肩部疼痛是骨科门诊常见的症候群,肩关节疼痛和功能障碍原因多种多样,需通过询问病史、查体和影像学评估,才能进行正确诊断和治疗。几天早读就为大家详解常见肩关节损伤的影像学评估标准,值得大家学习参考!
一、肩关节损伤概述
二、肩关节解剖概述
肩胛骨:

1. 锁骨
2. 肩峰
3. 喙突
4. 肱骨头
5. 关节盂

前方的韧带

1. 盂肱上韧带
2.盂肱中韧带
3.盂肱下韧带
4. 喙肩韧带
盂唇和盂肱韧带


1.盂唇
2. 盂肱上韧带
3. 盂肱中韧带
4.盂肱下韧带
5. 关节盂
6.腋下袋
肩峰下囊:肩峰下囊是个潜在的空间

前面

后面
肩 袖:肩袖由四块肌肉和他们的肌腱组成

1. 肩胛下肌
2. 冈上肌
3. 冈下肌
4. 小圆肌


三、影像学检查方法
四、X光平片
标准化检查
肩关节前后位

肩关节切线位

肩关节出口位

肩关节腋窝位

肩关节顶斜位

Bernageau位


肩关节前颅位

肩关节造影



五、CT检查
CT显示肩关节不稳
后脱位:反Hill-Sachs损伤

后关节盂撕脱小骨折

CT关节造影
CT肩关节造影


六、常规磁共振成像
MR扫描技术
间接造影后扫描

MR直接关节造影


肩峰撞击综合征MR表现
肩峰下滑囊炎
肩袖病变
骨结构改变
正常冈上肌MRI表现

肩峰撞击综合征的MR表现

冈上肌变性

肩袖信号增高
冈上肌关节面部分撕裂

滑囊面部分撕裂

冈上肌完全撕裂

冈上肌全层撕裂伴肩撞(骨赘形成)

冈上肌全层撕裂MRI间接关节造影表现


冈上下肌撕裂

冈上下肌撕裂

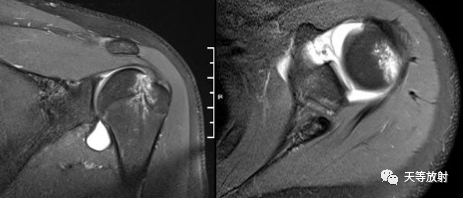
盂唇损伤要点

正常盂唇的MR表现

正常盂唇

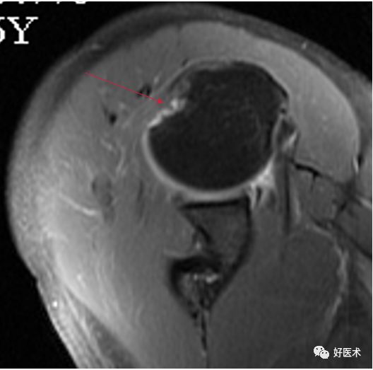
SLAP损伤
上盂唇前后向(Superior Labrum Anterior to Posterior ,SLAP)损伤,是由肱二头肌附着处前方延伸至其后方的上盂唇撕裂
上盂唇损伤(SLAP病)


SLAP伴肱骨大结折节骨折

Bankart损伤


Bankart损伤的MR表现


骨性Bankart病变

SLAP、Bankart合并Hill-Sach损伤




Hill-Sachs损伤


MR间接关节造影1.5T轴位T1W脂肪抑制

MR间接关节造影1.5T冠状面T1W脂肪抑制

Hill-sachs,Bankart,关节囊损伤

SLAP、Bankart合并Hill-Sach损伤

纵隔大细胞神经内分泌癌1例CT影像
张力性纵隔气肿影像表现及严重度分级
迅速增大的肺部结节,首先考虑良性,确诊需要肺穿
肺隔离症:易误诊为肺癌的占位性病变,肺穿刺禁忌!
肺段与肺内管道应用解剖
肺转移瘤的十种不典型CT表现
肺内淋巴结的CT表现特点及与病理对照
肺实变与肺不张的CT鉴别诊断
医生现身说法,这五种忙帮不得!
北大教授:要真正让医务人员有阳光体面的收入!医
为值夜班的医生护士鼓与呼:请给我们更多关注!
广东拟取消医院用药数量限制,满足患者多样性需求
博士、硕士入职就给精装房!又有医院不惜下血本招
历时7年之久,温医生宣判无罪!
重磅!四川发文:严禁限制医生多点执业
与真人医生诊断一致性达96%:AI医生应用前景广阔