踝关节是机体承重的重要关节,也是运动训练过程中最易受损伤的关节。踝关节的灵活性及稳定性对机体正常行走功能具有十分关键的作用,是人体完成站立、行走、下蹲、跑跳等动作的基本保障。踝关节的损伤可导致关节运动异常、活动受限、疼痛、负重障碍等,进而影响人们生活质量。今天早读就为大家详解踝关节MRI解剖与常见病变,值得大家学习参考!
一、解剖和扫描方法










扫描定位

二、软骨病变
chondromalacia 软骨软化分级


1级 浅表病变,软骨变软

2级 浅表病变累及软骨深度约50%

3级 软骨病变累及软骨深度>50%,但未达软骨下骨

4级 软骨破坏并累及软骨下骨
三、骨软骨病变
距骨骨软骨损伤,好发于前外侧、后内侧,尤其是后内侧,与内外翻损伤相关。

距骨骨软骨损伤分级

1度损伤:


2度损伤



3度损伤

四、肌腱损伤
跟腱损伤
跟腱正常表现


跟腱运动损伤
跟腱附着处炎症
跟腱部分(完全)撕裂:跟腱最厚处前后径一般小于6mm,在踝关节上方2 – 6cm处跟腱纤维交叉走行,血液供应减少,易撕裂
慢性跟腱炎

跟腱附着处炎症

跟腱炎症

慢性跟腱炎并跟腱部分撕裂

跟腱撕裂


胫骨后肌肌腱撕裂

五、韧带损伤
踝关节的韧带
联合韧带
外侧副韧带
三角韧带
距跟韧带
韧带撕裂的MRI表现
急性韧带撕裂:
慢性韧带撕裂:
联合韧带
胫腓前后韧带:位于胫距关节上方,连接外踝前、后面与胫骨前、后结节,起支持作用
胫腓横韧带:位于胫腓后韧带前下方,后外踝延伸至胫骨关节面后缘,恰好位于内踝的外侧

联合韧带(胫腓前韧带)撕裂

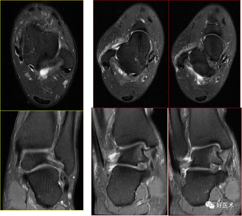
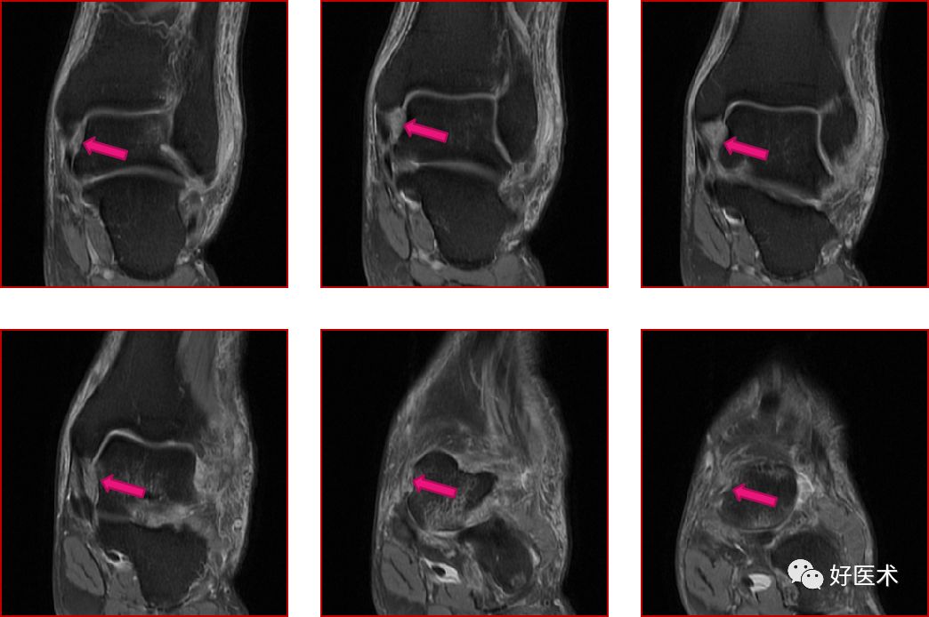
外侧副韧带
距腓前韧带

距腓前韧带撕裂


距腓后韧带

距腓后韧带部分撕裂


跟腓韧带

跟腓韧带急性完全撕裂


三角韧带
踝关节内侧韧带又称三角韧带,为强劲的三角形纤维束。上方附着于内踝尖及其前后缘;浅层纤维为胫舟部,前行附着于舟骨粗隆,部分与跟舟足底韧带的内侧面融合;中间部为胫跟部,下方附着于载距突;后部为胫距后部,纤维附着于至距骨内侧面和内侧结节。

三角韧带撕裂


六、其它病变
三角骨综合征(距骨三角综合征)



足底腱膜炎(跖腱膜炎)

正常足底腱膜

足底腱膜炎MRI表现

足底腱膜炎:注意跟骨内侧结节的局限性水肿

踝管综合征

距骨骨缺血坏死,胫骨骨梗死

跗骨窦综合征

纵隔大细胞神经内分泌癌1例CT影像
张力性纵隔气肿影像表现及严重度分级
迅速增大的肺部结节,首先考虑良性,确诊需要肺穿
肺隔离症:易误诊为肺癌的占位性病变,肺穿刺禁忌!
肺段与肺内管道应用解剖
肺转移瘤的十种不典型CT表现
肺内淋巴结的CT表现特点及与病理对照
肺实变与肺不张的CT鉴别诊断
医生现身说法,这五种忙帮不得!
北大教授:要真正让医务人员有阳光体面的收入!医
为值夜班的医生护士鼓与呼:请给我们更多关注!
广东拟取消医院用药数量限制,满足患者多样性需求
博士、硕士入职就给精装房!又有医院不惜下血本招
历时7年之久,温医生宣判无罪!
重磅!四川发文:严禁限制医生多点执业
与真人医生诊断一致性达96%:AI医生应用前景广阔