





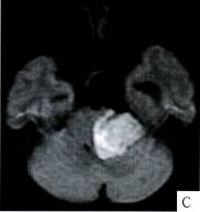
2.定位诊断:本例左侧桥小脑角增宽,病灶与桥小脑角呈钝角关系;与周围脑组织边界清楚,小脑及脑干灰白质挤压征象明显,故确认为脑外占位。
3.定性诊断:①囊性均质占位;②边界清楚,脑实质及颅骨无侵犯,考虑为良性占位;③DWI呈高信号;④增强后病灶及囊壁均无明显强化,说明病变无血供。本例经病理(图G)证实为:表皮样囊肿。

4. 鉴别诊断:本例需要鉴别的占位:①蛛网膜囊肿:发生在桥小脑角区较少见,单凭信号难以区别二者,FLAIR、DWI对鉴别有较大帮助,表皮样囊肿由于病灶 内角化物和蛋白质不能完全被抑制,水分子的运动受限制,则FLAIR表现为稍高于脑脊液信号,DWI表现为高信号;②听神经瘤囊变:多伴有听神经增粗,增 强后囊壁可见强化,常有内听道扩大;③脑膜瘤完全囊变:较少见,“脑膜尾”征较具有特征性。
纵隔大细胞神经内分泌癌1例CT影像
张力性纵隔气肿影像表现及严重度分级
迅速增大的肺部结节,首先考虑良性,确诊需要肺穿
肺隔离症:易误诊为肺癌的占位性病变,肺穿刺禁忌!
肺段与肺内管道应用解剖
肺转移瘤的十种不典型CT表现
肺内淋巴结的CT表现特点及与病理对照
肺实变与肺不张的CT鉴别诊断
医生现身说法,这五种忙帮不得!
北大教授:要真正让医务人员有阳光体面的收入!医
为值夜班的医生护士鼓与呼:请给我们更多关注!
广东拟取消医院用药数量限制,满足患者多样性需求
博士、硕士入职就给精装房!又有医院不惜下血本招
历时7年之久,温医生宣判无罪!
重磅!四川发文:严禁限制医生多点执业
与真人医生诊断一致性达96%:AI医生应用前景广阔