临床资料:女,59岁,于3月前无明显诱因出现左侧肢体乏力、记忆力下降,未行特殊处理,上述症状逐渐加重,并出现左侧面瘫。











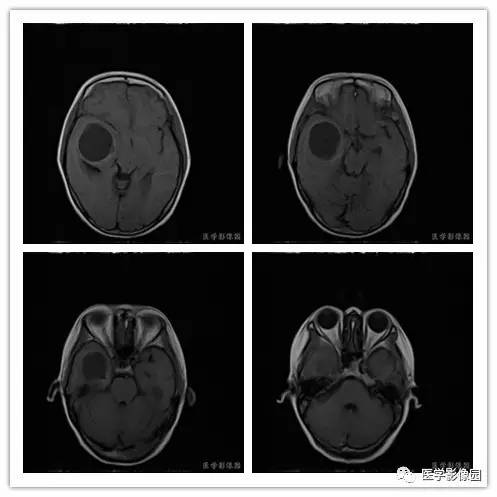
影像学表现:右侧颞叶深部区见一长T1、长T2囊样信号,成明显环形强化、未见明确结节影,没有FLAIR和DWI图,内见分隔,边界较清,周围水肿不明显,右侧脑室明显受压、颞角扩大,右侧脑沟明显变浅,脑中线结果向左偏移。
结果 血管外皮细胞瘤
讨论:
颅内原发血管外皮细胞瘤少见,既往将其归类于脑膜瘤,但后来研究发现它并不来源于脑膜上皮细胞,而是来源于脑膜间质毛细血管的外皮细胞,1993年WHO中枢神经系统肿瘤分类将其归类于脑膜间质,非脑膜上皮细胞肿瘤。
血管外皮细胞瘤起源于毛细血管的Zimmerman细胞,是紧贴毛细血管网状纤维膜排列的梭形细胞。血管外皮细胞瘤可发生于身体的任何部位,最常见于骨骼系统,中枢神经系统少见。
颅内血管外皮细胞瘤多为单发病变。临床上可见于任何年龄,但以中年多见,平均约45岁。男性稍多于女性。病程长短不一,数月到数年,通常较脑膜瘤病程短。
血管外皮细胞瘤好发于颅底、矢状窦或大脑镰旁、小脑幕等硬脑膜或静脉窦附近。肿瘤多呈分叶形或不规则形,少数可呈椭圆形或扁圆形。多数具有脑外肿瘤特点,与脑膜或大脑镰和小脑幕有广基底连接,少数与脑膜以窄基底连接,后都可能是由于肿瘤生长时间短而又生长体积较大。
CT平扫呈稍高密度或等密度,多数境界清楚,少数与脑组织分界不清楚,肿瘤内囊变坏死较常见,但一般没有钙化。增强CT扫描肿瘤呈均质显著强化,肿瘤内囊变坏死者强化不均质。
MR影像表现上有如下特点:
1.肿瘤主要表现为等长T1 、等长T2 混杂信号影,偶可见短T1 或短T2 信号影,注药后,肿瘤增强明显但不均匀;
2.外形呈不规则分叶状;
3.半数以上的肿瘤与硬膜窄基底相连;
4.肿瘤内常可见血管流空影而见不到钙化影;
5.肿瘤附近骨质可见破坏而见不到增生硬化。
血管外皮细胞瘤的影像学表现与脑膜瘤类似,常误诊断为脑膜瘤,下列征象对脑膜瘤和血管外皮细胞瘤的区别有价值:
1.典型的脑膜瘤呈圆形、椭圆形或扁圆形,而血管外皮细胞瘤多呈不规则分叶状;
2.脑膜瘤可钙化,而血管外皮细胞瘤通常不钙化,所以类似于脑膜瘤表现的颅内肿瘤有钙化时应考虑脑膜瘤;
3.脑膜瘤引起颅骨改变多为增生硬化,而血管外皮细胞瘤邻近骨质多为破坏性改变;
4.增强扫描时血管外皮细胞瘤的强化程度和强化持续时间均较脑膜瘤更显著;
5.MR氢质子波谱检查时血管外皮细胞瘤表现有肌醇波升高,可与脑膜瘤区别,脑膜瘤没有肌醇波出现。
纵隔大细胞神经内分泌癌1例CT影像
张力性纵隔气肿影像表现及严重度分级
迅速增大的肺部结节,首先考虑良性,确诊需要肺穿
肺隔离症:易误诊为肺癌的占位性病变,肺穿刺禁忌!
肺段与肺内管道应用解剖
肺转移瘤的十种不典型CT表现
肺内淋巴结的CT表现特点及与病理对照
肺实变与肺不张的CT鉴别诊断
医生现身说法,这五种忙帮不得!
北大教授:要真正让医务人员有阳光体面的收入!医
为值夜班的医生护士鼓与呼:请给我们更多关注!
广东拟取消医院用药数量限制,满足患者多样性需求
博士、硕士入职就给精装房!又有医院不惜下血本招
历时7年之久,温医生宣判无罪!
重磅!四川发文:严禁限制医生多点执业
与真人医生诊断一致性达96%:AI医生应用前景广阔