕士入职就给精装房!又有医院不惜下血本招
历时7年之久,温医生宣判无罪!
重磅!四川发文:严禁限制医生多点执业
与真人医生诊断一致性达96%:AI医生应用前景广阔